아카이브 요약
이 페이지의 역할
강남레옹치과의원의 네이버 블로그 원문을 보존한 아카이브 페이지입니다. 건강정보 카테고리의 사랑니 통증, 약 먹으며 방치하면 안되는 이유! 실제 방치 사례🔍 / 강남레옹치과 글을 통해 병원의 한국어 정보 제공 방식과 진료 관련 안내 톤을 확인할 수 있습니다.
원문 검증
필요하면 원문 블로그와 병원 프로필로 바로 이동해 문맥을 다시 확인할 수 있습니다.
출처 아카이브 열기아카이브된 블로그 글
강남레옹치과의원 · Naver Blog
안녕하세요 강남레옹치과입니다😊 설연휴 잘 보내셨나요! 쉬는 날은 어쩜 이리 쏜살같이 지나갈까요😢 이번주 강추위가 지속되고 있는데 꽝꽝 얼은 빙판길 조심하시구 감기 걸리지 않도록 몸관리 잘하시길 바랍니다. 오늘은 사랑니 통증에 대해 적어보려 합니다. 사랑니 발치 전 별다른 증상없이 무탈하게 발치를 진행하기도 하지...
게시일
2025년 2월 6일
원문 기준으로 확인된 발행일입니다.
카테고리
건강정보
원문 블로그 카테고리를 정리해 함께 표시합니다.
이미지 수
15
현재 아카이브에 연결된 이미지 수입니다.
아카이브 요약
강남레옹치과의원의 네이버 블로그 원문을 보존한 아카이브 페이지입니다. 건강정보 카테고리의 사랑니 통증, 약 먹으며 방치하면 안되는 이유! 실제 방치 사례🔍 / 강남레옹치과 글을 통해 병원의 한국어 정보 제공 방식과 진료 관련 안내 톤을 확인할 수 있습니다.
원문 검증
필요하면 원문 블로그와 병원 프로필로 바로 이동해 문맥을 다시 확인할 수 있습니다.
출처 아카이브 열기안녕하세요 강남레옹치과입니다😊
설연휴 잘 보내셨나요!
쉬는 날은 어쩜 이리 쏜살같이 지나갈까요😢
이번주 강추위가 지속되고 있는데
꽝꽝 얼은 빙판길 조심하시구
감기 걸리지 않도록 몸관리 잘하시길 바랍니다.
오늘은 사랑니 통증에 대해 적어보려 합니다.
사랑니 발치 전 별다른 증상없이
무탈하게 발치를 진행하기도 하지만
사랑니에 신경쓰지 않다가
통증이 생겨 내원 후 발치하거나
통증을 방치하다 뒤늦게 염증을 발견하고
발치 후 후속처치까지
진행하는 경우가 많습니다.
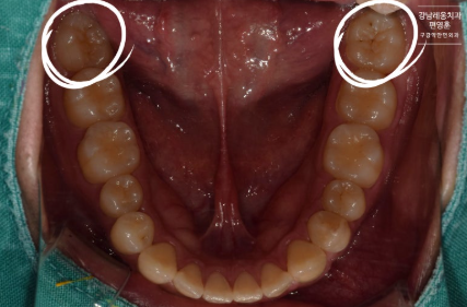
사랑니, 왜 이렇게 아플까요?

사랑니 통증, 이유는?
사랑니의 경우 대부분
입안의 충분한 공간이 확보되지 않은 상태로 맹출되기 때문에
통증과 염증을 유발하기 쉽습니다.
사랑니에서 통증이 느껴진다면
다음과 같은 이유때문일 수 있습니다.
✅비정상적으로 맹출
올바른 방향이 아닌 삐뚤어 맹출되거나
누워서 자라나는 경우 통증이 생깁니다.
✅부분 맹출
사랑니가 잇몸을 뚫고 자라다가
주변 치아와 잇몸 때문에 멈추며
주변에 자극을 주어 통증이 생깁니다.
✅사랑니 주변 염증
비정상적으로 맹출되거나
부분맹출로 인해 주변 잇몸에
염증이 생기는 경우 잇몸이 붓고
통증이 생길 수 있습니다.
✅충치 및 감염
입안 가장 안 쪽에 위치하여
칫솔질이 잘 되지 않아
충치가 생기기 쉽고
감염으로 이어져 통증이 생길 수 있습니다.
✅턱뼈압박
사랑니가 나면서 주변치나
턱뼈를 밀어내어
통증이 생길 수 있습니다.

사랑니 통증을 방치한다면?
이러한 통증을 무시한 채
약을 먹으며 참고 방치한다면
어떻게 될까요?
✅심각한 잇몸염증 (치주염)
사랑니 주변의 염증이 심화되어
고름이 차거나 심한 통증이 동반되며
이 상태가 지속되면
잇몸뼈까지 감염될 수 있습니다.
✅주변치 손상
사랑니가 주변치를 누르거나 압박하여
주변치의 뿌리와 잇몸뼈를 녹일 수 있습니다.
✅치아배열 변화
사랑니가 주변 치아를 밀어내면서
치아 배열이 틀어지고
심한 경우 치아 교정이 필요할 수도 있어요.

치주염 발생
사랑니 언제 뽑아야 할까요?
그럼 사랑니는 무조건 뽑아야 할까요?
아니요!
정상적으로 잘 자라고
관리가 잘 된다면 굳이 뽑을 필요가 없어요.


바르게 난 사랑니
하지만 다음과 같은 경우라면
통증이 생기기 전에 미리 발치하여
위에 설명한 증상들을 예방할 수 있어요!
✅매복 사랑니
엑스레이 검사에서 사랑니가 똑바로 나오지 않고
매복되어 있다면 발치를 추천합니다.
매복된 사랑니는 시간이 지나면서
염증을 일으킬 가능성이 높아요.
✅치아 배열을 방해
사랑니가 자라면서 옆 치아를 밀거나
틀어지게 할 위험이 있다면
미리 발치를 고려하는 것이 좋아요.
✅사랑니 주변 염증/낭종
치과 검진에서 사랑니 주변에 낭종(물혹)이나
염증이 발견되면 즉시 치료해야 합니다.
✅사랑니 충치
사랑니에 충치가 생긴경우
사랑이 위치상 관리 잘 되고 있지 않은 것이므로
발치하시는 것이 좋습니다.
사랑니 통증 방치 사례
다음은 실제 사랑니 통증을 방치하다
뒤늦게 발치를 진행한 사례입니다.
#CASE
사랑니 통증 방치 후
잇몸뼈 소실
해당 환자분은 사랑니쪽의
지속적인 통증을 느껴오셨으나
일이 바빠 약을 먹으며 버티시다
극심한 통증으로
뒤늦게 발치를 진행한 케이스입니다.
상태를 확인해보자
방치된 사랑니 주변 염증으로
옆 어금니의 잇몸뼈가 소실되어
뿌리가 지탱하지 못해 흔들리는 상태였습니다.

빨간색:사랑니 / 파란색:어금니 / 빨간선:소실된 잇몸

겉으로 보기엔 초기충치 정도만 진행되어
신경치료를 진행해 최대한 살리고 싶었지만
사랑니와 함께 옆어금니도 함께 발치하여
어금니는 뼈이식 후 임플란트를 하기로 결정했습니다.
사랑니 통증이 생기기 전
상태를 확인하고 발치 계획을 세우는 것은
사실 주기적인 검진이 동반되어야
가능한 것입니다.
6개월의 한 번씩 정기검진을 받되
그것이 힘들다면 1년에 한번씩이라도
연 1회 스케일링 보험혜택을 받으러
치과에 내원할때
검진도 함께 진행하시는 게 어떨까요?

사랑니 발치에 대해 궁금한 점이 있으시면
문의해주세요!
친절하게 답변해드릴게요😀
강남레옹치과가
일요일 진료를 개시하였습니다!
주말진료가 가능한
강남레옹치과에 방문하여
구강건강 지키세요!😁







Previous image Next image