아카이브 요약
이 페이지의 역할
강남레옹치과의원의 네이버 블로그 원문을 보존한 아카이브 페이지입니다. 건강정보 카테고리의 교정 후 치아에 백색반점이? 교정 후 치아탈회 삭제없이 뉴티스 반점치 치료 (아이콘레진) / 강남레옹치과 글을 통해 병원의 한국어 정보 제공 방식과 진료 관련 안내 톤을 확인할 수 있습니다.
원문 검증
필요하면 원문 블로그와 병원 프로필로 바로 이동해 문맥을 다시 확인할 수 있습니다.
출처 아카이브 열기아카이브된 블로그 글
강남레옹치과의원 · Naver Blog
안녕하세요 강남레옹치과입니다😊 오늘은 치아교정 후 치아에 생긴 백색반점에 대해 얘기해보려 합니다. 기나긴 치아교정 후 홀가분하게 교정기를 뺐더니 드러난 앞니 위 처참한 하얀자국들. 제거할 수 있을까요? 교정 후 치아에 백색반점이? 교정 후 치아탈회 삭제없이 뉴티스 반점치 치료 (아이콘레진) 백색반점의 원인:...
게시일
2025년 5월 14일
원문 기준으로 확인된 발행일입니다.
카테고리
건강정보
원문 블로그 카테고리를 정리해 함께 표시합니다.
이미지 수
13
현재 아카이브에 연결된 이미지 수입니다.
아카이브 요약
강남레옹치과의원의 네이버 블로그 원문을 보존한 아카이브 페이지입니다. 건강정보 카테고리의 교정 후 치아에 백색반점이? 교정 후 치아탈회 삭제없이 뉴티스 반점치 치료 (아이콘레진) / 강남레옹치과 글을 통해 병원의 한국어 정보 제공 방식과 진료 관련 안내 톤을 확인할 수 있습니다.
원문 검증
필요하면 원문 블로그와 병원 프로필로 바로 이동해 문맥을 다시 확인할 수 있습니다.
출처 아카이브 열기안녕하세요 강남레옹치과입니다😊
오늘은 치아교정 후
치아에 생긴 백색반점에 대해
얘기해보려 합니다.
기나긴 치아교정 후
홀가분하게 교정기를 뺐더니
드러난 앞니 위 처참한 하얀자국들.
제거할 수 있을까요?

교정 후 치아에 백색반점이? 교정 후 치아탈회 삭제없이 뉴티스 반점치 치료 (아이콘레진)
백색반점의 원인: 치아탈회
백색반점(화이트스팟)이 생긴 치아를
반점치, 혹은 반상치라고 부릅니다.
백색반점은 선천적으로 생기는 경우도 있고
후천적으로 생기는 경우도 있습니다.
후천적으로는
어린시절 과도한 불소섭취로 반점이 생길 수 있고
혹은 치아탈회에 의해 생길 수 있습니다.
치아탈회란?
여기서 치아탈회는 치아표면의 미네랄 손실로 발생하며
주로 구강 위생습관과 관련이 있습니다.
치아탈회는 단순 반점치가 아닌
초기충치의 한 형태일 수도 있어
검진을 통해 적절한 치료를 받는 것이 좋습니다.
충치는 처음 표면이 하얗게 변하고
충치가 깊어지면 갈색
최종적으로는 우리가 알고있는
검정색으로 변하게 됩니다.
즉, 치아표면에 백색반점이 생겼다는 것은
치아가 약해졌다는 신호입니다.

교정 후 치아에 백색반점이? 교정 후 치아탈회 삭제없이 뉴티스 반점치 치료 (아이콘레진)
교정 후 백색반점
뉴티스 반점치 치료: 아이콘레진
교정 전에는 없었던 백색반점이
갑자기 왜 생길까요?
사실 교정을 진행하면서
구강위생 관리는 쉽지 않습니다.
교정은 치아표면에 교정장치를 붙이고
최소 1년에서 3년을 치료를 하게 되는데
이때 브라켓 주변에 음식물이 쌓이기 쉽고
그로 인해 표면이 부식되는 탈회가 발생합니다.

교정 후 치아에 백색반점이? 교정 후 치아탈회 삭제없이 뉴티스 반점치 치료 (아이콘레진)
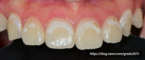
교정기 제거 후 생긴 백색반점으로
강남레옹치과에 방문해주신 환자분입니다.
집 앞 치과에서는 반점치 치료인
아이콘레진을 진행하지 않아
강남까지 찾아와 주셨습니다.
큐레이(Qray) 검사
큐레이는 탈회된 정도를 수치로 파악할 수 있어
더 정확하게 치료 계획을 세울 수 있습니다.
탈회 정도가 깊은 환자분들은 수치확인이 중요합니다.
수치가 높을수록 뉴티스 반점치 치료에 사용되는
아이콘레진을 잘 활용할 수 있기 때문입니다.

교정 후 치아에 백색반점이? 교정 후 치아탈회 삭제없이 뉴티스 반점치 치료 (아이콘레진)
아이콘레진 도포
아이콘 레진을 이용하여 반점치치료를 진행합니다.
아이콘레진은 치아삭제, 마취, 통증없이
백색반점을 간단하게 제거할 수 있는 비침습치료입니다.
치아내부에 레진이 잘 침투할 수 있도록
산처리 과정을 사전에 진행하고
이 후 아이콘레진을 여러차례 도포합니다.
아이콘레진을 이용한 반점치 치료 후
다음과 같이 6전치 표면에 있던
백색반점이 제거되었습니다.

교정 후 치아에 백색반점이? 교정 후 치아탈회 삭제없이 뉴티스 반점치 치료 (아이콘레진)
아이콘레진 치아에 괜찮을까?
자연치에 레진을 침투시켜
혹시 오히려 치아에 안 좋지 않을까
걱정이 들 수 있습니다.
아이콘레진은 영양분이 빠져나가
비워져 있는 치아 내부를 대신
단단하게 채워주기때문에 괜찮습니다.
뉴티스 반점치치료는 검진을 제외하고
10분 내외 / 보통 1회 치료로 완료되며
치료 후 상태체크를 위해
일주일 후 추가적인 내원이 필요할 수 있습니다.
치아의 백색반점이 생긴 경우,
단순 반점치는 충치가 아니기 때문에
반드시 치료가 필요하지는 않습니다.
다만 치아가 드러날때마다
앞니의 하얀 얼룩이 눈에 띄어
심미적으로 고민이 있으신 분들께는
아이콘레진으로 간단하게 개선할 수 있어
뉴티스 반점치치료를
고민해보셔도 좋을 것 같습니다.
뉴티스 반점치치료에 궁금한 점이 있으시면
언제든 편하게 댓글 달아주시기 바랍니다!
강남레옹치과
앞니통합치료, 뉴티스
반점치 치료부터 잇몸이식, 치아성형,
잇몸성형, 치아미백, 잇몸미백,
앞니 레진치료, 치아교정, 뉴티스라미를
다루고 있는 앞니통합치료입니다.








Previous image Next image