강남레옹치과의원
공부하는 강남레옹치과, 사랑니 치관절제술에 관한 논문 참여
안녕하세요 강남레옹치과입니다. 저희는 직원들을 위한 내부 세미나를 많이 진행하고 있지만 그만큼 원장님들도 솔선수범으로 열심히 공부하고 있기도 하죠. 그래서 내용은 다소 어려울 수 있으나 종종 저희 원장님들께서 참여하신 연구와 논문에 관하여 소개해드리려 합니다. 이미 강남레옹치과는 사랑니 발치를 잘 하기로...
아카이브 요약
이 페이지의 역할
강남레옹치과의원 | Gangnam Leon Dental Clinic | 江南レオン歯科의 네이버 블로그 원문을 보존한 아카이브 페이지입니다. 공부연구 카테고리의 공부하는 강남레옹치과, 사랑니 치관절제술에 관한 논문 참여 글을 통해 병원의 한국어 정보 제공 방식과 진료 관련 안내 톤을 확인할 수 있습니다.
안녕하세요 강남레옹치과입니다.
저희는 직원들을 위한 내부 세미나를
많이 진행하고 있지만
그만큼 원장님들도 솔선수범으로
열심히 공부하고 있기도 하죠.
그래서 내용은 다소 어려울 수 있으나
종종 저희 원장님들께서 참여하신 연구와
논문에 관하여 소개해드리려 합니다.

이미 강남레옹치과는
사랑니 발치를 잘 하기로 소문이 나 있어요.
물론 진짜 잘 뽑는 것도 사실인데
거의 TOP급의 실력자임에도 불구하고
끊임없이 사례를 연구하기 때문이 아닐까 싶어요.
오늘의 논문은 바로,
Coronectomy of Mandibular Third Molar: Four Years of Follow-Up of 130 Cases

하악 제3대구치(사랑니)의
치관절제술이라는 제목으로
130건을 4년간 추적 조사한 결과입니다.
강남레옹치과의 김영삼 원장님,
박영민 원장님이 참여하셨어요.
초록을 살펴보면,
하악 사랑니발치는 몇몇 합병증을 가질 수 있으나
어떤 경우에는 정확한 진단과
최소한의 수술로 예방이 가능함.
치관절제술은 발치를 할 때
치아 머리부분만 절단하여 뽑아낸 후
뿌리 혹은 뿌리들은 잇몸뼈 안에 그대로 두는 술식.
이 술식의 안정성을 보고한
130명의 치관절제술 환자의 데이터와
술 후 방사선 사진을 포함하고 있음.
4년이라는 평균적인 사후관리 기간이 지나도
합병증은 일어나지 않았음.
이라고 기재되어 있네요.


2000년,
영국 국립 보건 관리 우수 연구소(NICE)는
사랑니 발치 관한 지침을 발표.
NICE 지침에서는
사랑니는 부식성 병변, 뿌리끝 병변,
반복적인 사랑니주위염, 낭포/종양,
인접한 두번째 어금니 병변과 같은
병리학적인 경우에만 추출할 것을 권장.
사랑니 발치에서 가장
흔하고 심각한 합병증으로는
건성치조와, 수술 후 감염, 치조골 골절
또는 신경손상 및 하악골 골절 등이 있음.
그러므로 의도적인 치관절제술은
사랑니 뿌리를 남겨두고 치관만 분할, 제거하는
잘 확립된 술식.
아래 사랑니 발치의 위험을 줄이는데 효과적.
치관절제술에 대해 제안된 징후
a. 방사선상에서 하치조신경관과 하악 사랑니가 근접함
b. 혹은 신경관이 좁아지거나 방향이 바뀜
c. 치근단 1/3에서 신경관이 막혀 어둡게 됨
d. 설측 피질골의 가로막음
e. 충치나 치주 또는 뿌리끝 병변이 없는 생활치
논문 속 케이스 소개

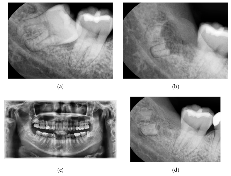
전신질환이 없는 30세 남성 환자
7년 전 이상 위치 때문에
오른쪽 하악 사랑니가 발거됨.
부분적으로 뽑힌 사랑니 주변 잇몸에
염증이 재발하는 것 외에
인접한 두 번째 어금니에 대한 통증과
과민반응을 유발(그림 a).
김영삼 원장님은 수술 전 엑스레이에서
뿌리 끝 부분에 해당하는 어두운 부위를 보고
뿌리와 피질뼈의 설측 부분 사이에
엄격한 접촉이 있음을 발견.
안전한 수술을 하기 위해
수술 전에 CBCT를 시행.
합병증을 유발할 수 있는 완전 발거 대신
치관절제술만 하기로 결정.
의도하지 않은 치관절제술의 예로서
그림 b는 10일 후, 봉합 실을 제거하는 동안
어떻게 뼈가 아물고
남아 있는 뿌리 부분이 덮어졌는지 보여줌.
그림 c는 1년 후 완전한 골 치유를 보임.
그림 d에서는 7년간의 추적 관찰 후
방사선 사진을 통해
뿌리 주변에 염정의 흔적이 없는 상태에서
뼈가 완치된 과정을 확인.
게다가 환자는 그 부위 통증이나 민감성에 대해
불평하지 않았음.
사랑니 발치 시 치아 머리부분만 분리해서 제거하는
치관절제술.
그 술식에 합병증이 없었다는 내용이었어요.
뿌리를 뼈 속에 남겨두는 것이
합병증 예방에 효과적이고
안정적인 수술이라는 것을 의미하죠~!
무조건적이고 일률적인 치료가 아니라
환자 개개인의 상태에 따라
맞춤형으로 케어를 하려 노력하는 강남레옹치과입니다.
Coronectomy of Mandibular Third Molar: Four Years of Follow-Up of 130 Cases, Medicina (2020)
더 보기
이 병원의 공개 콘텐츠를 계속 살펴보세요
출처 아카이브로 돌아가 더 많은 글을 보거나, 병원 프로필로 이동해 다른 공개 채널도 함께 비교해보세요.