보스톤치과의원]
을지로입구역치과 치아 미백 전후 알아봐요! (Tooth whitening)
안녕하세요 을지로입구역치과 입니다. 여러분들 매일 아침 모닝커피를 마시는 분들이 많으실텐데요. 하지만 커피가 치아를 변색시킬 수 있다는 사실 알고 계신가요? 커피에 함유된 갈색 색소가 치아의 미세한 구멍으로 침투하여 안쪽 층에 착색이 됩니다. 그리고 커피에 포함되어 있는 타닌 성분도 변색을 일으킬 수 있었죠. 커피 외...
아카이브 요약
이 페이지의 역할
BOSTON Dental Clinic [보스톤치과의원]의 네이버 블로그 원문을 보존한 아카이브 페이지입니다. B.심미치료 카테고리의 을지로입구역치과 치아 미백 전후 알아봐요! (Tooth whitening) 글을 통해 병원의 한국어 정보 제공 방식과 진료 관련 안내 톤을 확인할 수 있습니다.

안녕하세요 을지로입구역치과 입니다. 여러분들 매일 아침 모닝커피를 마시는 분들이 많으실텐데요. 하지만 커피가 치아를 변색시킬 수 있다는 사실 알고 계신가요? 커피에 함유된 갈색 색소가 치아의 미세한 구멍으로 침투하여 안쪽 층에 착색이 됩니다. 그리고 커피에 포함되어 있는 타닌 성분도 변색을 일으킬 수 있었죠. 커피 외에도 레드와인 홍차, 카레와 같은 음식들이 변색을 일으키는데요. 그렇다면 변색된 치아는 어떻게 해결할 수 있을까요? 오늘 치아 미백 치료 전후사례를 보며 함께 알아가 보겠습니다.
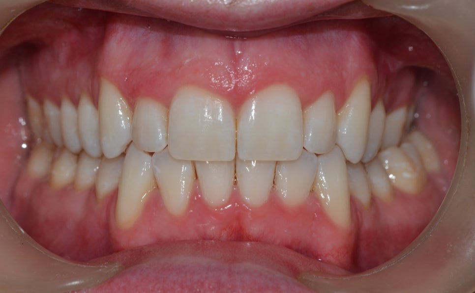
치료 전 - 24.11.10
치료기간 : 당일치료


치료 전 사진을 보시면 곳곳에 누렇게 치아가 변색된 모습이 보이실 텐데요. 미백치료로는 전문가 미백, 라미네이트, 올세라믹 등이 있습니다.
각각 어떠한 특징을 가지고 있는지 궁금한 분들을 위해 간단하게 치료에 대해 설명을 해드릴게요.

전문가 미백
치아의 변색된 정도나 착색된 원인을 정밀 진단 후 개인의 특성에 맞는 고동도 미백제와 특수 미백광선으로 치과에서 직접 시술하는 방식입니다. 잇몸 자극을 줄이고 시린 이 증상이 느껴지지 않도록 관리를 해드리고 있었죠.

라미네이트
치아의 겉면의 일부분을 삭제한 후 세라믹 소재의 보철물을 부착하는 시술 입니다. 최근에는 무삭제 라미네이트도 많은 관심을 받고 있습니다. 해당 방식은 치아 삭제량을 현저하게 감소시킨 방법으로 안전하게 앞니 문제를 개선할 수 있는 방법이였죠.

올세라믹
치아의 앞과 옆, 뒷면으로 삭제를 한 후에 그 위를 세라믹으로 덮어 씌우는 치료를 말합니다. 치아의 손상부위가 넓어 라미네이트로 치료가 어려운 경우에 사용될 수 있습니다.
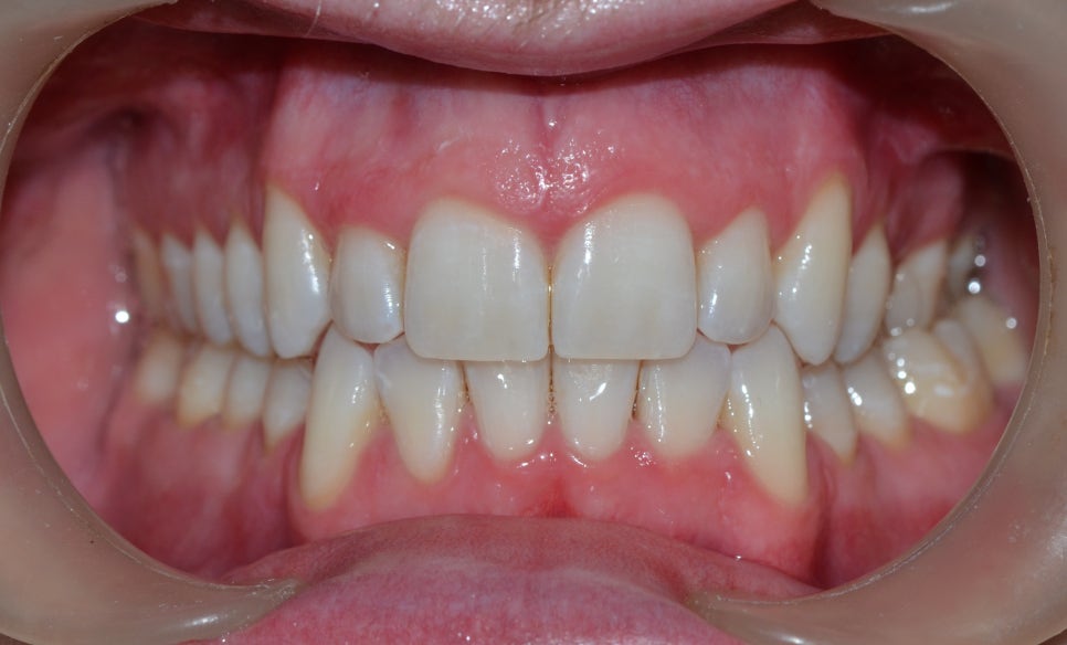
치료 후 - 24.11.10
치료기간 : 당일치료

치료 후의 사진 입니다! 전체적으로 전보다 밝아진 느낌이 드는데요. 위에서 말씀드린 치아 미백 치료 중에서도 해당 환자분은 전문가 미백 방법으로 치료 받으셨습니다. 미백 효과가 더욱 오래 갈 수 있는 팁을 을지로입구역치과가 알려드리겠습니다.
그것은 바로 자가미백을 같이 사용하는 것이였는데요. 자가미백은 집에서도 할 수 있는 방법 입니다. 치과에서 개인의 이에 맞춰 제작한 틀을 사용해 치아에 도포해주고 수면하는 동안 착용해 주는 것인데요. 을지로입구역치과에서는 여러분들과 정밀한 상담을 통해 맞춤형으로 자가미백이 진행 될 수 있도록 하고 있습니다.

전과 후를 한눈에 보게되면 확실하게 미백효과가 잘 보여지는데요. 현재 치아가 누래져서 고민이신 분들이라면 을지로입구역치과에 내원하여 상담 및 검진을 받아보시길 바라겠습니다! 여러분들의 목소리에 귀기울이며 친절하게 상담을 진행하고 만족스러운 결과가 나올 수 있도록 세심하게 치료해드리겠습니다 :)

📞 문의전화 : 02-720-56572
더 보기
이 병원의 공개 콘텐츠를 계속 살펴보세요
출처 아카이브로 돌아가 더 많은 글을 보거나, 병원 프로필로 이동해 다른 공개 채널도 함께 비교해보세요.