아카이브 요약
이 페이지의 역할
강남레옹치과의원의 네이버 블로그 원문을 보존한 아카이브 페이지입니다. 치과진료 카테고리의 앞니 뻐드러짐 치아 교정으로 돌출입 들어간 케이스 글을 통해 병원의 한국어 정보 제공 방식과 진료 관련 안내 톤을 확인할 수 있습니다.
원문 검증
필요하면 원문 블로그와 병원 프로필로 바로 이동해 문맥을 다시 확인할 수 있습니다.
출처 아카이브 열기아카이브된 블로그 글
강남레옹치과의원 · Naver Blog
안녕하세요 강남레옹치과입니다. 저희는 사랑니 발치나 임플란트 수술 등 외과적인 치료를 받기 위하여 많은 분들이 방문을 하시지만 치아교정 진료도 가능하다는 이야기를 먼저 하고 싶어요! 여러명의 원장님이 각각 진료과목을 담당하여 대학병원식 협진 시스템이 구축되었기 때문에 왠만한 케어를 다 받아보실 수 있지요. 그런...
게시일
2021년 2월 26일
원문 기준으로 확인된 발행일입니다.
카테고리
치과진료
원문 블로그 카테고리를 정리해 함께 표시합니다.
이미지 수
4
현재 아카이브에 연결된 이미지 수입니다.
아카이브 요약
강남레옹치과의원의 네이버 블로그 원문을 보존한 아카이브 페이지입니다. 치과진료 카테고리의 앞니 뻐드러짐 치아 교정으로 돌출입 들어간 케이스 글을 통해 병원의 한국어 정보 제공 방식과 진료 관련 안내 톤을 확인할 수 있습니다.
원문 검증
필요하면 원문 블로그와 병원 프로필로 바로 이동해 문맥을 다시 확인할 수 있습니다.
출처 아카이브 열기안녕하세요 강남레옹치과입니다.
저희는 사랑니 발치나 임플란트 수술 등
외과적인 치료를 받기 위하여 많은 분들이 방문을 하시지만
치아교정 진료도 가능하다는 이야기를 먼저 하고 싶어요!
여러명의 원장님이 각각 진료과목을 담당하여
대학병원식 협진 시스템이 구축되었기 때문에
왠만한 케어를 다 받아보실 수 있지요.
그런 의미에서 오늘은 치아교정 케이스!
특히 앞니 뻐드러짐으로 인한 돌출입이
완료 후 어떻게 변하였는지 보여드리려고 해요.

앞으로 치아교정 증례를 많이 보여드릴건데
추후에는 좀 더 과정까지 상세하게 포스팅해볼게요!

이 모습이 강남레옹치과에 처음 오셨을 때의
얼굴 옆모습입니다.
노란 점선을 심미선이라고 하는데
코 끝과 턱끝을 가상의 일직선으로 연결하고
입술이 그 선을 넘어가면 돌출입 안모를 보이죠.

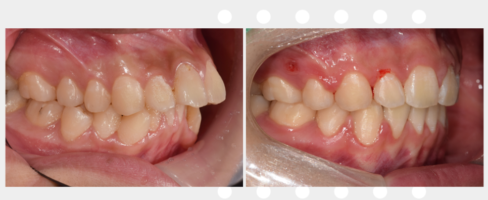
치열을 살펴보면
크게 삐뚤빼뚤 하진 않아요.
그치만 앞니에서 뻐드러짐 현상이 보입니다.
전체 치열을 뒤쪽으로 이동시키고
앞니 각도를 조절해야 되는데
무작정 할 수는 없습니다.
이 경우는 작은어금니 하나를 발치, 공간을 만들고
그 공간을 닫으면서 앞쪽의 치아들을 이동시켰어요.

교정이 모두 끝난 뒤 얼굴 옆모습을 다시 한번 촬영했더니
우선 가장 도드라지게 보였던 돌출입이 해결 되었고
치아의 뻐드러짐도 감소하였습습니다.
초진 사진에서 무턱처럼 보인 것도
돌출입이 들어가면서 훨씬 좋아진 것 같아요.
돌출입 교정 치료를 받으시는 분들은
얼굴의 변화를 많이 물어보시지만
저희 의료진이 가장 중요하게 생각하는 건 역시 기능입니다.
치열을 바꾸면서 이상적인 교합 형태로 맞추어야 되고
동시에 환자들이 원하는 얼굴의 변화까지 신경쓰죠.
그렇기 때문에 돌출입 치아 교정 진료는
꼼꼼하고 섬세하며 임상경력이 풍부한
원장님께 받으셔야 됩니다.