강남레옹치과의원
강남레옹치과 뉴티스, 라미네이트 말고도 예쁜 앞니 되찾는 법!?
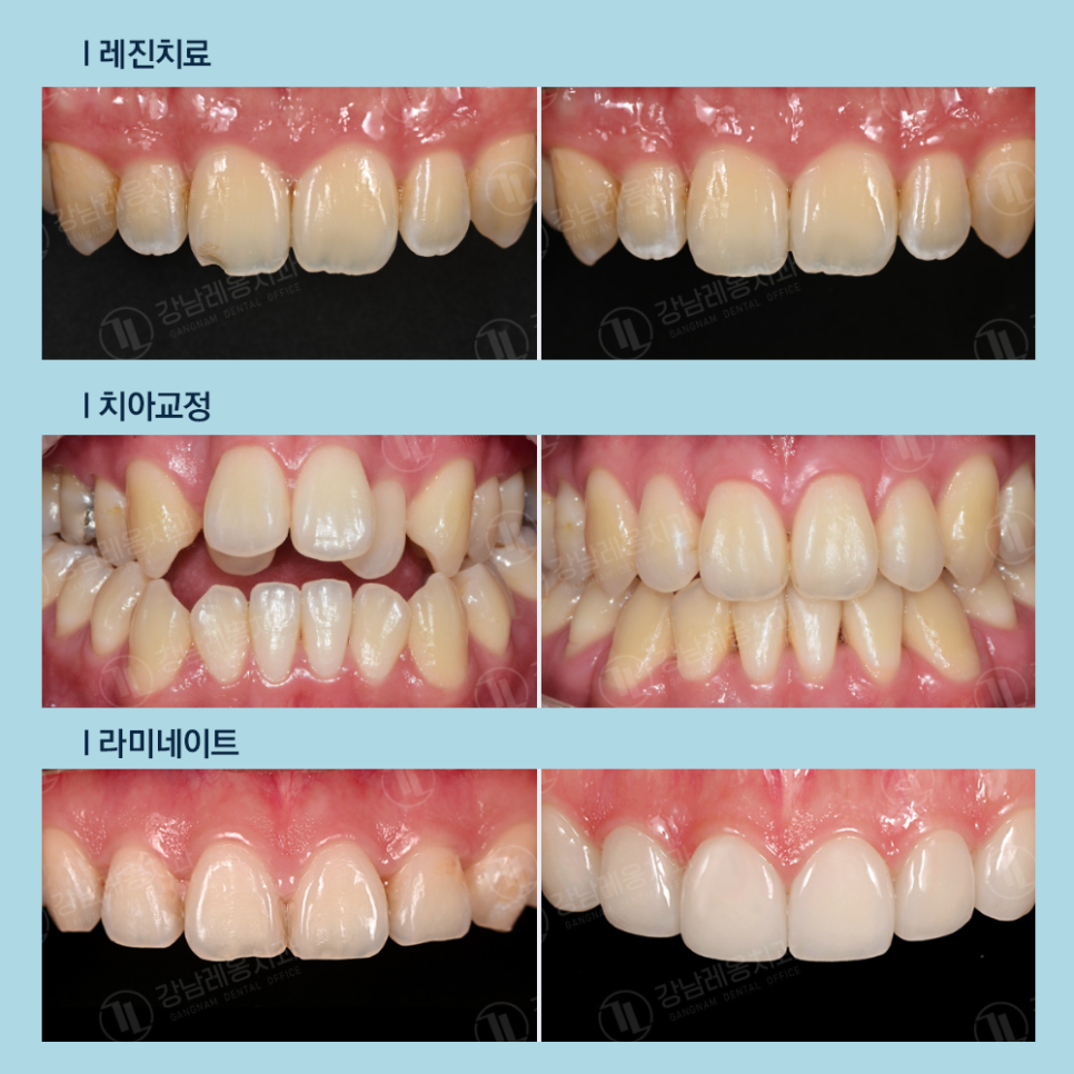
안녕하세요. 강남레옹치과입니다. 앞니는 한 사람의 이미지를 구축하는데 굉장히 큰 역할을 합니다. 요즘처럼 개인 채널 및 방송 등이 발전된 시기에는 매력 어필이 정말 중요하죠. 그렇기 때문에 치아 치료는 아무데서나 할 수 없습니다. 뉴티스 Newtis 수년간의 연구와 고민 끝에 탄생한, 강남레옹치과의 통합형 앞니 솔루션...
아카이브 요약
이 페이지의 역할
강남레옹치과의원 | Gangnam Leon Dental Clinic | 江南レオン歯科의 네이버 블로그 원문을 보존한 아카이브 페이지입니다. 건강정보 카테고리의 강남레옹치과 뉴티스, 라미네이트 말고도 예쁜 앞니 되찾는 법!? 글을 통해 병원의 한국어 정보 제공 방식과 진료 관련 안내 톤을 확인할 수 있습니다.

안녕하세요. 강남레옹치과입니다. 앞니는 한 사람의 이미지를 구축하는데 굉장히 큰 역할을 합니다. 요즘처럼 개인 채널 및 방송 등이 발전된 시기에는 매력 어필이 정말 중요하죠. 그렇기 때문에 치아 치료는 아무데서나 할 수 없습니다.
뉴티스 Newtis

수년간의 연구와 고민 끝에 탄생한, 강남레옹치과의 통합형 앞니 솔루션. 인위적이고 일률적인 보철치료가 아닌, 치아 본연의 아름다움을 되찾기 위한 개개인 맞춤형 진료입니다.
라미네이트 하면 되지 않나요?
물론 라미네이트도 경우에 따라선 유익한 진료입니다. 그러나 비교적 빠른 기간 안에 완성도가 높기 때문에 불필요한 케이스에도 무분별하게 이용되는 것이 문제겠지요. 그로 인한 라미네이트의 부작용은 온전히 환자분들의 몫입니다.
뉴티스 하세요!


고객 분들이 가지고 있는 문제는 언뜻 비슷해보여도, 그 원인과 필요, 목적 등이 제각각이기 때문에 언제나 다른 관점으로 접근해야 됩니다. 자연치아의 가치를 가장 최우선으로 생각하고 최대한 오래 보존하려는 철학이 담긴 강남레옹치과의 앞니치료. 최적의 방법을 찾아 최고의 만족감을 드리기 위한 노력을 뉴티스에 담았습니다.
실제 적용



각기 다른 치아 고민은 이제 강남레옹치과의 뉴티스와 함께 하세요.
더 보기
이 병원의 공개 콘텐츠를 계속 살펴보세요
출처 아카이브로 돌아가 더 많은 글을 보거나, 병원 프로필로 이동해 다른 공개 채널도 함께 비교해보세요.