강남레옹치과의원
잇몸도 화이트닝이 된다? 까만 잇몸, 착색 잇몸 미백 / 강남레옹치과
안녕하세요 강남레옹치과입니다😊 강풍과 함께 비가 내리더니 눈소식이 있네요. 오랜만에 보는 눈이 반갑기도 하지만 방심했다간 감기에 걸릴 수 있으니 체온 유지를 위해 모자와 목도리,장갑 꼭꼭 잘 챙겨 입으시길 바랍니다! 오늘은 밝은 미소에 치아만큼이나 중요한 '잇몸'에 대해 얘기해보려고 합니다! 치아미백 치료는...
아카이브 요약
이 페이지의 역할
강남레옹치과의원 | Gangnam Leon Dental Clinic | 江南レオン歯科의 네이버 블로그 원문을 보존한 아카이브 페이지입니다. 건강정보 카테고리의 잇몸도 화이트닝이 된다? 까만 잇몸, 착색 잇몸 미백 / 강남레옹치과 글을 통해 병원의 한국어 정보 제공 방식과 진료 관련 안내 톤을 확인할 수 있습니다.
안녕하세요 강남레옹치과입니다😊
강풍과 함께 비가 내리더니 눈소식이 있네요.
오랜만에 보는 눈이 반갑기도 하지만
방심했다간 감기에 걸릴 수 있으니
체온 유지를 위해 모자와 목도리,장갑 꼭꼭
잘 챙겨 입으시길 바랍니다!
오늘은 밝은 미소에 치아만큼이나 중요한
'잇몸'에 대해 얘기해보려고 합니다!
치아미백 치료는 많은 분들이 알고계시고
나아가서는 자가 치아미백제를 구매해
집에서도 착색된 치아를 관리할 수 있죠.
그러나 '잇몸미백'은 생소할 수 있을 것 같습니다.
까맣고 착색된 잇몸 사례를 알아보고
그 원인과 치료방법에 대해 소개해보겠습니다!

잇몸착색의 주요 원인
잇몸이 까매지는 원인은 크게
선천적인 요인과 후천적인 요인이 있습니다.
✅선천적 요인
잇몸에도 멜라닌 세포가 있는데
이 멜라닌 세포가 태어날 때부터
다량으로 분포되어 검게 보일 수 있습니다.
✅후천적 요인
- 흡연: 인해 니코틴/타르에 노출되어
치아뿐만 아니라 잇몸도 착색될 수 있습니다.
- 자외선: 자외선에 오래 노출되어
멜라닌 세포로 인해 착색될 수 있습니다.
- 질병의 징후: 치은염/치주염이
재부적으로 진행되면서
잇몸이 검은색으로 변할 수 있습니다.
- 영양부족: 비타민C가 부족할 경우
잇몸의 생기가 사라지고 착색되어 보일 수 있습니다.

출처: 덴탈아리랑
잇몸미백 시술방법
잇몸미백은 착색된 잇몸 표피의 멜라닌 색소를 제거해
본래의 밝은 잇몸색을 되찾는 시술입니다.
시술 전 잇몸을 마취한 후
치과용 레이저나 다이아몬드 버를 사용하여 살짝 다듬습니다.


잇몸미백 시술은 위아래 각각 약 10~20분정도 소요되는
비교적 간단한 시술로 시간에 비해
효과가 드라마틱해 고민이 있으시다면
상담후 진료를 받아보시는 걸 추천드립니다.
잇몸미백 전후 사례
잇몸미백으로 선홍빛 잇몸을
되찾은 분들의 사례를 소개하겠습니다!
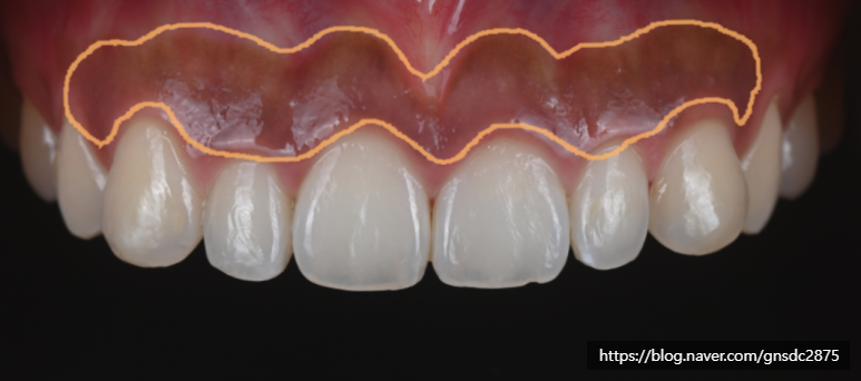
#CASE 01
미백 전 상악 잇몸이 검게 착색되어 있습니다.
위 시술방법을 통해 마취후
앞니 위에 보이는 잇몸을 얇게 제거하여
잇몸미백 치료를 진행하였습니다.


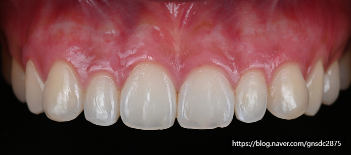
약 2주후 제거한 잇몸 위로 건강한 잇몸이
다시 생성되어 완전히 회복하였습다.
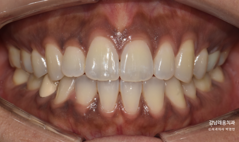
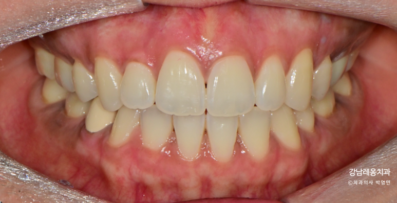
#CASE 02
다음 환자는 상하악 모두 잇몸이 착색되어
동일한 방법으로 잇몸미백을 진행하였습니다.


마찬가지로 약 2주일 뒤 점검일에 상태 확인하니
건강한 잇몸이 새로 나와
선홍빛 잇몸으로 변화되었습니다.
잇몸미백 Q&A
📌잇몸미백 많이 아픈가요?
피부과에서 레이저를 이용하여 주근깨나
점을 빼는 방식과 유사하게 진행된다고 생각하시면 됩니다.
시술 전 잇몸을 마취하여 치료시 통증을 최소화하여 진행합니다.
📌잇몸미백 여러 번 받아야 하나요?
다행히 잇몸미백은 1회만으로도 넓은 부위 제거가 가능하며
재발이 적은 편이라 한 번의 제거만으로
확연한 치료 효과를 볼 수 있습니다.
📌잇몸미백 후 바로 식사할 수 있나요?
치료 직후에 음식을 드시는 것이 가능하지만
잇몸에 상처가 남아있는 상태이기 때문에
시술 후 3-4일 정도는 지나치게 뜨겁거나 자극적인 음식은
멀리하시는 것이 좋습니다.
또한 양치질을 할 때에도 잇몸이 자극되지 않도록
너무 세게 닦지 마시고,
음주나 흡연은 상처가 다 아물때까지 삼가해야 합니다.
📌다시 잇몸색이 짙어질 수 있나요?
주근깨나 점을 빼고 난 후에도 자외선에 노출되면
다시 생기는 것과 마찬가지로 잇몸미백 또한
시술 전과 같은 생활습관으로 흡연이나 자외선에 과다하게 노출되면
색이 어두워질 수 있습니다.
특히 흡연은 검은잇몸의 원인이 될 뿐 아니라
치아나 신체건강에도 나쁜 영향을 주기 때문에 금연을 권해드립니다.
그렇다면 잇몸착색은 다른 치과치료에 비해
재발률이 낮은 편입니다.
📌잇몸미백 비용은 얼마인가요?
잇몸 미백 비용은 치과마다,
미백의 범위에 따라 비용이 다릅니다.
평균적으로 한 악당 20~40만원 정도
비용이 발생할 수 있습니다.
잇몸착색 자체가 잇몸의 기능적 문제가 있는 것은 아니기 때문에
심미적으로 위축되었을 때 치료를 고민하실 수 있습니다.
그러나 착색이 다른 문제를 나타내는 신호일 수 있습니다.
따라서 전문가에게 구강상태 검진 후
충분한 상담 후 진행하시는 게 좋으며,
만약 과도하게 잇몸을 제거하게 되면
치아에 손상이 있을 수 있고 치아가 약해질 수 있기 때문에
잇몸미백 경험이 많은 치과에 상담하여
진행하시는 걸 권유드립니다.
강남레옹치과가
일요일 진료를 개시하였습니다!
주말진료가 가능한
강남레옹치과에 방문하여
구강건강 지키세요!😁







Previous image Next image
더 보기
이 병원의 공개 콘텐츠를 계속 살펴보세요
출처 아카이브로 돌아가 더 많은 글을 보거나, 병원 프로필로 이동해 다른 공개 채널도 함께 비교해보세요.