강남레옹치과의원
치아가 작아서 콤플렉스? 왜소치 개선 전후 사례👐 / 강남레옹치과
안녕하세요 강남레옹치과입니다😊 이틀동안 펑펑 내려 잔뜩 쌓였던 눈이 기온이 주춤하는 사이에 많이 녹았습니다. 이번주 비소식이 있으니 다들 우산 잘 챙기시고 감기 조심하시길 바랍니다! 이전에 정상치아 갯수를 초과한 치아, 과잉치에 대해 소개했었는데요. 오늘은 정상치아 크기보다 작은 왜소치에 대해 얘기해보려 합니다!...
아카이브 요약
이 페이지의 역할
강남레옹치과의원 | Gangnam Leon Dental Clinic | 江南レオン歯科의 네이버 블로그 원문을 보존한 아카이브 페이지입니다. 건강정보 카테고리의 치아가 작아서 콤플렉스? 왜소치 개선 전후 사례👐 / 강남레옹치과 글을 통해 병원의 한국어 정보 제공 방식과 진료 관련 안내 톤을 확인할 수 있습니다.
안녕하세요 강남레옹치과입니다😊
이틀동안 펑펑 내려 잔뜩 쌓였던 눈이
기온이 주춤하는 사이에 많이 녹았습니다.
이번주 비소식이 있으니
다들 우산 잘 챙기시고 감기 조심하시길 바랍니다!
이전에 정상치아 갯수를 초과한 치아,
과잉치에 대해 소개했었는데요.
오늘은 정상치아 크기보다 작은
왜소치에 대해 얘기해보려 합니다!

왜소치와 원인
왜소치는 치아가 비정상적으로 작아
심미적으로도 기능적으로도 문제가 되는 경우를 말합니다.
치과에서는 치아 크기와 비율을 기준으로 왜소치를 진단하며
보통 앞니 또는 송곳니에서 많이 발견됩니다.
그렇다면 왜소치는 왜 생길까요?
왜소치는 유전적 요인 또는 환경적 요인으로 인해
치아가 정상 크기에 비해 작게 발달하여 발생합니다.
✅유전적 요인
선천적인 경우가 대부분입니다.
✅환경적 요인
성장기 동안 영양 부족이나
특정 질환의 영향으로 발생할 수 있습니다.
혹은 산성 음식, 딱딱하고 질긴 음식을
자주 섭취하고 노화로 인해 마모되면서
발생하기도 합니다.

왜소치로 인한 문제
주변치아보다 크기가 현저히 차이나기 때문에
치아가 벌어져 보이거나 비어보여
보기에도 안 좋지만
위아래 크기와 위치의 균형이 무너져
기능적인 측면에서도 문제가 발생할 수 있습니다.
✅저작기능 이상
치아가 정상치아보다 작다보니
저작기능이 떨어질 수 있습니다.
✅충치&잇몸질환
치아 사이에 공간이 생기면서
음식물이 자주 끼게 되고
충치나 잇몸질환이 생길 확률이 높아집니다.
왜소치 무삭제 뉴티스라미
왜소치는 원래 가져야할 크기를 갖지 못했기 때문에
무삭제로 진행하기에 좋은 케이스입니다.
무삭제 뉴티스라미로
왜소치를 개선한 케이스들을
소개하겠습니다.
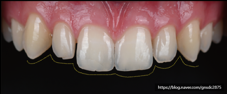
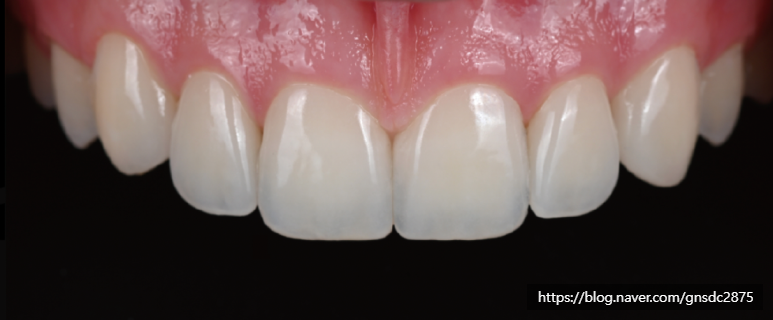
#CASE 01
앞니 양쪽의 왜소치로 인해
전체 크기와 형태의 균형이 맞지 않아
뉴티스라미로 개선한 사례입니다.
해당 환자분은 송곳니의 색깔도
주변치와 차이가 많이 나
송곳니도 함께 진행하였습니다.



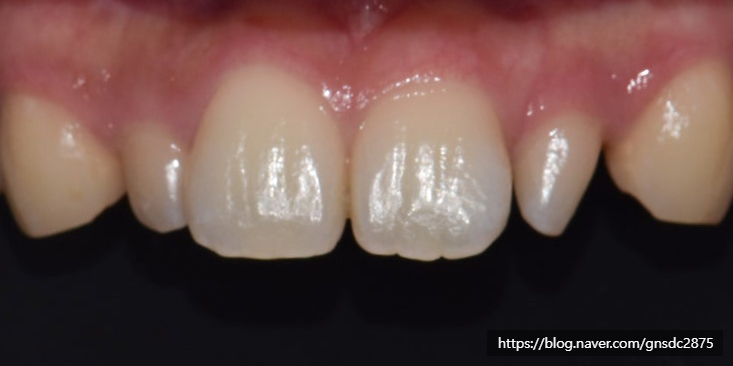
#CASE 02
마찬가지로 앞니 양쪽의 왜소치를
무삭제 뉴티스라미로 개선한 사례입니다.


왜소치는 심미적 콤플렉스를 유발할 수 있지만
적절한 치료로 충분히 개선이 가능합니다.
특히, 무삭제 뉴티스라미로
많은 환자분들이 효과적으로 고민을 해결하시고
만족해하셨습니다.
왜소치 관련하여 다른 궁금한 점이 있으시다면
언제든 강남레옹치과에 문의해주세요.
친절하게 답변해드리겠습니다🥰
강남레옹치과가
일요일 진료를 개시하였습니다!
주말진료가 가능한
강남레옹치과에 방문하여
구강건강 지키세요!😁







Previous image Next image
더 보기
이 병원의 공개 콘텐츠를 계속 살펴보세요
출처 아카이브로 돌아가 더 많은 글을 보거나, 병원 프로필로 이동해 다른 공개 채널도 함께 비교해보세요.