보스톤치과의원]
종로치과추천 이가 흔들려서 씹는게 불편해요
안녕하세요 종로치과추천 입니다. 치아는 밥을 먹을 때에도 사용을 하고 말을 할 때에도 사용을 했습니다. 그렇기 때문에 우리가 생활하는데 있어 치아는 많은 영향을 준다고 볼 수 있었는데요. 치아의 기능이 제대로 되지 않는다고 한다면 당연히 생활을 하는 것에 있어서도 불편함을 느끼실 수가 있으시겠죠? 그래서 오늘은 치아의...
아카이브 요약
이 페이지의 역할
BOSTON Dental Clinic [보스톤치과의원]의 네이버 블로그 원문을 보존한 아카이브 페이지입니다. B.임플란트 카테고리의 종로치과추천 이가 흔들려서 씹는게 불편해요 글을 통해 병원의 한국어 정보 제공 방식과 진료 관련 안내 톤을 확인할 수 있습니다.

안녕하세요 종로치과추천 입니다.
치아는 밥을 먹을 때에도 사용을 하고 말을 할 때에도 사용을 했습니다.
그렇기 때문에 우리가 생활하는데 있어 치아는 많은 영향을 준다고 볼 수 있었는데요.
치아의 기능이 제대로 되지 않는다고 한다면 당연히 생활을 하는 것에 있어서도 불편함을 느끼실 수가 있으시겠죠?
그래서 오늘은 치아의 기능이 제대로 되지 않아 불편함을 느껴 임플란트를 진행한 사례에 대해 설명 해드리겠습니다.

"이가 흔들려서 씹는 것이 불편해요"
치아의 기능 중 가장 중요하게 생각되는 것은 음식을 씹는 저작력이라고 생각하시는 분들이 많으실텐데요. 하루에도 식사 포함 간식까지 먹는 것을 생각해보면 치아를 사용하여 음식물을 잘게 쪼개주고 그것을 삼켜주었으며 이 때 저작력을 사용하게 되는 것이였습니다. 치아는 음식을 씹는 것 뿐만 아니라 보여지는 심미적인 부분 그리고 발음을 하는 것에 있어서도 영향을 주었기 때문에 평소 치아를 소중하게 생각하고 관리도 잘 되어야 합니다.

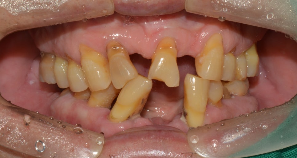
치료 전
2019년 7월 29일 (8개월 소요)


내원 이유
70대 남성분이였으며 치료를 받기 전 사진을 보시면 상실된 부분도 있으면서 위와 아래의 맞물리는 교합 상태도 좋지 않았습니다. 치아가 저작력을 내기 위해서는 윗니와 아랫니의 맞물림으로 인해 부셔주는 힘을 얻었는데요. 이러한 맞물림도 제대로 되지 않으면서 위에서 말씀드린 것과 같이 치아가 흔들리는 증상 또한 느끼고 있는 상태였기 때문에 식사를 하는것에 있어 불편함을 많이 느끼셔서 치료를 위해 내원을 해주셨습니다.
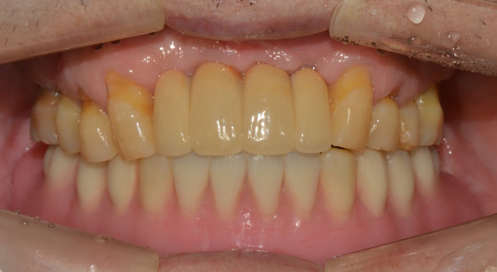
치료 후
2020년 4월 1일


치료 진행
검진을 하였을 때 구강 위생 상태가 좋지 않아 앞서 말씀드린 것과 같이 전체적으로 이가 흔들리고 있었습니다. 그리고 건강상의 이유로 수술을 최소한으로 하고 싶으시다고 말씀해 주셔서 하악은 전악발치 후 틀니, 상악은 전치부 발치 후 임플란트 2개를 식립하고 브릿지로 연결하여 치료를 진행해 주었는데요. 이 때 발치를 진행한 후에는 잇몸치유 과정을 기다린 후 하악 틀니와 교합을 맞춰 상악 보철을 진행하였습니다. 치료 후에는 더 이상 치아 흔들림이 없으면서 저작력도 많이 회복되어 식사를 하는 것에 있어서 편하다고 좋아해 주셨습니다^^

틀니 및 임플란트를 진행하셨다면 관리를 하는 것에 있어서 계속해서 꾸준히 신경을 써주시는 것이 좋다고 종로치과추천은 말씀을 드리는데요. 이를 닦는 것, 구강 청결에 소홀하게 되면 염증으로 인해 다시 치료를 받는 분들이 있는 만큼 여러분들은 치료 받은 치아를 오래 사용하기 위해 꼼꼼한 관리가 필요하다고 알려드립니다.

임플란트 어디서 해야 할지 고민되신다면?
정성스럽게 하나씩 꼼꼼하게 확인하여
친절하면서 자세하게 설명드리는
종로치과추천 드립니다 :)
궁금하신 점이 있으시다면 언제든지
문의 해주시길 바랍니다!
02-720-5672

더 보기
이 병원의 공개 콘텐츠를 계속 살펴보세요
출처 아카이브로 돌아가 더 많은 글을 보거나, 병원 프로필로 이동해 다른 공개 채널도 함께 비교해보세요.