아카이브 요약
이 페이지의 역할
강남레옹치과의원의 네이버 블로그 원문을 보존한 아카이브 페이지입니다. 공부연구 카테고리의 박영민 원장님의 논문! 치은이식 후 자연치아 주위 잇몸퇴축 감소에 관한 연구 글을 통해 병원의 한국어 정보 제공 방식과 진료 관련 안내 톤을 확인할 수 있습니다.
원문 검증
필요하면 원문 블로그와 병원 프로필로 바로 이동해 문맥을 다시 확인할 수 있습니다.
출처 아카이브 열기아카이브된 블로그 글
강남레옹치과의원 · Naver Blog
안녕하세요. 강남레옹치과입니다. 박영민 원장님께서 연구에 참여하셨던 논문을 리뷰해보는 시간이에요~ 퀄리티 높은 진료, 그리고 치과계 발전을 위하여 언제나 끊임없이 노력하는 강남레옹치과! 생소하고 어려울 수 있으나 정말 유익한 내용이랍니다. 치과에 오시는 분들이 단일문제를 가지고 계시지 않죠. 충치...
게시일
2021년 8월 12일
원문 기준으로 확인된 발행일입니다.
카테고리
공부연구
원문 블로그 카테고리를 정리해 함께 표시합니다.
이미지 수
4
현재 아카이브에 연결된 이미지 수입니다.
아카이브 요약
강남레옹치과의원의 네이버 블로그 원문을 보존한 아카이브 페이지입니다. 공부연구 카테고리의 박영민 원장님의 논문! 치은이식 후 자연치아 주위 잇몸퇴축 감소에 관한 연구 글을 통해 병원의 한국어 정보 제공 방식과 진료 관련 안내 톤을 확인할 수 있습니다.
원문 검증
필요하면 원문 블로그와 병원 프로필로 바로 이동해 문맥을 다시 확인할 수 있습니다.
출처 아카이브 열기안녕하세요. 강남레옹치과입니다.
박영민 원장님께서 연구에 참여하셨던 논문을
리뷰해보는 시간이에요~
퀄리티 높은 진료, 그리고 치과계 발전을 위하여
언제나 끊임없이 노력하는 강남레옹치과!
생소하고 어려울 수 있으나 정말 유익한 내용이랍니다.

치과에 오시는 분들이 단일문제를 가지고 계시지 않죠.
충치, 치주관리 등 여러가지 복합적인 케어가 필요해요.
그래서 강남레옹치과는
한가지 진료에만 집중하지 않기에
보존, 보철, 치주, 외과 등 각 분야의 전문의 원장님이 계시고
그래서 포괄 진료를 받아보실 수 있습니다.
박영민원장님께서는
이탈리아 피사 치과대학을 졸업하시고
유럽에서 심미치의학을 공부, 연구하셨어요.
점점 시대가 변할수록
외모와 미용쪽으로 니즈가 많이 생겨나고 있잖아요~
그에 발맞춰 강남레옹치과는
자연치를 건강하게 보존하는 가장 기본적인 철학에
좀 더 예쁘고, 아름다운 삶에 보탬이 되려
앞니 미용 진료에도 많은 공부를 하고 있습니다.
그래서 오늘 준비한 논문은
The Role of Keratinized Tissue to Reduce Gingival Recession around Natural Teeth
: A Case Report of Apically Repositioned Flap with Tissue Graft
after 3-Years Follow-Up
잇몸퇴축이 일어난 아래 앞니에 치은을 이식하였고
그 부분이 치유되는 양상을 3년간 체크하며 연구한 것!
초록을 살펴 보면

잇몸 퇴축은 인류에서 매우 흔하게 일어나는 현상이며
이를 해결하기 위하여 임상의는
치주질환 등과 같은 위험요소를 줄이고
올바른 치은 이식 수술을 시행해야 된다.
유지력 향상을 위한 다양한 수술기법.
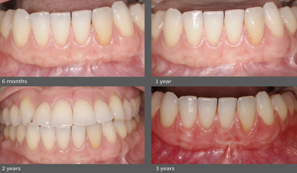
젊은 여성환자의 왼쪽아래 앞니 한 부분에 발생한 잇몸 퇴축
치은 이식이라는 외과적 술식을 거치고
3년동안 체크한 결과.
논문 속에 소개된 임상케이스

전문가 구강위생 관리 후 1주일 잇몸 퇴축 모습
이식 부위를 절개 및 플랩 생성
입천장에서 떼어낸 치은 조직을 위치시키고 봉합

수술 후 6개월 / 1년 / 2년 / 3년 후 모습
단 한건의 임상사례 범위 내에서
이 연구결과는
자연치아를 중심으로 각질화된 조직의 폭이 증가하여
접합이 적절하게 된다면
수술 후 잇몸 퇴축 예후가 더 좋다는 것을 보여주었어요.
잇몸 이식을 통해
부착 치은으로 잘 생착된다면
세월이 지나도 또다시 퇴축 없이 유지가 된다는 사실
심지어 더욱 두껍고 단단해지는 경우도
간혹 있습니다.
수술을 집도하는 의료진의 숙련도가 중요합니다.
환자의 기존 구강 환경과 전신상태,
그리고 협조도도 그만큼 영향을 끼치죠.
강남레옹치과는
외과적 수술과 치주진료에 20년 경력을 가지신
원장님께서 직접 책임을 가지고 진료하고 있어요.
또한 환자 한분 한분 맞춤형 케어를 위하여
진료 시스템을 갖추고 있으며
위생적이고 계속적인 관리를 해드리고 있습니다.
The Role of Keratinized Tissue to Reduce Gingival Recession around Natural Teeth
: A Case Report of Apically Repositioned Flap with Tissue Graft after 3-Years Follow-Up (2018)