아카이브 요약
이 페이지의 역할
강남레옹치과의원의 네이버 블로그 원문을 보존한 아카이브 페이지입니다. 공부연구 카테고리의 에나멜 손상 진단 및 치료에 사용되는 글을 통해 병원의 한국어 정보 제공 방식과 진료 관련 안내 톤을 확인할 수 있습니다.
원문 검증
필요하면 원문 블로그와 병원 프로필로 바로 이동해 문맥을 다시 확인할 수 있습니다.
출처 아카이브 열기아카이브된 블로그 글
강남레옹치과의원 · Naver Blog
안녕하세요 강남레옹치과입니다🖐️ 오늘은 강남레옹치과의 박영민 원장님이 참여하여 이탈리아 학회지에 실린 형광기술 '큐레이'와 '아이콘레진' 연구에 대해서 리뷰해보려고 합니다! 전문적인 용어가 섞여있고 학술적인 내용이라 생각되어 와닿지 않을 수 있는데 이는 현재 강남레옹치과에서 환자분들께 실제로 적용되고 있는 치...
게시일
2024년 10월 23일
원문 기준으로 확인된 발행일입니다.
카테고리
공부연구
원문 블로그 카테고리를 정리해 함께 표시합니다.
이미지 수
11
현재 아카이브에 연결된 이미지 수입니다.
아카이브 요약
강남레옹치과의원의 네이버 블로그 원문을 보존한 아카이브 페이지입니다. 공부연구 카테고리의 에나멜 손상 진단 및 치료에 사용되는 글을 통해 병원의 한국어 정보 제공 방식과 진료 관련 안내 톤을 확인할 수 있습니다.
원문 검증
필요하면 원문 블로그와 병원 프로필로 바로 이동해 문맥을 다시 확인할 수 있습니다.
출처 아카이브 열기안녕하세요 강남레옹치과입니다🖐️
오늘은 강남레옹치과의
박영민 원장님이 참여하여
이탈리아 학회지에 실린
형광기술 '큐레이'와 '아이콘레진'
연구에 대해서 리뷰해보려고 합니다!
전문적인 용어가 섞여있고
학술적인 내용이라 생각되어
와닿지 않을 수 있는데
이는 현재 강남레옹치과에서
환자분들께 실제로 적용되고 있는 치료법이며
효과적으로 치료된 케이스들도 함께 소개되니
관심을 가지고 보시면
많은 도움이 되실 겁니다!👍

앞서 말씀드린 '큐레이'란 무엇일까요?
치아 에나멜의 미네랄 함량 변화를
민감하게 평가하여
치아 손상을 진단하는 데 유용한 기술입니다.
이는 파란색 빛을 이용해
에나멜의 형광을 측정하며 형광 변화에 따라
손상의 깊이를 평가할 수 있는데요.

에나멜 손상 평가를 위해 큐레이를 사용한다는 내용
이미지와 같이
파란색 빛을 사용하여
육안이나 X-ray로 확인이 어려운
치아 우식, 치아파절, 치태, 치석 등
치아와 관련된 질환 및 문제를
정밀하게 진단할 수 있습니다.

큐레이를 통해 입 속 세균 (붉은색 형광)을 확인할 수 있다.
이러한 큐레이를 통해
실제 환자를 대상으로
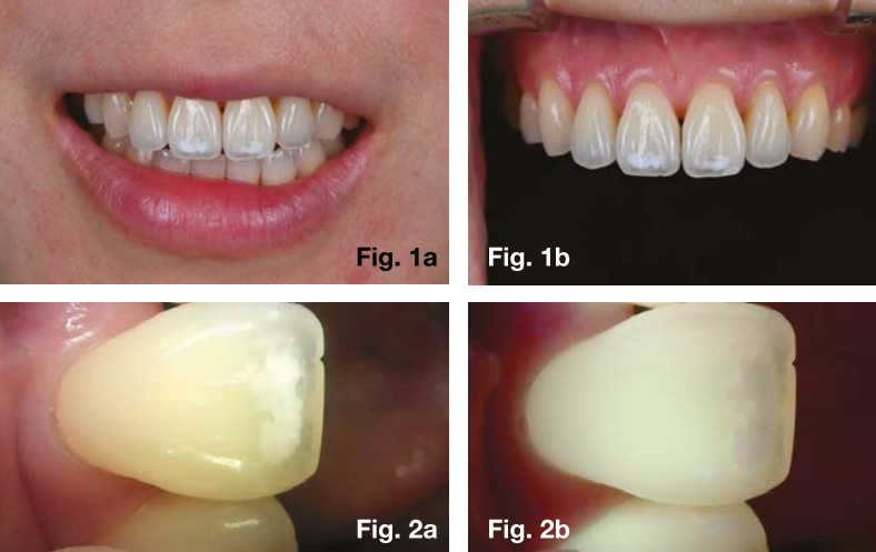
에나멜 손상을 평가하고
에나멜 손상이 있는 부위에
아이콘 레진 침투 치료를 시행하여
앞니 반점치를 효과적으로
개선한 사례를 소개하였습니다.

아이콘 레진 침투법은,
치아를 삭제하지 않고
아이콘(icon) 재료를
치아 표면으로 침투시켜 탈회된 치아를
치료하는 것을 말합니다.
보통 심미적으로 중요한 앞니는
레진과 라미네이트 치료를
많이 진행하곤 하는데
아이콘 레진 침투법은
치아삭제 없이 치아를 보존하며
비교적 단시간에
치료를 마무리할 수 있다는
장점이 있습니다.
해당 연구결과
형광 검사 기술인 '큐레이'가
에나멜 손상을 최소 침습적으로
조기 진단할 수 있으며
이를 통해 효과적인 치료 계획 수립과
모니터링에 기여한다는 것.
또한 '아이콘 레진 침투법'을 활용하여
해당 부위의 심미적 개선을
효과적으로 이룰 수 있다는 것을
보여주었습니다.
강남레옹치과는
단순히 치료만 하는 것을 넘어서
더욱 효과적이고 높은 퀄리티의 치료 방법을
찾기 위해 최선을 다하고 있습니다.
치아 손상을 최소화하기 위해
적합한 치료, 예방적 치료로
환자분들이 자연 치아를 유지하면서
구강건강을 지킬 수 있도록
도와드리겠습니다😊
강남레옹치과가
일요일 진료를 개시하였습니다!
주말진료가 가능한
강남레옹치과에 방문하여
구강건강 지키세요!😁







Previous image Next image