강남레옹치과의원
커피·담배치아 착색! 에어플로우로 제거⚡ / 강남레옹치과
안녕하세요 강남레옹치과입니다😊 오늘도 식사 후 커피, 담배 하셨나요? 커피/담배/와인 등 색소가 강한 음식이나 기호심품들로 인한 착색은 일반적인 스케일링과 양치질로는 착색 제거가 잘 되지 않는다는 거 알고 계셨나요? 오늘은 착색제거에 도움을 주는 에어플로우에 대해 알아보겠습니다. 습관이 남긴 흔적, 치아착...
아카이브 요약
이 페이지의 역할
강남레옹치과의원 | Gangnam Leon Dental Clinic | 江南レオン歯科의 네이버 블로그 원문을 보존한 아카이브 페이지입니다. 건강정보 카테고리의 커피·담배치아 착색! 에어플로우로 제거⚡ / 강남레옹치과 글을 통해 병원의 한국어 정보 제공 방식과 진료 관련 안내 톤을 확인할 수 있습니다.
안녕하세요 강남레옹치과입니다😊
오늘도 식사 후 커피, 담배 하셨나요?
커피/담배/와인 등 색소가 강한 음식이나
기호심품들로 인한 착색은
일반적인 스케일링과 양치질로는
착색 제거가 잘 되지 않는다는 거
알고 계셨나요?
오늘은 착색제거에 도움을 주는
에어플로우에 대해 알아보겠습니다.

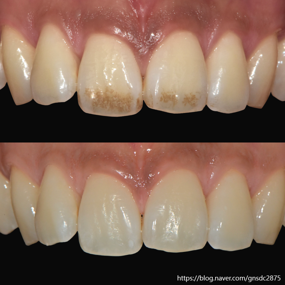
습관이 남긴 흔적, 치아착색
착색이 잘 되는 대표적인 음식
커피와 홍차를 자주 마시거나
식 후 습관적으로 담배를 피는 라이프 스타일 등
모든 게 치아에 색소를 남깁니다.
특히 커피의 타닌성분과
담배의 니코틴은 치아 표면에 달라붙는
치아착색의 주범입니다.
치아착색은 단순 심미 이슈로 보이지만
색소가 달라붙은 표면엔 세균도 잘 붙습니다.
즉, 제대로 관리해주지 않으면
충치와 잇몸질환의 시작이 될 수 있습니다.
그러나 양치질은 한계가 있으므로
주기적으로 치과에 내원하여
검진과 스케일링을 통해
구강건강을 살펴 보아야 하죠.
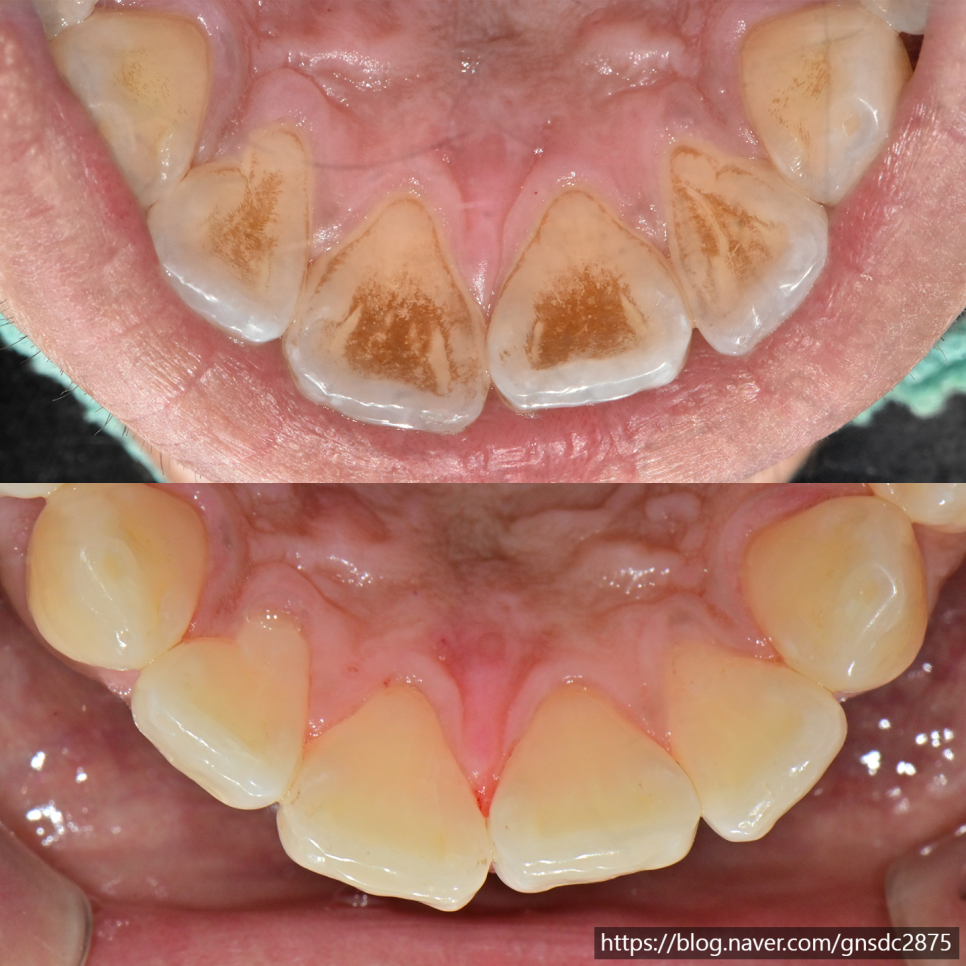
치아 안쪽과 치아 사이에 쌓인
플라그에 침착된 니코틴과
색소는 일반 스케일링으로도
잘 제거되지 않습니다.


에어플로우 치아착색 제거
에어플로우는 미세한 파우더와 물,
공기를 고압으로 분사하여
착색과 세균막을 불어내기 때문에
치아표면의 착색제거에 효과적입니다.
🏆치아착색 TOP3
-흡연으로 인한 스테인
- 색소가 진한 음료의 착색물
-오래된 플라그로 인한 치면착색물


다만, 모든 경우 착색제거가 가능한 것은 아닙니다.
치아가 이미 우식된 부분이나
이미 충치치료를 진행한 부분이 착색된 경우,
치아 자체가 색이 어두운 경우는
착색 제거가 어렵습니다.
강남레옹치과 스케일링
강남레옹치과는 계속관리 예방센터를 운영하여
전문적인 치주관리팀이 상주하고 있습니다.
딱딱한 치석을 깎아내는 핸드스케일러와
착색을 불어내는 에어플로우를 병행하여
자연치아는 물론 수복물, 임플란트에 달라붙은
치석을 효과적으로 제거합니다.
마무리로는 칫솔질까지 진행하여
평소 잘못된 치아관리를 바로 잡아주고
유지될 수 있도록 하고 있습니다.


일시적인 치료에 그치지 않고
치아질환을 예방하고
자연치아를 지키기 위해
늘 환자분들의 구강건강주치의가 되겠습니다.
강남레옹치과
앞니통합치료, 뉴티스
반점치 치료부터 잇몸이식, 치아성형,
잇몸성형, 치아미백, 잇몸미백,
앞니 레진치료, 치아교정, 뉴티스라미를
다루고 있는 앞니통합치료입니다.







Previous image Next image
더 보기
이 병원의 공개 콘텐츠를 계속 살펴보세요
출처 아카이브로 돌아가 더 많은 글을 보거나, 병원 프로필로 이동해 다른 공개 채널도 함께 비교해보세요.