보스톤치과의원]
[종로치과추천] 치아가 마모되어 보기 싫어요ㅠㅠ
안녕하세요 종로치과추천 입니다. 오늘은 치아 마모 전후사례를 함께 알아보도록 하겠습니다. 치아 마모는 여러 요인으로 인해 이의 표면이 닳는 것을 말합니다. 이것은 단순히 나이가 들어감에 따라 자연스럽게 발생하는 현상이기도 하지만 특정 습관이나 질환 등으로 인해 가속화 될 수 있습니다. 마모로 인해 씹는 저작 기능이 저...
아카이브 요약
이 페이지의 역할
BOSTON Dental Clinic [보스톤치과의원]의 네이버 블로그 원문을 보존한 아카이브 페이지입니다. B.일반진료 카테고리의 [종로치과추천] 치아가 마모되어 보기 싫어요ㅠㅠ 글을 통해 병원의 한국어 정보 제공 방식과 진료 관련 안내 톤을 확인할 수 있습니다.
![[종로치과추천] 치아가 마모되어 보기 싫어요ㅠㅠ 관련 이미지 1](https://pub-9f2bb3498faf4d1d8714b41df24753e3.r2.dev/content/clinics/archive/y1vamsgvm4/naver_blog/bostonclinic7/assets/by_hash/27fb3ca43802c7ce2f83c0260ca82f5bdb15bd7625d5fe3132bc6d3d5abe0b9b.png)
안녕하세요 종로치과추천 입니다. 오늘은 치아 마모 전후사례를 함께 알아보도록 하겠습니다. 치아 마모는 여러 요인으로 인해 이의 표면이 닳는 것을 말합니다. 이것은 단순히 나이가 들어감에 따라 자연스럽게 발생하는 현상이기도 하지만 특정 습관이나 질환 등으로 인해 가속화 될 수 있습니다. 마모로 인해 씹는 저작 기능이 저하되고 턱관절 문제, 치아의 변색 등 여러 문제들이 생길 수 있어 치료를 제 때 받아주는 것이 좋습니다.
자 그럼 오늘 만나볼 환자분은 치료를 받고 어떻게 달라졌는지 같이 알아 볼까요?
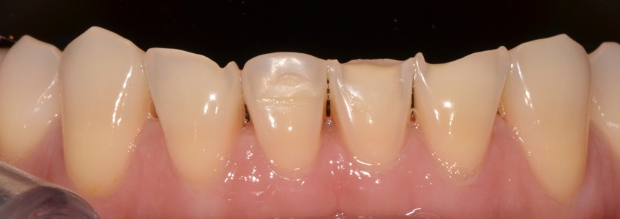
치료 전 - 2025.01.07
치료기간 : 6일
![[종로치과추천] 치아가 마모되어 보기 싫어요ㅠㅠ 관련 이미지 2](https://pub-9f2bb3498faf4d1d8714b41df24753e3.r2.dev/content/clinics/archive/y1vamsgvm4/naver_blog/bostonclinic7/assets/by_hash/786197443333fd13f2aa2bfa5c93c0c86cb0d01d5d43e571d6df2b3ae2b4c7bf.jpg)
-
치료 전후 사진 게재는 환자분 동의를 얻어 의료법 제23조, 제 56조에 의거하여 게재합니다.
-
개인에 따라서 시술 및 수술 후 부작용이 발생할 수 있으니 사전에 의료진과 충분한 상담 후 진행하시길 바랍니다.
-
위 치료 전후 자료는 환자분의 동의를 얻은 보스톤치과의원 소유이며, 무단 도용 및 배포를 금지합니다.
증상 소개
치료 전 사진 입니다. 아래 앞니가 마모되어 뾰족하게 보이는 부분이 보기 싫어서 내원해 주셨는데요. 교합이 긴밀하기 때문에 간단히 떼우는 치우를 해도 자주 떨어졌다고 말씀해 주셨습니다. 그래서 크라운으로 치료를 진행하였는데요. 어떻게 달라지는지 아래에서 같이 확인해 볼까요?
치료 후 - 2025. 01.14
치료기간 : 6일
![[종로치과추천] 치아가 마모되어 보기 싫어요ㅠㅠ 관련 이미지 3](https://pub-9f2bb3498faf4d1d8714b41df24753e3.r2.dev/content/clinics/archive/y1vamsgvm4/naver_blog/bostonclinic7/assets/by_hash/2d77222ba47c155182262591b5ce2255da28b6ac69d2d3830abf73a1b0529a1a.jpg)
치료 특이사항
위에서 말씀 드린 것과 같이 크라운치료로 진행을 하였습니다. 크라운 치료는 손상되거나 약해진 치아를 보호하기 위해 치아 전체를 덮는 보철물을 씌우는 것을 말합니다. 치료가 다 끝난 후의 사진을 보시면 치아도 가지런해 보이고 보여지는 부분에서도 자연스럽기 때문에 환자분도 심미적으로 예뻐져서 너무 좋다고 만족해 주셨습니다 :)
![[종로치과추천] 치아가 마모되어 보기 싫어요ㅠㅠ 관련 이미지 4](https://pub-9f2bb3498faf4d1d8714b41df24753e3.r2.dev/content/clinics/archive/y1vamsgvm4/naver_blog/bostonclinic7/assets/by_hash/4edccf787b2ae22704c169adb469f792913aff5f2a44ab6f978fa263a319c97b.jpg)
치아마모의 원인은 다양하게 있습니다. 그 중에서도 몇가지를 말씀드려볼게요. 첫번째로 잘못된 칫솔질 습관입니다. 너무 강한 힘으로 칫솔질을 하면 법랑질이 닳아 마모가 생길 수 있으며 양 옆으로 강하게 닦아주게 되면 치경부 마모증을 일으킬 수 있습니다. 또한 산성 성분이 많이 들어간 탄산음료를 자주 마시는 것도 치아를 부식시켜 줄 수 있었죠. 마지막으로 수면 중이나 무의식적으로 이를 갈거나 꽉 무는 습관도 마모의 원인이 될 수 있다고 알려드립니다.
![[종로치과추천] 치아가 마모되어 보기 싫어요ㅠㅠ 관련 이미지 5](https://pub-9f2bb3498faf4d1d8714b41df24753e3.r2.dev/content/clinics/archive/y1vamsgvm4/naver_blog/bostonclinic7/assets/by_hash/718e129d68deae554ec79962bd3708f67bf991f8b838c42438fadc9a771b7dfb.png)
더 보기
이 병원의 공개 콘텐츠를 계속 살펴보세요
출처 아카이브로 돌아가 더 많은 글을 보거나, 병원 프로필로 이동해 다른 공개 채널도 함께 비교해보세요.