아카이브 요약
이 페이지의 역할
보스톤치과의원 종로의 네이버 블로그 원문을 보존한 아카이브 페이지입니다. B.일반진료 카테고리의 을지로치과 오래된 보철로 앞니가 보기 싫어요ㅠ 글을 통해 병원의 한국어 정보 제공 방식과 진료 관련 안내 톤을 확인할 수 있습니다.
원문 검증
필요하면 원문 블로그와 병원 프로필로 바로 이동해 문맥을 다시 확인할 수 있습니다.
출처 아카이브 열기아카이브된 블로그 글
보스톤치과의원 종로 · ✅보스톤치과✅
안녕하세요 을지로치과 입니다. 오늘도 치료 전후사례에 대해 알려드리려고 합니다^^ 같이 알아볼 환자분은 방문해 주셨을 때 오래된 보철 때문에 고민이 된다고 말씀해 주셨고 앞니의 심미성이 떨어져서 보기 싫다고 하셨는데요. 앞니 부분이라 웃을 때마다 신경이 자주 쓰여 불편하셨을 것 같습니다ㅠㅠ 치료 전과 후를 보면서 어떠...
게시일
2025년 2월 13일
원문 기준으로 확인된 발행일입니다.
카테고리
B.일반진료
원문 블로그 카테고리를 정리해 함께 표시합니다.
이미지 수
6
현재 아카이브에 연결된 이미지 수입니다.
아카이브 요약
보스톤치과의원 종로의 네이버 블로그 원문을 보존한 아카이브 페이지입니다. B.일반진료 카테고리의 을지로치과 오래된 보철로 앞니가 보기 싫어요ㅠ 글을 통해 병원의 한국어 정보 제공 방식과 진료 관련 안내 톤을 확인할 수 있습니다.
원문 검증
필요하면 원문 블로그와 병원 프로필로 바로 이동해 문맥을 다시 확인할 수 있습니다.
출처 아카이브 열기
안녕하세요 을지로치과 입니다. 오늘도 치료 전후사례에 대해 알려드리려고 합니다^^
같이 알아볼 환자분은 방문해 주셨을 때 오래된 보철 때문에 고민이 된다고 말씀해 주셨고 앞니의 심미성이 떨어져서 보기 싫다고 하셨는데요.
앞니 부분이라 웃을 때마다 신경이 자주 쓰여 불편하셨을 것 같습니다ㅠㅠ
치료 전과 후를 보면서 어떠한 상황인지 알아보고 치료는 어떻게 마무리 되었는지 설명드리겠습니다!
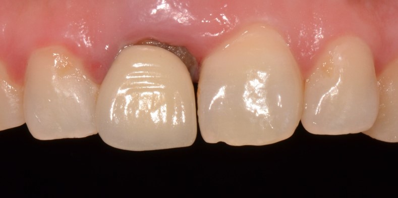
치료 전 - 2024.10.21
치료기간 : 6일 소요

치료 전후 사진 게재는 환자분 동의를 얻어 의료법 제23조, 제56조에 의거하여 게재합니다.
개인에 따라서 시술 및 수술 후 부작용이 발생할 수 있으니 사전에 의료진과 충분한 상담 후 진행하시길 바랍니다.
위 치료 전후 자료는 환자분의 동의를 얻은 보스톤치과의원 소유이며, 무단 도용 및 배포를 금지합니다.
증상 소개
먼저 정밀 검진을 통해 현재 치아 상태에 대해 확인이 되어야 했는데요. 진단 결과 치아 뿌리까지 충치가 진행된 모습이였고
플라그(치태) 가 많이 껴져 있어 구강 위생 상태도 좋지 않았습니다.
그리고 잇몸도 많이 부어있는 상태인 것을 사진을 통해 확인해 볼 수 있었습니다.
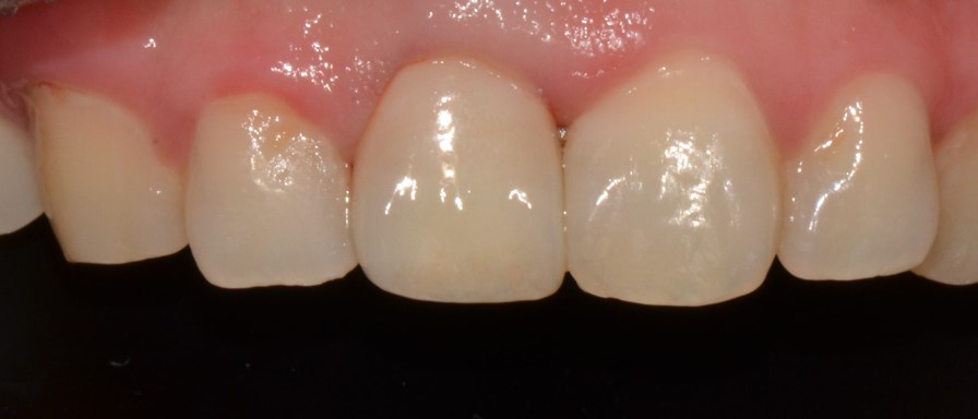
치료 후 - 2024.10.28
치료기간 : 6일 소요

치료 특이사항
기존 크라운 제거 후 안에 생긴 충치를 자세히 보고 감염부위들은 다 제거를 해주었습니다!
그리고 나서 옆에 있는 치아와 잘 어우러지도록 새로운 크라운으로 교체까지 해주었죠.
잇몸의 붓기가 많이 가라앉아 있는 모습도 확인해 볼 수 있습니다 :)

이렇게 오늘 앞니 크라운 치료 전 후에 대해서 같이 알아보았습니다.
충치가 생긴 후에는 방치해 두지 마시고 빠르게 치료를 받아주는 것이 중요합니다.

그러니 충치 치료 고민되신다면?
을지로치과에 맡겨주세요! 친절하게 구강 상황에 대해 설명해 드리고 진행되는 치료도 자세하게 말씀드리고 있습니다.
또한 다년간의 경험으로 문제 있는 부분은 정확하고 빠르게 치료합니다^^

을지로치과에서는 오전진료를 길게 보기 때문에 점심시간을 이용해 주셔서
방문해 주는 직장인 분들도 많습니다 :)
또한 매주 수요일은 오후 8시까지 야간진료를 하고 있으니 진료시간 참고해주시길 바랍니다^^