아카이브 요약
이 페이지의 역할
강남레옹치과의원의 네이버 블로그 원문을 보존한 아카이브 페이지입니다. 공부연구 카테고리의 강남레옹치과 사랑니 발치 전문! 아프기 전에 미리 뽑아주세요! 글을 통해 병원의 한국어 정보 제공 방식과 진료 관련 안내 톤을 확인할 수 있습니다.
원문 검증
필요하면 원문 블로그와 병원 프로필로 바로 이동해 문맥을 다시 확인할 수 있습니다.
출처 아카이브 열기아카이브된 블로그 글
강남레옹치과의원 · Naver Blog
안녕하세요. 강남레옹치과입니다. 새해도 벌써 보름이나 지났어요. 시간이 참 빠르게 느껴지네요. 한겨울로 들어서면서 날씨도 점점 추워지고.. 모쪼록 건강에 유의하길 바라요! 지난 11월에 수능이 끝난 수험생분들, 이제 새로운 앞날을 기대하고 있고 또 여러가지 준비를 하고 있을 것 같아요. 특히나 외모와 관련된 콤...
게시일
2022년 1월 14일
원문 기준으로 확인된 발행일입니다.
카테고리
공부연구
원문 블로그 카테고리를 정리해 함께 표시합니다.
이미지 수
6
현재 아카이브에 연결된 이미지 수입니다.
아카이브 요약
강남레옹치과의원의 네이버 블로그 원문을 보존한 아카이브 페이지입니다. 공부연구 카테고리의 강남레옹치과 사랑니 발치 전문! 아프기 전에 미리 뽑아주세요! 글을 통해 병원의 한국어 정보 제공 방식과 진료 관련 안내 톤을 확인할 수 있습니다.
원문 검증
필요하면 원문 블로그와 병원 프로필로 바로 이동해 문맥을 다시 확인할 수 있습니다.
출처 아카이브 열기안녕하세요.
강남레옹치과입니다.
새해도 벌써 보름이나 지났어요.
시간이 참 빠르게 느껴지네요.
한겨울로 들어서면서 날씨도 점점 추워지고..
모쪼록 건강에 유의하길 바라요!

지난 11월에 수능이 끝난 수험생분들,
이제 새로운 앞날을 기대하고 있고
또 여러가지 준비를 하고 있을 것 같아요.
특히나 외모와 관련된 콤플렉스 때문에
미용 시술 등을 고민하고 있는 분들이 많습니다.
요즘은 남녀노소 불구하고 본인의 외모를 가꾸는 일이
자연스럽고 또 당연스레 여겨지니까요.
강남레옹치과에도 요즘 수험표를 들고
찾아주시는 분들이 부쩍 많아졌어요.
여러가지 상담을 다양하게 진행하는데
치아교정이나 라미네이트 같은 미용 치료가 많지만
그동안 공부하느라 의도치 않게 방치를 했던
여러가지 구강 문제를 치료하기 위한 상담도 꽤 진행하고 있어요.
그 중에 오늘은 10대 젊은 분들의
사랑니 발치 이야기를 해볼까합니다.

싱가폴에서 유학중인 10대 후반의 분이였어요.
현지 의사가 검진을 해주다가 사랑니를 발견했고,
뽑을 거면 한국 들어갔을 때
강남레옹치과로 가서 뽑으라는 말씀을 들으셨대요.
김영삼원장님은 해외 dentist들에게 강의를
정말 많이 진행하다 보니까 이런 사례도 있는 것 같습니다.
그래서 싱가폴 학교 방학 때 입국하셔서
또 발치를 위하여 일부러 찾아오셨더라구요.

엑스레이를 더 자세히 보면
나이가 어려서 그런지
사랑니도 완전히 자라지 않은 상태입니다.
근데 뽑아도 될까요??
네! 문제가 될 가능성이 있다면
발치는 빠르면 빠를수록 좋습니다!
반대쪽과 다르게 누워서 자라고 있는 거 보이시죠??
지금도 잇몸에 불편감을 주는데
앞으로도 계속 염증을 일으킬 케이스!

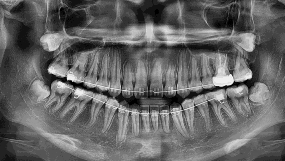
이번엔 10대 중반!
곧 고등학교에 진학을 하면
공부에 집중해야 되니
미리미리 구강문제를 해결하려고
부모님과 함께 방문을 해주셨어요.
집에서 가까운 곳에서 교정을 하고 있었는데
그 곳에서 사랑니 발치가 필요하다 하셨으며
역시나 강남레옹치과를 추천을 해주셔서 오시게 된 것!

위 경우보다 좀 더 나이가 어리다보니
확실히 뿌리도 더욱 적게 나있죠??
다 자라지 않았는데도
교정치료에 영향을 줄 수 있어서
뽑기로 결정했고,
멀리서 오신만큼 당일에 모두 진행해드렸어요.

이번엔 대학진학을 앞 둔 10대 후반의 증례!
교정이 끝나서 치열이 매우 가지런해서 보기 좋군요^^
집 근처에서 위쪽 두개는 이미 뽑은 것처럼 보여요.
그러나 아래쪽은..
보다시피 완전히 수평으로
누워있기 때문에 난이도가 높았고,
전문 의료기관을 찾을 필요가 있었던 거죠.
상악 사랑니 두개를 뽑아준 원장님이
하악은 강남레옹치과에 가서
마저 발치를 하라며 권유를 받으셨더라구요.
완전히 누워있기에 저작기능은 전혀 못하는 상황에
오히려 옆 치아에 충치를 일으킬 가능성이
현저해보여 최대한 빨리 뽑는 방향을 말씀드렸습니다.
양쪽을 당일에 한번에 뽑는 건 어렵습니다.
왜냐면 식사를 할 수 없기 때문이죠^^;;
그러나 둘다 얼른 뽑고 싶어 하셔서
2주 간격을 두고 양쪽 사랑니를 모두 발치 완료!!!
전국 뿐만 아니라
해외에서도 찾아 주시는 분들이 많아
저흰 정말 감사할 따름입니다.
저흴 신뢰해주시는 만큼 더욱 열심히 진료하겠습니다.