아카이브 요약
이 페이지의 역할
강남레옹치과의원의 네이버 블로그 원문을 보존한 아카이브 페이지입니다. 공지사항 카테고리의 즐거운 학교 생활을 위한 강남역치과 제안~! 글을 통해 병원의 한국어 정보 제공 방식과 진료 관련 안내 톤을 확인할 수 있습니다.
원문 검증
필요하면 원문 블로그와 병원 프로필로 바로 이동해 문맥을 다시 확인할 수 있습니다.
출처 아카이브 열기아카이브된 블로그 글
강남레옹치과의원 · Naver Blog
새 학기가 시작한지도 벌써 3주가 흘렀습니다. 지금즈음이면 모든 학생분들은 이제 새 친구도 사귀고 학교 생활에 차츰 적응을 해 나가고 있으시겠죠! 이렇게 환경이 바뀌고 새로운 인연을 만날 때는 무엇보다 첫 인상이 참 중요한 것 같아요. 대체로 누군가를 처음 봤을 땐 풍기는 이미지를 통해 그 상대방에 대하여 결정이 되는...
게시일
2022년 3월 23일
원문 기준으로 확인된 발행일입니다.
카테고리
공지사항
원문 블로그 카테고리를 정리해 함께 표시합니다.
이미지 수
3
현재 아카이브에 연결된 이미지 수입니다.
아카이브 요약
강남레옹치과의원의 네이버 블로그 원문을 보존한 아카이브 페이지입니다. 공지사항 카테고리의 즐거운 학교 생활을 위한 강남역치과 제안~! 글을 통해 병원의 한국어 정보 제공 방식과 진료 관련 안내 톤을 확인할 수 있습니다.
원문 검증
필요하면 원문 블로그와 병원 프로필로 바로 이동해 문맥을 다시 확인할 수 있습니다.
출처 아카이브 열기새 학기가 시작한지도 벌써 3주가 흘렀습니다.
지금즈음이면 모든 학생분들은 이제 새 친구도 사귀고
학교 생활에 차츰 적응을 해 나가고 있으시겠죠!
이렇게 환경이 바뀌고 새로운 인연을 만날 때는
무엇보다 첫 인상이 참 중요한 것 같아요.
대체로 누군가를 처음 봤을 땐 풍기는 이미지를 통해
그 상대방에 대하여 결정이 되는데요
짧은 순간이지만 꽤 많은 부분을 통해 첫 인상이 판단 됩니다.
그래서 누구나 첫인상을 결정짓는
외모의 많은 부분에 신경을 쓰는 것이 아닐까 싶어요.

학생 분들이라고 예외는 아닌데요.
즐겁고 명랑한 학교생활을 위하여
학기 초엔 조금 더 외모를 가꾸기도 하죠.
그래서 그런지 강남역치과 레옹에도 요즘
학생과 학부모님들께서 자주 방문하고 계시답니다.
치아 특히 앞니의 하얗고 가지런한 모습은
상대로 하여금 나에 대해 긍정적인 인식을 갖게 해주는
중요한 요소인 건 확실합니다.
이가 밝고 깨끗하다면
훨씬 더 활짝 웃을 수 있고
그것은 곧 자신감으로 연결이 되지요.
그래서 강남역치과에 방문하는 분들 중
젊은층 그리고 어린 학생분들도
앞니의 문제점을 체크하고 개선하고 싶어 해요.
깔끔하고 정돈된 이미지
그리고 보다 화사한 미소를 위하여
강남역치과에서 제안드리고 싶은 치료가 있는데요
바로
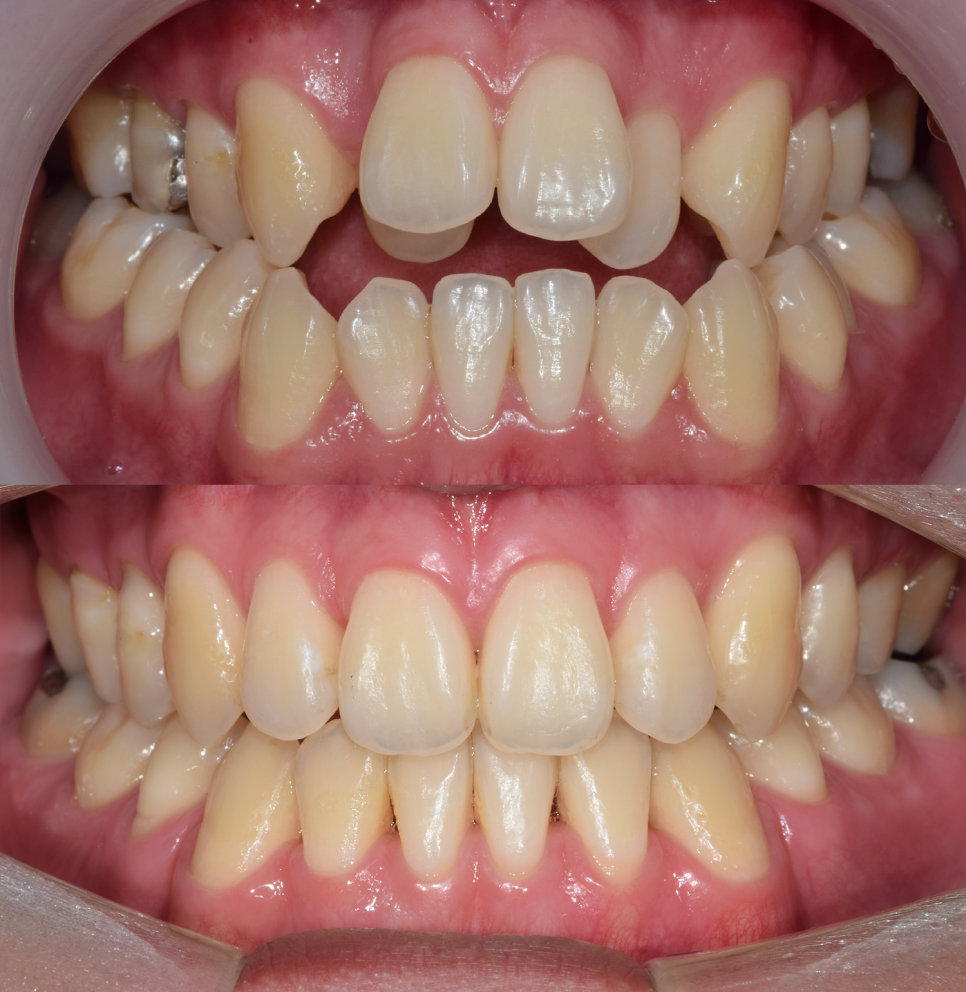
치아교정과 심미보철 그리고 충치치료 입니다.
치아교정

원래 내 치열이 완벽하게 가지런하면 얼마나 좋을까요?
그러나 정도의 차이는 있을 뿐
삐뚤빼뚤한 앞니 때문에
고민을 하는 분들이 정말 많습니다.
학교라는 공간도 아주 중요한 사회죠.
그리고 청소년기는 외모에 예민하기 때문에
이가 이렇게 고르지 못하다면
금방 자신감 하락으로 이어질 수 있어요.
과거엔 철길이라고 불릴만큼
금속 장치와 와이어로 교정을 했지만
요즘은 기술이 발달되어서 뺏다 꼇다 가능한
투명 장치도 있습니다.
강남역치과 레옹에서도
얼마든지 투명교정 진료 및 상담이 가능합니다 .
점점 까다로워지는 현대인의 니즈에 맞춰
의료 장비 및 재료들도 빠르게 발전하고 있다니
정말 희소식이 아닐 수 없어요~
심미보철

이들이 삐뚤빼뚤하게 겹쳐져 있는 부정교합은
교정으로서 개선을 해야 맞지만
앞니 형태나 색상의 문제는 보철을 이용할 수 밖에 없어요.
강남역치과 레옹에서는
자연치를 지키는 것을 가장 중요한 철학으로 생각하기에
이를 최소삭제(가능하다면 무삭제) 라미네이트를 지향합니다.
그래서 보다 건강하고 조화로운 결과를 위해
최선을 다 하고 있지요.
더 다양한 케이스는 아래 게시글을 확인해주세요~^^
강남역치과에서 알려드린
교정과 심미보철 이 외에도
충치나 잇몸치료도 미리미리 해주시면 좋습니다.
입 속 문제는 방치를 하면 할 수록 더욱 커지게 되기 때문이죠.
강남역치과 레옹의 전체 검진을 통해
개선할 점을 파악한 후
차근차근 문제를 해결해 나가는 것이
건강하고 즐거운 사회생활을 위한 길이랍니다.