아카이브 요약
이 페이지의 역할
강남레옹치과의원의 네이버 블로그 원문을 보존한 아카이브 페이지입니다. 건강정보 카테고리의 사랑니 발치 후 구멍, 음식물 끼임부터 회복, 관리법까지 총정리📑 / 강남레옹치과 글을 통해 병원의 한국어 정보 제공 방식과 진료 관련 안내 톤을 확인할 수 있습니다.
원문 검증
필요하면 원문 블로그와 병원 프로필로 바로 이동해 문맥을 다시 확인할 수 있습니다.
출처 아카이브 열기아카이브된 블로그 글
강남레옹치과의원 · Naver Blog
** 심의필 제 250724-중-37806호 ** 안녕하세요 강남레옹치과입니다😊 오늘은 사랑니 발치에 대해 적어보려 합니다. 사랑니 발치 후 공통적으로 하시는 질문들 중 한가지가 발치 후 생긴 빈공간, 치아가 있던 구멍에 관련해 이것저것 많이 물어보십니다. 오늘은 사랑니 발치 후 공간이 회복하는 과정과 관리...
게시일
2024년 11월 28일
원문 기준으로 확인된 발행일입니다.
카테고리
건강정보
원문 블로그 카테고리를 정리해 함께 표시합니다.
이미지 수
14
현재 아카이브에 연결된 이미지 수입니다.
아카이브 요약
강남레옹치과의원의 네이버 블로그 원문을 보존한 아카이브 페이지입니다. 건강정보 카테고리의 사랑니 발치 후 구멍, 음식물 끼임부터 회복, 관리법까지 총정리📑 / 강남레옹치과 글을 통해 병원의 한국어 정보 제공 방식과 진료 관련 안내 톤을 확인할 수 있습니다.
원문 검증
필요하면 원문 블로그와 병원 프로필로 바로 이동해 문맥을 다시 확인할 수 있습니다.
출처 아카이브 열기** 심의필 제 250724-중-37806호 **
안녕하세요 강남레옹치과입니다😊
오늘은 사랑니 발치에 대해
적어보려 합니다.
사랑니 발치 후 공통적으로 하시는 질문들 중 한가지가
발치 후 생긴 빈공간, 치아가 있던 구멍에 관련해
이것저것 많이 물어보십니다.
오늘은 사랑니 발치 후 공간이 회복하는 과정과
관리 방법에 대해 알아보겠습니다!

사랑니 발치 후 구멍
우선 사랑니를 발치하게 되면
거즈를 발치 부위에 꽉 물려 2시간동안
지혈을 할 수 있도록 합니다.
거즈를 빼고 나서는 자극적이지 않은
음식으로 식사를 한 후
처방해드린 약을 드시게 됩니다.
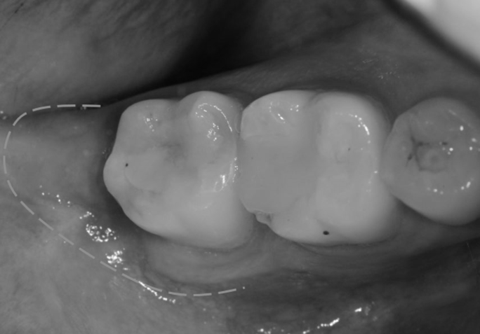
이때 발치 부위를 보면 빈공간이 있는데
발치 후 생기는 구멍, 즉 '발치와'는
자연스러운 회복 과정의 일부입니다.
이 구멍은 치아가 발치되어
생기는 공간으로
자연적으로 치유되기까지 시간이 필요합니다.

발치 후 구멍
사랑니 발치 후 피덩이(혈병)
많은 분들이 빈공간 안에 있는
피딱지, 피덩이를 보고 떼어내야 하나 생각하십니다.
그러나 이 피덩이 또한 회복하는 과정 중
발치 후 초기에 자연스럽게 형성되는 혈병(혈전)으로,
출혈을 막고 상처를 보호하는 역할을 합니다.

피덩이(혈병)이 표시되어 있다.
따라서 시간이 지남에 따라
주변 잇몸과 뼈 조직이 재생되며 점차 메워지게끔
주의사항을 잘 지키며
회복하여 주시는 게 좋습니다.
사랑니 발치 후 구멍 회복
사랑니 발치 후 치유되는 기간은 매복되어 있는 정도
연령에 따라 차이가 있을 수 있습니다.
2~3일 동안은 미세한 출혈이 생길 수 있으며
입에서 비릿한 피 맛이 느껴질 수 있으며
이는 자연스러운 현상입니다만,
거즈를 물고 있어야할 정도로
피가 계속 멈추지 않는다면 치과로 문의를 주셔야합니다.
발치 공간은 단기간에 메꿔지지 않기 때문에
시간을 여유롭게 가지면서 관리를 잘 해주셔야 합니다.


발치 일주일 후 (실밥제거)

발치 후 생길 수 있는 문제
발치 후 식사를 할 때
위생관리로 인해 문제가 생길 수 있습니다.
✅음식물 끼임
발치 후 구멍은 깊고 넓은 경우가 많아
음식물이 쉽게 끼일 수 있습니다.
음식물이 구멍에 남아 세균이 증식하면
염증이나 통증을 유발할 가능성이 있습니다.
발치 후 구멍 관리법
위와 같은 문제를 예방하기 위해
다음과 같이 관리를 해주시는 게 좋습니다.
✅세척과 위생 관리 (양치법/가글)
잇솔질은 평소처럼 하시되
뽑은 곳은 조심해서 양치하며
발치부위에 음식물이 끼지 않도록
물로 자주 가볍게 헹궈주시는 게 좋습니다.
만약 음식물이 구멍에 끼어
물로도 빠지지 않는다면
치과에 방문하여 소독과 함께 빼내는 것이 좋습니다.
✅부드러운 음식 선택 (음주/흡연❌)
사랑니 발치 후 식사는
죽, 스프 등 부드러운 음식 위주로 섭취하며
단단하거나 끈적이는 음식은 피하고
술, 담배는 일주일동안은 삼가하기를 권합니다.
✅처방약 꾸준히 복용
통증이 어느정도 사라졌다고 해도
처방해드린 약은 빠짐없이 복용하는 것이 좋습니다.
✅일주일 후 치과검진 (상태확인)
발치 후 약 일주일 후에는
발치 부위 상태를 확인하기 위해
꼭 치과에 다시 방문하여야 합니다.
실밥이 있다면 실밥을 제거하고
소독을 진행합니다.


부드러운 음식 선택 / 가볍게 입 안 헹구기
사랑니 발치 후 남은 구멍은
자연적인 치유 과정을 통해 시간이 지나면 메워집니다.
그러나 음식물 끼임이나 염증 같은 문제는
올바른 관리로 문제를 예방하는 것이 중요합니다.
발치 후 안내드린 주의사항에 맞게 관리하고
이상 증상이 있다면 즉시 상담을 받으셔야 합니다.
강남레옹치과가
일요일 진료를 개시하였습니다!
주말진료가 가능한
강남레옹치과에 방문하여
구강건강 지키세요!😁






Previous image Next image