강남레옹치과의원
뉴티스 반점치 치료✨ 최다 임상적용, 반점치 제거 아이콘레진 / 강남레옹치과
안녕하세요 강남레옹치과입니다😊 오늘은 강남레옹치과의 심미치료시스템, 통합앞니치료 뉴티스의 반점치 치료에 대해 얘기해보려 합니다! 뉴티스 반점치 치료 여태껏 정말 많은 환자분들이 뉴티스 반점치 치료를 위해 방문해주셨는데요. 대부분의 경우 앞니나 송곳니 등 육안으로 보이는 치아가 치아탈회로 인해 하얗게 얼룩져 입...
아카이브 요약
이 페이지의 역할
강남레옹치과의원 | Gangnam Leon Dental Clinic | 江南レオン歯科의 네이버 블로그 원문을 보존한 아카이브 페이지입니다. 건강정보 카테고리의 뉴티스 반점치 치료✨ 최다 임상적용, 반점치 제거 아이콘레진 / 강남레옹치과 글을 통해 병원의 한국어 정보 제공 방식과 진료 관련 안내 톤을 확인할 수 있습니다.
안녕하세요 강남레옹치과입니다😊
오늘은 강남레옹치과의 심미치료시스템,
통합앞니치료 뉴티스의
반점치 치료에 대해 얘기해보려 합니다!

뉴티스 반점치 치료
여태껏 정말 많은 환자분들이
뉴티스 반점치 치료를 위해 방문해주셨는데요.
대부분의 경우 앞니나 송곳니 등
육안으로 보이는 치아가 치아탈회로 인해
하얗게 얼룩져 입을 벌릴 때마다
신경이 쓰여 내원해주셨습니다.
이 하얀얼룩은 다양한 이유로 생길 수 있는데요.
단순 탈회로 인한 경우 뉴티스 반점치치료로
삭제와 통증없이 당일 하루만에 제거할 수 있습니다.
뉴티스 반점치 치료는
독일 제품인 아이콘레진이라는 약제를
해당부위에 침투시켜
비침습적인 방법으로 치료를 진행합니다.

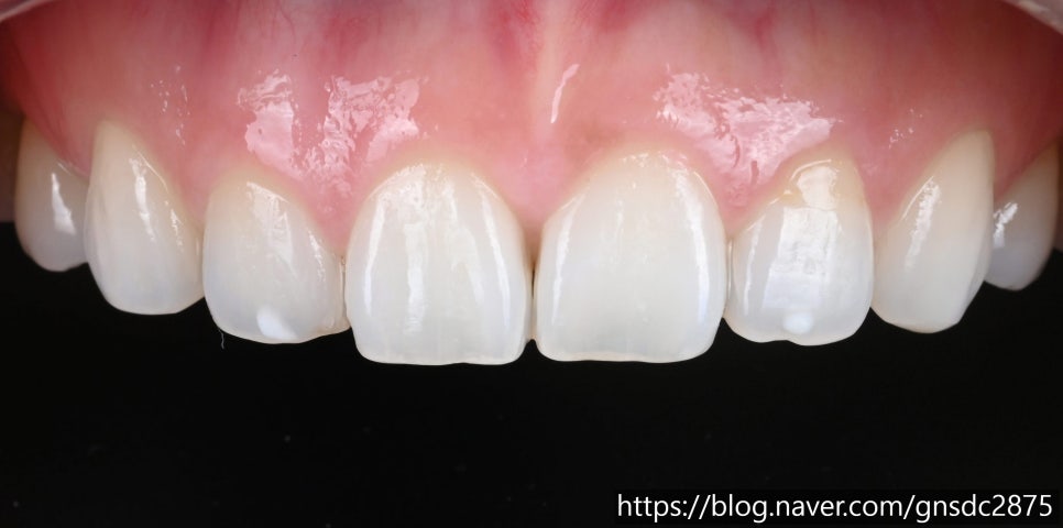
치료전 (앞니 양쪽 치아표면의 하얀얼룩)

아이콘레진 침투
큐레이(Qray) 정밀분석
뉴티스 반점치 치료의 특별한 점은
큐레이 기술을 활용한다는 점입니다.
큐레이는 인체에 무해한 푸른색 가시광선을 입 안에 비추어
병증을 진단검사하는 신의료기술입니다.
시각적 효과가 뛰어나 육안이나 X-ray로 확인이 어려운
치아 우식, 치아파절, 치태, 치석 등
치아와 관련된 질환 및 문제를 정밀하게 진단할 수 있습니다.
이는 초기충치 단계인 반점치의
우식정도와 그 외 상태를 파악하여
치료계획을 면밀히 세우고
더 효과적인 결과를 만들 수 있어요.


치아 삭제 없이 당일치료로 완료
불과 몇년 전만 하더라도
반점치 치료를 하기위해
해당 부위를 깎아내고 레진으로 메우곤 했었어요.
그러나 뉴티스 반점치 치료는
큐레이를 통해 치료 부위를 정확하게 특정하고
삭제없이 아이콘레진을 도포 및 침투시켜
치아 손상없이 개선할 수 있습니다.
그래서 통증도 없고 마취도 필요하지 않아요.
검진을 제외하고 빠르면 10분내외로
당일치료가 마무리됩니다.

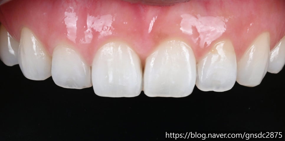
뉴티스 반점치 치료 후
▼뉴티스 반점치 치료 영상보기▼
반점치 치료는
강남레옹치과 뉴티스
반점치가 확인 될 경우
뉴티스 반점치 치료가 가능한지
박영민 원장님 검진 후 치료가 진행하게 됩니다.
박영민 원장님은
국내외로 뉴티스 솔루션의 앞니치료 강의를
주최 혹은 초청받아 진행하고 있으며
현업의 많은 치과의사분들도 수강하여
그 실력을 인정받고 있습니다.
▼박영민 원장님 뉴티스 앞니치료 강의 스케치▼
오늘은 강남레옹치과의 통합앞니치료
뉴티스 솔루션의 하나인
뉴티스 반점치 치료에 대해 알아보았습니다.
당일 빠르고 간단하게 마무리 되면서
결과도 드라마틱한 뉴티스 반점치 치료.
궁금한 점 있으시면
언제든 댓글로 문의해주세요!
강남레옹치과
앞니통합치료, 뉴티스
반점치 치료부터 잇몸이식, 치아성형,
잇몸성형, 치아미백, 잇몸미백,
앞니 레진치료, 치아교정, 뉴티스라미를
다루고 있는 앞니통합치료입니다.








Previous image Next image
더 보기
이 병원의 공개 콘텐츠를 계속 살펴보세요
출처 아카이브로 돌아가 더 많은 글을 보거나, 병원 프로필로 이동해 다른 공개 채널도 함께 비교해보세요.