아카이브 요약
이 페이지의 역할
보스톤치과의원 종로의 네이버 블로그 원문을 보존한 아카이브 페이지입니다. 건강정보 카테고리의 치실 올바르게 사용하고 있나요? 글을 통해 병원의 한국어 정보 제공 방식과 진료 관련 안내 톤을 확인할 수 있습니다.
원문 검증
필요하면 원문 블로그와 병원 프로필로 바로 이동해 문맥을 다시 확인할 수 있습니다.
출처 아카이브 열기아카이브된 블로그 글
보스톤치과의원 종로 · ✅보스톤치과✅
안녕하세요. 여러분의 치아 건강을 지키기 위해 찾아온 담당자입니다. 건강한 치아 건강을 유지하기 위한 과정 중 하나로 꼽히는 것이 치실 사용입니다. 아무리 양치질을 꼼꼼히 한다고 해도 우리 구강에는 사각지대가 존재하기 때문인데요. 치실 혹은 치간 칫솔을 사용해 치아 사이에 있는 음식물을 일차적으로 제거해 주셔야 구강...
게시일
2024년 10월 30일
원문 기준으로 확인된 발행일입니다.
카테고리
건강정보
원문 블로그 카테고리를 정리해 함께 표시합니다.
이미지 수
5
현재 아카이브에 연결된 이미지 수입니다.
아카이브 요약
보스톤치과의원 종로의 네이버 블로그 원문을 보존한 아카이브 페이지입니다. 건강정보 카테고리의 치실 올바르게 사용하고 있나요? 글을 통해 병원의 한국어 정보 제공 방식과 진료 관련 안내 톤을 확인할 수 있습니다.
원문 검증
필요하면 원문 블로그와 병원 프로필로 바로 이동해 문맥을 다시 확인할 수 있습니다.
출처 아카이브 열기
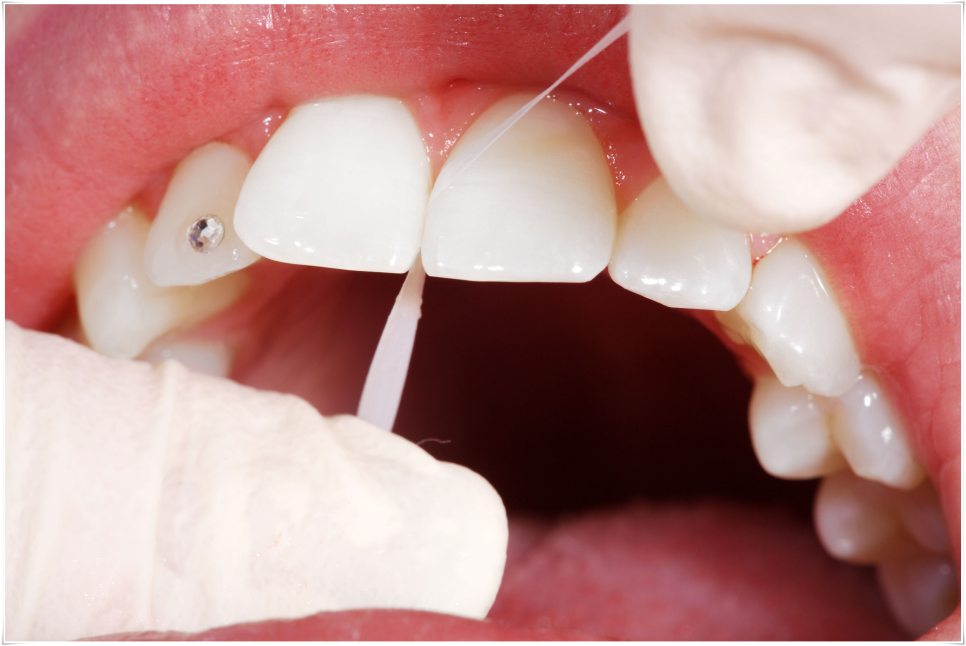
안녕하세요. 여러분의 치아 건강을 지키기 위해 찾아온 담당자입니다. 건강한 치아 건강을 유지하기 위한 과정 중 하나로 꼽히는 것이 치실 사용입니다. 아무리 양치질을 꼼꼼히 한다고 해도 우리 구강에는 사각지대가 존재하기 때문인데요. 치실 혹은 치간 칫솔을 사용해 치아 사이에 있는 음식물을 일차적으로 제거해 주셔야 구강 위생관리를 보다 효과적으로 유지할 수 있습니다.

치실의 종류는 대략 4가지 정도가 있습니다. 코팅이 되어 있지 않은 일반치실, 표면이 왁스로 코팅되어 있는 왁스코팅 치실, 침에 닿으면 실이 부풀어 올라 자극이 덜한 스펀지 치실, 손잡이가 있는 Y형 치실입니다. 일반적으로 많이 알려져 있고, 사용되고 있는 것은 왁스코팅 치실입니다. 약국에서도 쉽게 구매할 수 있죠. 잇몸이 약하거나 임플란트, 치아 교정을 하고 있는 경우에는 스펀지 치실도 많이 사용되고 있습니다. Y형 치실은 손가락에 감아서 사용하는 일반 치실과는 다르게 손잡이가 있어 소아 치아 관리에도 많이 사용되고 있습니다.

치실도 올바르게 사용하는 방법이 있다는 사실 알고 계셨나요? 모든 올바르지 않은 방법으로 사용하게 되면 도리어 독이 됩니다. 치실은 치아 사이에 조심스럽게 넣은 뒤 치아의 측면에 밀착시킨 뒤 앞뒤로 부드럽게 움직여 치태와 음식물 찌꺼기를 제거해줘야 합니다. 이때 힘을 조절해 잇몸이 다치지 않도록 주의하셔야 합니다. 어금니 부분에 치실을 넣기 힘들 땐, Y자 형태의 일회용 치실을 사용하는 것을 추천드립니다. 간혹 살살했는데도 사용 중에 피가 나시는 경우도 있는데요. 염증이 있다는 신호일 수 있으니 내원하셔서 검진받아보시는 것을 권장드립니다.

치간 칫솔 역시 치실과 사용 방법이 유사합니다. 다만 치간 칫솔은 쇠에 솔이 달려있는 형태이기 때문에 잇몸과 치아가 다치지 않도록 더 조심스럽게 사용해주셔야 합니다. 안 들어갈 경우 강제로 넣지 말고 치실을 사용하는 것이 좋습니다. 치아 간격이 좁은데 힘을 줘서 치간칫솔을 사용할 경우 오히려 치아를 손상시킬 수 있어 주의가 필요합니다. 주로 임플란트와 같은 보철물에 사용하는 것을 권장드리고 있습니다.

치실과 치간 칫솔은 올바르게 사용해야 그 효과를 극대화할 수 있다는 점을 명심하셔야 합니다. 치아 사이의 청결을 유지하는 것은 충치 및 잇몸 질환 예방에 매우 중요한 과정입니다. 이를 통해 건강한 구강 상태를 유지하고, 궁극적으로는 전반적인 건강에도 긍정적인 영향을 가질 수 있기 때문입니다. 여기에 정기적으로 치과 검진을 받아주시면 치아 건강을 오래 유지하실 수 있습니다.