아카이브 요약
이 페이지의 역할
보스톤치과의원 종로의 네이버 블로그 원문을 보존한 아카이브 페이지입니다. 건강정보 카테고리의 노화가 치아 건강에 영향을 미치나요? 글을 통해 병원의 한국어 정보 제공 방식과 진료 관련 안내 톤을 확인할 수 있습니다.
원문 검증
필요하면 원문 블로그와 병원 프로필로 바로 이동해 문맥을 다시 확인할 수 있습니다.
출처 아카이브 열기아카이브된 블로그 글
보스톤치과의원 종로 · ✅보스톤치과✅
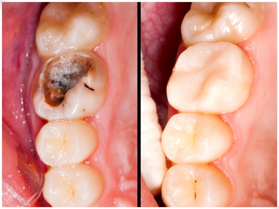
안녕하세요 나이가 점점 들어가면서 노화가 생기고 이로 인해서 치아 건강에 영향을 미치게 되었는데요. 노화는 나이가 들면서 신체의 구조와 기능이 퇴화되는 것이었어요. 그리고 여러분들도 잘 알고 계시겠지만 노화는 치아건강뿐만 아니라 신체 영역에서 서서히 진행되었어요. 자 그렇다면 본격적으로 노화가 치아건강에 미치는 영향들...
게시일
2024년 6월 18일
원문 기준으로 확인된 발행일입니다.
카테고리
건강정보
원문 블로그 카테고리를 정리해 함께 표시합니다.
이미지 수
6
현재 아카이브에 연결된 이미지 수입니다.
아카이브 요약
보스톤치과의원 종로의 네이버 블로그 원문을 보존한 아카이브 페이지입니다. 건강정보 카테고리의 노화가 치아 건강에 영향을 미치나요? 글을 통해 병원의 한국어 정보 제공 방식과 진료 관련 안내 톤을 확인할 수 있습니다.
원문 검증
필요하면 원문 블로그와 병원 프로필로 바로 이동해 문맥을 다시 확인할 수 있습니다.
출처 아카이브 열기
안녕하세요 나이가 점점 들어가면서 노화가 생기고 이로 인해서 치아 건강에 영향을 미치게 되었는데요. 노화는 나이가 들면서 신체의 구조와 기능이 퇴화되는 것이었어요. 그리고 여러분들도 잘 알고 계시겠지만 노화는 치아건강뿐만 아니라 신체 영역에서 서서히 진행되었어요. 자 그렇다면 본격적으로 노화가 치아건강에 미치는 영향들을 살펴보도록 하겠어요.

우선 첫 번째는 치아 마모였는데요. 이에 가해지는 다양한 요인에 의하여 일어나는 증상으로 이와 잇몸의 경계 주변에 치아 외벽이 얇게 깨져나가는 것이었죠. 초반에는 눈에 잘 보이지 않으면서 나타나는 증상도 없었지만 어느 정도 진행이 되었다고 한다면 양치질을 할 때나 음식을 먹을 때 시린 증상이 나타나게 되었어요. 마모는 올바른 칫솔 방법으로 예방이 가능하고 잇몸에서 이의 방향으로 쓸어내려주듯이 이를 닦아주는 것이 좋다는 점 기억하실 바랬어요.

두 번째는 노인성 치아우식증이었는데요. 이것은 입속 세균에 의해 당류 등이 분해되어 생기는 산이 이를 파괴시켜 생기는 질환을 말하는 것이었죠. 시멘트질에 생기는 우식증이기 때문에 노화로 약해진 구강 환경에서 일어나 악화되기가 쉬웠어요. 해당 질환을 예방하기 위해서는 구강 내 충치가 생기지 않도록 해주셔야 하였는데요. 칫솔과 치실을 사용하여 위생상태를 청결하게 해주는 노력이 필요하였어요.

세 번째는 구강건조증이었는데요. 연령이 높아질수록 침샘에서 침을 생산하는 조직이 감소되었어요. 따라서 분비가 되는 침의 양도 줄어들었죠. 건조증을 예방하기 위해서는 소량의 물을 자주 섭취하여 건조해 지지 않도록 해주셔야 했어요. 그리고 무카페인 무가당 음료를 주로 마시도록 식습관을 바꿔주시는 것이 도움이 되었죠.

네 번째는 치은 퇴축이 있습니다. 잇몸이 원래 높이보다 내려가서 이의 뿌리 부분이 노출된 상태로 이의 뿌리가 노출되면서 시린 통증을 유발하고 세균 증식이 쉬워져 염증과 충치를 유발하는 것이죠. 일반적으로 40대 이상의 성인분들에게 발생되었죠. 예방하기 위한 방법은 부드러운 칫솔을 사용하여 이를 닦아주시고 비타민 C를 섭취하는 것도 예방에 도움이 되었어요. 그리고 정기적으로 스케일링을 받아주셔야 하였죠.

40,50대부터 치주 질환으로 인해 고생하는 분들이 많은데요. 치주 질환의 원인이 되는 치석을 주기적으로 제거해 주는 것이 필요하였어요. 그것을 제거하기 위한 치료는 스케일링이었는데요. 스케일링은 연 1회 보험 적용도 가능하니 해당 부분도 참고해 주시길 바랐어요. 자연치를 계속해서 평생 같이 사용하기 위해서는 스스로의 관리가 중요하다고 말씀을 드리면서 이만 인사드리겠습니다. 감사합니다!