아카이브 요약
이 페이지의 역할
강남레옹치과의원의 네이버 블로그 원문을 보존한 아카이브 페이지입니다. 건강정보 카테고리의 치과의사가 직접 경험한 인비절라인 특징과 진행과정👨‍⚕️ / 강남레옹치과 글을 통해 병원의 한국어 정보 제공 방식과 진료 관련 안내 톤을 확인할 수 있습니다.
원문 검증
필요하면 원문 블로그와 병원 프로필로 바로 이동해 문맥을 다시 확인할 수 있습니다.
출처 아카이브 열기아카이브된 블로그 글
강남레옹치과의원 · Naver Blog
안녕하세요 강남레옹치과입니다😊 오늘은 교정 중에서도 투명교정으로 유명한 인비절라인에 대해 얘기해보려 하는데요. 직접 인비절라인을 진행한 강남레옹치과의 박영민 원장님의 케이스를 바탕으로 인비절라인의 장점과 진행과정, 기간과 비용에 대해 알아보겠습니다! 투명교정, 인비절라인 인비절라인은 기존의 전통적 교정방식...
게시일
2024년 12월 16일
원문 기준으로 확인된 발행일입니다.
카테고리
건강정보
원문 블로그 카테고리를 정리해 함께 표시합니다.
이미지 수
14
현재 아카이브에 연결된 이미지 수입니다.
아카이브 요약
강남레옹치과의원의 네이버 블로그 원문을 보존한 아카이브 페이지입니다. 건강정보 카테고리의 치과의사가 직접 경험한 인비절라인 특징과 진행과정👨‍⚕️ / 강남레옹치과 글을 통해 병원의 한국어 정보 제공 방식과 진료 관련 안내 톤을 확인할 수 있습니다.
원문 검증
필요하면 원문 블로그와 병원 프로필로 바로 이동해 문맥을 다시 확인할 수 있습니다.
출처 아카이브 열기안녕하세요 강남레옹치과입니다😊
오늘은 교정 중에서도
투명교정으로 유명한
인비절라인에 대해 얘기해보려 하는데요.
직접 인비절라인을 진행한
강남레옹치과의 박영민 원장님의 케이스를 바탕으로
인비절라인의 장점과 진행과정,
기간과 비용에 대해 알아보겠습니다!

투명교정, 인비절라인
인비절라인은 기존의 전통적 교정방식의 심미적 단점과
구강관리의 어려움을 개선한 교정장치로,
투명 플라스틱 소재로 제작되어
치아를 이동시키는 방식의 교정 치료법입니다.
이 장치는 환자의 치아 상태를 3D 스캔하여
맞춤형으로 제작되며,
단계별로 교체하며 치아를 점진적으로 이동시킵니다.
인비절라인의 특장점
인비절라인의 장점은 앞서 설명했듯이
투명 플라스틱으로 제작되어
기존 전통식 교정방식의 심미적 단점을
극복했다는 것인데요.
그 외에도 다음과 같은 특장점이 있습니다.
✅환자 맞춤 제작
각 시기에 맞게 환자의 구강상태에 맞게
맞춤제작이 들어가며,
본사에서 직접 제작 후
보내주는 시스템이기 때문에
비용이 비교적 높습니다.
(인비절라인 교정 기간 동안
착용할 모든 장치가
한 번에 다 제작되어 나옵니다.)
✅심미성
브라켓 교정과 달리
특수 강화 프라스틱으로 제작되어
착용 시 눈에 거의 보이지 않아
심미적으로 뛰어납니다.
✅편리성 (탈착가능)
치료 도중에도 장치를 자유롭게 뺐다 끼울 수 있어
일상생활에 불편함이 적고 관리도 쉽습니다.
다만, 착용했을 때만 교정의 힘을 받기 때문에
계속 빼놓는다면 교정 기간이 길어질 수 있습니다.
✅특정 교정 케이스의 제한
복잡한 교정이 필요한 경우에는
적용이 어려울 수 있습니다.

인비절라인 진행 과정
인비절라인은 교정 과정은
크게 아래와 같은 단계를 거치게 됩니다.
초기 상담 및 진단
▼
3D 스캔을 통한
맞춤형 장치 설계
▼
맞춤교정장치 착용
및 교체
▼
정기적인 교정 과정
모니터링
▼
교정완료
1️⃣
세부적으로는 설명하자면
초기 상담 진행시 구강검사를 통해
환자의 구강상태와 진행요구 방향을 고려하여
치료계획을 세우고,
2️⃣
3D 스캔을 통한 맞춤형 장치 설계 후
본사의 2~4주 기간의 제작기간을 걸쳐
완성본이 치과에 도착하게 되면
3️⃣
환자분이 장치를 착용하게 되고
이후 일반적으로 1~2주 간격으로
새로운 장치로 교체합니다.
4️⃣
6~8주마다 치과를 방문하여
진행 상태를 모니터링하고
필요시 치료계획을 조정합니다.


검진과 착용
인비절라인 교정 기간은?
각각의 장치들이 단계별로 제작이 되는데
제작되는 장치를 보통 1~2주 정도 착용하게 됩니다.
장치의 개수에 따라 기간이 상이합니다.
장치의 개수는 개인의 치아 상태와
교정이 필요한 정도에 따라 달라지며
치아 이동 속도에 따라 장치를 짧게 착용하기도
길게 착용하기도 하기 때문에
기간은 어디까지나 개개인별로 다르게 진행됩니다.
치과의사가 직접 경험한
인비절라인 전후
강남레옹치과 박영민원장님이
직접 진행한 인비절라인 사례입니다.
약 1년 3개월간 진행하였습니다.
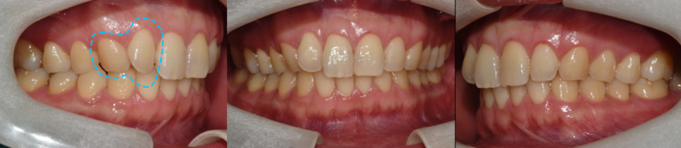
앞니가 유독 틀어져있던 전 치아내부 사진입니다.
육안으로 보이는 부분은
크게 문제점이 없어보이지만
전후로 함께 보면 그 차이가 눈에 띕니다.

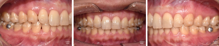
인비절라인 전

인비절라인 후
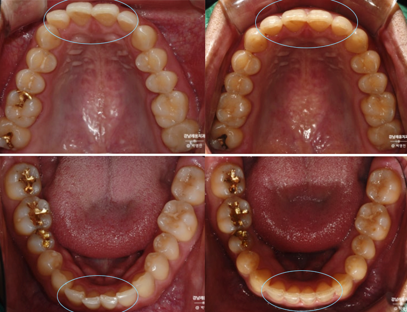
탑뷰로 보면 틀어져있던 치아가
전체적으로 바르게 제자리를
찾은 것이 보입니다.

인비절라인 전(왼쪽) / 후(오른쪽)
더 자세한 진행 과정은
아래 링크를 통해 확인하실 수 있습니다.
https://blog.naver.com/snudds1810/222307535267
인비절라인 비용은?
인비절라인 장치 가격은 앞서 나왔듯이
맞춤별로 진행되어 해외 본사에서
제작되어 들어오는 시스템으로
기존 교정장치보다는 평균적으로
가격이 높다고 생각하시면 됩니다.
인비절라인의 특장점과 본인의 예산, 상황을 고려하여
교정과 전문의가 있는 치과에서
직접 상담하여 진행하시는 걸 추천드립니다.
강남레옹치과가
일요일 진료를 개시하였습니다!
주말진료가 가능한
강남레옹치과에 방문하여
구강건강 지키세요!😁







Previous image Next image