아카이브 요약
이 페이지의 역할
강남레옹치과의원의 네이버 블로그 원문을 보존한 아카이브 페이지입니다. 건강정보 카테고리의 강남 치아교정치과 검증된 방법으로 만족도 업!! 글을 통해 병원의 한국어 정보 제공 방식과 진료 관련 안내 톤을 확인할 수 있습니다.
원문 검증
필요하면 원문 블로그와 병원 프로필로 바로 이동해 문맥을 다시 확인할 수 있습니다.
출처 아카이브 열기아카이브된 블로그 글
강남레옹치과의원 · Naver Blog
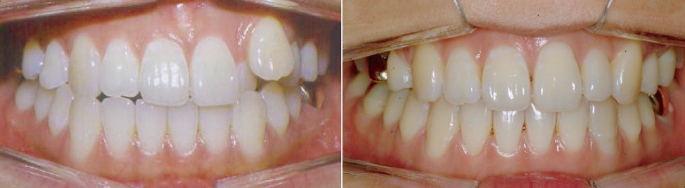
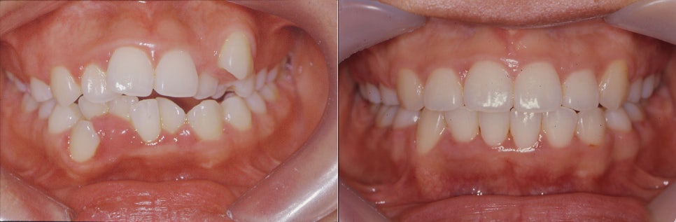
안녕하십니까! 레옹입니다. 수능시험이 끝난 수험생 분들 뿐만 아니라 곧 방학을 앞두고 있는 많은 학생 분들의 관심사 중 하나가 바로 치아교정이 아닐까 생각이 됩니다. 강남 치아교정치과에도 방학 시즌이 되면 틀어진 치열 때문에 방문하시는 환자분들이 많이 늘어나요. 치아에 장치를 부착하는 것은 강남 치아교정치과...
게시일
2018년 11월 20일
원문 기준으로 확인된 발행일입니다.
카테고리
건강정보
원문 블로그 카테고리를 정리해 함께 표시합니다.
이미지 수
6
현재 아카이브에 연결된 이미지 수입니다.
아카이브 요약
강남레옹치과의원의 네이버 블로그 원문을 보존한 아카이브 페이지입니다. 건강정보 카테고리의 강남 치아교정치과 검증된 방법으로 만족도 업!! 글을 통해 병원의 한국어 정보 제공 방식과 진료 관련 안내 톤을 확인할 수 있습니다.
원문 검증
필요하면 원문 블로그와 병원 프로필로 바로 이동해 문맥을 다시 확인할 수 있습니다.
출처 아카이브 열기안녕하십니까! 레옹입니다.
수능시험이 끝난 수험생 분들 뿐만 아니라
곧 방학을 앞두고 있는 많은 학생 분들의 관심사 중 하나가 바로
치아교정이 아닐까 생각이 됩니다.
강남 치아교정치과에도 방학 시즌이 되면
틀어진 치열 때문에 방문하시는 환자분들이 많이 늘어나요.
치아에 장치를 부착하는 것은
강남 치아교정치과에서도 많이 사용하는 가장 검증되고 효과적입니다.
치면에 부착한 초기에는 많이 불편하기도 하고 치과 내원이 자주 있을 수 있어요.
그래서 많은 분들이
방학 시즌에 맞춰 시작하는 것을 계획합니다.
장치 소개
메탈
세라믹
자가결찰
강남 치아교정치과는
어떠한 사례라도 적용이 가능한 검증된 방향으로 진행합니다.


무엇보다 정직하고 부작용 없는 안정적인 효과를 드리기 위한
저희의 진심이라고 볼 수 있습니다.

강남 치아교정치과 기본은
치아에 부착하고 와이어를 이용하여 치아를 이동시키는 방법입니다.
보통 2년 내외의 충분한 기간을 두고
진행하기 때문에
전문의가 자주 바뀌는 곳이나 혹은 진료 중간에 없어져버리는 치과를
가장 경계하고 피하셔야 하는데
이런 치과를 처음 방문했을 때 알아차리기란 쉽지가 않죠.
미래를 예측하는 법은 과거를 보는 것
하지만 레옹은
지금 이 자리에서 17년간 진료하면서
전국 각지에서 방문하시는 수많은 환자분들에게
정직과 신뢰를 드렸습니다.

나만의 주치의가 처음부터 끝까지 책임지는 레옹입니다.
강남 치아교정치과 세라믹은
이제 대중적인 방법인데요.
과거 장치는 메탈이었는데 이젠 금속은 거의 볼 수 없어요.
아무리 그래도 심미적인 부분을 무시할 수 없는데요.
이젠 보편적인 세라믹을 많이 선택하는 추세입니다.
물론 금속을 전혀 쓰지 않는 것은 아닙니다.
말 할 때나 웃을 때 아랫치아가 상대적으로 많이 보이지 않는 분들은
가성비를 고려하여 아래 치아는 메탈을 사용하기도 하지요.

강남 치아교정치과에서도 당연히
자가결찰을 사용하고 있는데요~
자가결찰은 장점이 참 많답니다.
자가결찰 시스템의 장점
기간이 단축된다.
통증이 적다.
진료 시 술식의 단순해진다.
치아 교정을 진행하면서 느낄 수 있는 모든 불편감이
일반 세라믹에 비해 현저히 적다는 것을 알 수 있겠죠?
뿐만 아니라 자가결찰의 재질도 세라믹으로 굉장히 심미적이기 때문에
눈에 띄는 부분이 많이 적습니다.
그래서 강남 치아교정치과는
왠만하면 불편감이 적고 장점이 많은 자가결찰 장치를 많이 권하고 있어요~
거의 대부분의 환자분들께서 만족하고 있습니다.
저희는 치의학박사 원장님께서
전문적인 진료를 위해 언제나 병원에 상주하고 있습니다.
치열 뿐만 아니라 얼굴의 형태까지 바뀌기 마련인데
그렇기 때문에 강남 치아교정치과를 선택하는 데 있어서 더 신중해야 합니다.
치아와 턱의 본질적인 기능을 개선해주고
위아래 턱이 조화롭게 위치하여 좀 더 이상적인 얼굴형으로 거듭날 수 있도록
정확하고 세밀한 진단 후 약속된 기간 안에 진료를 완료 하는 것이 중요합니다.
그치만 겉으로 보이지 않게
하고 싶어요.
네~ 그래서 다음에는
눈에 거의 띄지 않는 매우 심미적인 방법을 준비해보겠습니다.
