아카이브 요약
이 페이지의 역할
보스톤치과의원 종로의 네이버 블로그 원문을 보존한 아카이브 페이지입니다. B.임플란트 카테고리의 종로3가치과 틀니 사용 중인데 불편해서 임플란트 하고 싶어요 글을 통해 병원의 한국어 정보 제공 방식과 진료 관련 안내 톤을 확인할 수 있습니다.
원문 검증
필요하면 원문 블로그와 병원 프로필로 바로 이동해 문맥을 다시 확인할 수 있습니다.
출처 아카이브 열기아카이브된 블로그 글
보스톤치과의원 종로 · ✅보스톤치과✅
안녕하세요 종로3가치과 입니다. 우선 블로그에 방문해 주셔서 감사합니다! 최근에 상실된 치아를 해결하기 위해서 혹은 틀니나 브릿지로 해결을 해주었지만 생활하면서 불편함을 느껴 임플란트를 고려해 주는 분들이 있습니다. 그래서 오늘도 임플란트 전후 사례를 준비해 보았습니다. 틀니 사용 중인데 불편해서 임플란트 하고 싶...
게시일
2024년 4월 30일
원문 기준으로 확인된 발행일입니다.
카테고리
B.임플란트
원문 블로그 카테고리를 정리해 함께 표시합니다.
이미지 수
11
현재 아카이브에 연결된 이미지 수입니다.
아카이브 요약
보스톤치과의원 종로의 네이버 블로그 원문을 보존한 아카이브 페이지입니다. B.임플란트 카테고리의 종로3가치과 틀니 사용 중인데 불편해서 임플란트 하고 싶어요 글을 통해 병원의 한국어 정보 제공 방식과 진료 관련 안내 톤을 확인할 수 있습니다.
원문 검증
필요하면 원문 블로그와 병원 프로필로 바로 이동해 문맥을 다시 확인할 수 있습니다.
출처 아카이브 열기
안녕하세요 종로3가치과 입니다. 우선 블로그에 방문해 주셔서 감사합니다!
최근에 상실된 치아를 해결하기 위해서 혹은 틀니나 브릿지로 해결을 해주었지만 생활하면서 불편함을 느껴
임플란트를 고려해 주는 분들이 있습니다. 그래서 오늘도 임플란트 전후 사례를 준비해 보았습니다.

틀니 사용 중인데 불편해서 임플란트 하고 싶어요
이가 빠진 자리를 대신할 수 있는 치료로는 임플란트도 있지만 틀니와 브릿지도 있습니다. 틀니는 인공적으로 만들어 잇몸에 넣다 끼웠다를 자유롭게 할 수 있는 의치입니다. 틀니로 해결을 해주게 되면 자연치에 비해서 저작력이 떨어질 수 있었는데요. 그래서 음식물을 섭취하는 것에 있어서 불편함을 느낄 수 있었죠. 그리고 오래 사용을 해주면 잇몸뼈가 점점 내려앉을 수 있어 주기적으로 수정 및 교체를 해주셔야 하였습니다. 그렇지 않으면 헐거워지기 때문에 금방 탈락될 수 있었죠.
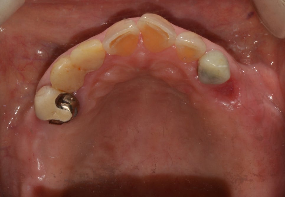
치료 전
2018년 8월 22일 (1년 4개월)


내원 이유
60대 여성분이셨으며 상실된 치아들을 틀니로 해결을 해주셨다가 불편함을 느끼고 임플란트 치료를 원하셨습니다. 임플란트는 식립을 진행하고 난 후에 편하면서 오래 잘 사용할 수 있는 방법이었는데요. 저작력이 기존에 있는 치아와 비슷하여 음식을 씹는 힘도 잘 내어주어 식사를 잘 하실 수 있으며 외관상 보이는 부분도 주변에 있는 치아와 유사하게 보철물이 만들어졌기 때문에 인공적으로 만든 치아라는 것이 티가 나지 않아 사용을 하시기에도 불편함이 없었습니다.
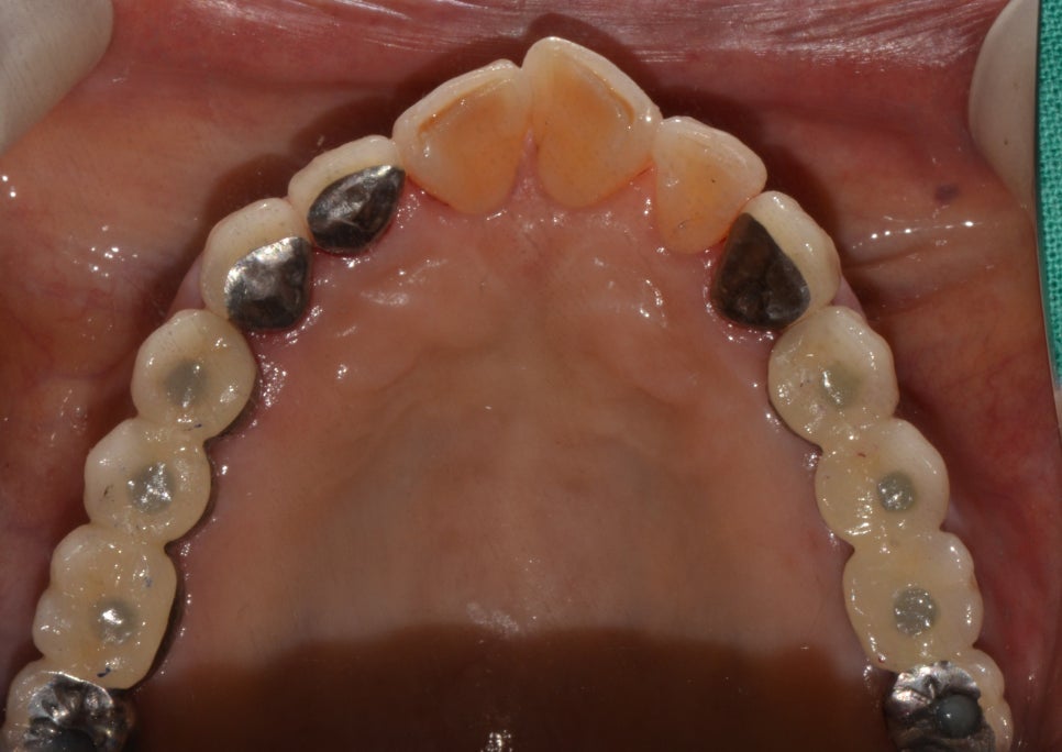
치료 후
2020년 1월 15일


치료 진행
치료 진행을 위해 정밀하게 구강 상태를 확인해 보니 상악 좌우 구치부 소실 및 골소실이 확인되어 좌우 임플란트 8개 식립 후 진행해 주었고 보철치료를 끝으로 치료를 마무리 하였습니다. 틀니 사용 시 불편함이 해소가 되고 위와 아래의 맞물림 또한 고려하면서 시술이 이뤄졌기 때문에 씹는 힘도 강해진 것 같다고 이제는 밥도 편하게 먹을 수 있을 것 같다고 만족해 주셨죠.


여기서 종로3가치과는 임플란트에 또 다른 장점을 설명드리겠습니다. 바로 구강을 항상 청결하게 잘 관리를 해주신다면 반영구적으로까지 쓸 수 있었다는 점이었는데요. 주위염이 생기지 않도록 식사 후 꼼꼼한 양치질과 더불어서 치실, 치간칫솔 사용을 해주신다고 한다면 청결한 상태가 유지되어 식립했던 임플란트를 오래 사용할 수 있으니 해당 부분도 잘 기억해 주시길 바랍니다.
치과 치료 잘하는 것 당연히 중요합니다.
하지만 친절하게 방문해 주신 분들에게 치아에 대해
설명하고 소통하는 것도 중요하다고 종로3가치과는 생각합니다.
감동을 드리는 정성스러운 치료를 위해 꾸준히
노력하겠습니다 :)


