보스톤치과의원]
종로구치과 교통사고 나서 병 같은 게 부딪혀 앞니가 깨졌어요.
안녕하세요 종로구치과 입니다. 건강하게 살아가기 위해서는 우선 밥을 잘 드시는 것이 중요합니다. 그렇기 때문에 평소에도 치아 건강 및 관리를 잘 해주어야 한다는 점 여러분 다들 잘 알고 계실 것 같습니다. 하지만 예기치 못한 사고는 피할 수가 없겠죠. 그래서 교통사고나 격렬한 운동을 하다가 등 이러한 이유로 인해서 치...
아카이브 요약
이 페이지의 역할
BOSTON Dental Clinic [보스톤치과의원]의 네이버 블로그 원문을 보존한 아카이브 페이지입니다. B.임플란트 카테고리의 종로구치과 교통사고 나서 병 같은 게 부딪혀 앞니가 깨졌어요. 글을 통해 병원의 한국어 정보 제공 방식과 진료 관련 안내 톤을 확인할 수 있습니다.

안녕하세요 종로구치과 입니다. 건강하게 살아가기 위해서는 우선 밥을 잘 드시는 것이 중요합니다.
그렇기 때문에 평소에도 치아 건강 및 관리를 잘 해주어야 한다는 점 여러분 다들 잘 알고 계실 것 같습니다.
하지만 예기치 못한 사고는 피할 수가 없겠죠.
그래서 교통사고나 격렬한 운동을 하다가 등 이러한 이유로 인해서 치아를 하루아침에 갑자기 상실되기도 했습니다.
그렇다면 오늘은 어떤 환자분의 치료 사례일까요? 종로구치과와 함께 알아보도록 해요!

교툥사고나서 병 같은게 부딪쳐서 앞니가 깨졌어요
오늘 알아볼 환자분의 사례가 바로 위에서 종로구치과가 말씀드린 것과 같았는데요. 교통사고가 나게 되어 갑작스럽게 치아가 상실된 것이었습니다. 이가 상실된 부분을 치료하기 위해서는 임플란트를 많이 진행하는데요. 그 이유는 저작력을 회복해 줄 수 있으면서 심미적인 부분도 해결이 되어 자연스럽게 잘 쓸 수 있다는 점, 반영구적인 수명을 가지고 있는 점, 치료 진행 시 다른 이나 잇몸에게 영향을 주지 않는다는 장점이 있습니다.
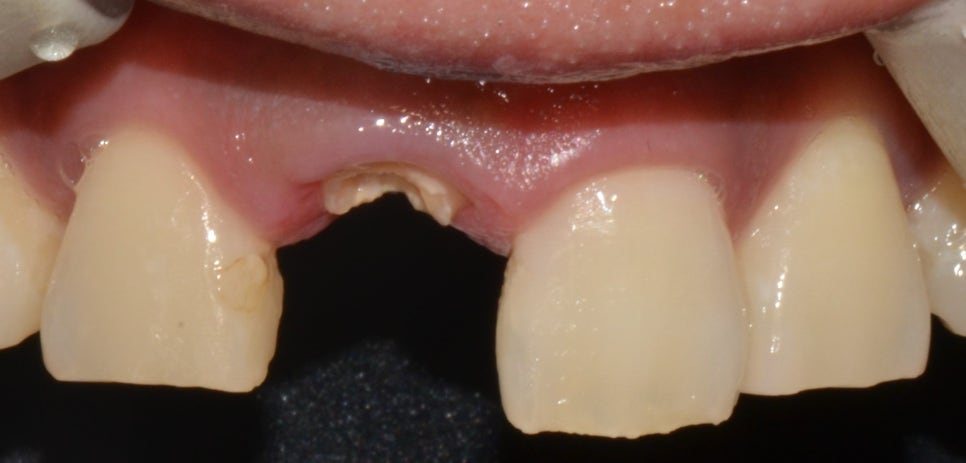
치료 전
2020년 5월 27일 (3개월 소요)

내원 이유
내원을 해주신 분은 30대 남성분이셨습니다. 위에서 말씀드린 대로 교통사고를 당하여 비어져 있는 공간이 생기고 그것을 상실된 치아를 회복하기 위한 방법으로 여러 가지를 알려드렸으며 임플란트를 진행하게 되었습니다. 임플란트는 인공적으로 치아를 만들어 주고 그것을 비어져 있는 공간에 심는 것이었는데요. 여기에서 가장 상부에 위치한 보철물을 만들 때에 여러 조건들을 상세하게 파악을 하고 제작이 되었기 때문에 티가 나지 않을까 걱정하지 않으셔도 된다고 종로구치과는 알려드립니다.
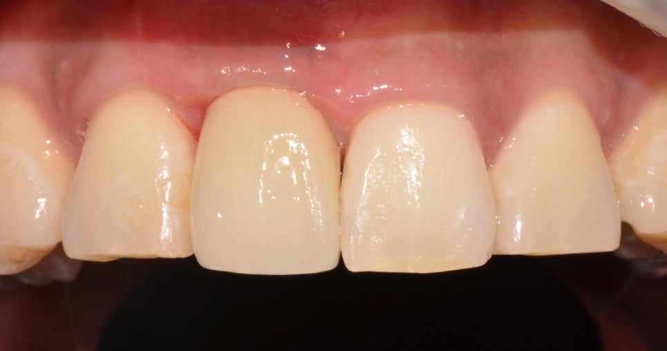
치료 후
2020년 9월 2일

치료 진행
다행히 뼈의 상태가 좋아 발치 후 임플란트 즉시 식립이 가능했습니다. 모든 분들이 다 즉시 식립이 가능한 것은 아니었는데요. 해당 경우와 같이 뼈의 상태가 좋아야 합니다. 그래서 치주 질환으로 인해 발치를 하였거나 이가 빠진 자리를 오랜 시간 비워두는 경우에는 뼈가 소실되어 양이 충분하지 않아 바로 식립이 어려웠죠. 이러한 이유가 있기 때문에 상실된 공간을 오래 내버려두는 것은 좋지 않다고 강조 드려 알려드립니다.

즉시 임플란트가 무엇인지 궁금해하는 분들도 있으실 것 같은데요. 일반적으로는 2~3개월 상처가 아물기를 기다린 다음 시술을 하게 됩니다. 그 이후에 인공치아 뿌리, 즉 금속 기둥을 심고, 잇몸을 덮어 턱뼈와 결합이 이뤄질 때까지 기다려야 하기 때문에 임플란트 치료 기간이 길었죠. 하지만 즉시로 진행하는 것은 말 그대로 바로 임플란트를 심을 수 있는 것이었으며 잇몸 뼈가 줄어드는 것을 사전에 예방을 할 수 있습니다. 빠르게 일상생활에 복귀를 할 수 있다는 점도 장점이었죠.

단, 앞에서도 계속해서 말씀드린 것과 같이 모든 분들이 즉시 시술이 가능한 것은 아니며 잇몸과 잇몸뼈의 상태가 양호하게 잘 보존되어 있는 분들이어야 하며 자세한 상황은 3D CT 등 첨단 기기를 사용한 구강 검진을 통해 알 수 있다는 점같이 참고해 주시길 바랍니다.

종로구치과에서는
통증을 줄이면서 빠르게 회복할 수 있도록
신경 쓰며 진료 및 치료를 해드리고 있습니다 :)
추가적으로 궁금하신 점 있으시다면
편하게 문의해주세요!
02-720-5672

더 보기
이 병원의 공개 콘텐츠를 계속 살펴보세요
출처 아카이브로 돌아가 더 많은 글을 보거나, 병원 프로필로 이동해 다른 공개 채널도 함께 비교해보세요.