강남레옹치과의원
뿌리를 남긴 사랑니 발치? / 강남역 사랑니발치 강남레옹치과
안녕하세요 강남레옹치과입니다😊 오늘은 사랑니 뿌리를 남기고 발치한 사례에 대해 얘기하보려 합니다. 사랑니 발치를 하면서 "뿌리를 남기는 일이 있을 수 있다고?" "뿌리가 남았는데 괜찮은가요?" 하고 생각하시는 분들이 많으실 겁니다. 뿌리를 남긴 사랑니 발치? / 강남역 사랑니발치 강남레옹치과 사랑니 뿌리남김:...
아카이브 요약
이 페이지의 역할
강남레옹치과의원 | Gangnam Leon Dental Clinic | 江南レオン歯科의 네이버 블로그 원문을 보존한 아카이브 페이지입니다. 건강정보 카테고리의 뿌리를 남긴 사랑니 발치? / 강남역 사랑니발치 강남레옹치과 글을 통해 병원의 한국어 정보 제공 방식과 진료 관련 안내 톤을 확인할 수 있습니다.
안녕하세요 강남레옹치과입니다😊
오늘은 사랑니 뿌리를 남기고
발치한 사례에 대해 얘기하보려 합니다.
사랑니 발치를 하면서
"뿌리를 남기는 일이 있을 수 있다고?"
"뿌리가 남았는데 괜찮은가요?"
하고 생각하시는 분들이 많으실 겁니다.

뿌리를 남긴 사랑니 발치? / 강남역 사랑니발치 강남레옹치과
사랑니 뿌리남김:
의도적 치관절제술
사랑니를 완전히 발치하는 것이 목표이지만
발치동의서에 기재되어 있을 정도로
치료상 일부러 사랑니 뿌리를 남겨둬야하는 경우가 있습니다.
이를 의도적 치관절제술이라고 하는데
이유는 아래와 같습니다.
✅뿌리가 심하게 휘어져 있는 경우
✅뿌리가 신경관에 밀접하게 위치한 경우
✅뿌리가 잇몸뼈와 단단하게 유착된 경우
✅잇몸뼈를 많이 갈아내야 하는 경우
치관절제술을 고려한다는 것은
사랑니가 아주 깊게 매복되어 있다는 의미이며
주로 신경 손상이 우려가 있을때
이런 위험을 피하기 위해 사랑니 뿌리를 남기게 됩니다.
만약 신경을 잘못 건드리면
안면부 감각이상이 나타나면
심하면 마비증상이 생길 수 있습니다.

뿌리를 남긴 사랑니 발치? / 강남역 사랑니발치 강남레옹치과
그래서 궁금한 것은
이렇게 뿌리를 남기는 것이
추후 문제가 되지는 않는 것인지입니다.
🔻
결론부터 얘기하면
염증소견이 없다고 판단된다면
걱정하지 않아도 되는 경우가 대부분입니다.
남아있는 사랑니 뿌리는
회복되는 과정에서 잇몸뼈에 덮이게 됩니다.
이때 시간이 지나 잇몸뼈에 흡수되거나
잇몸뼈에서 올라오는 경우도 있습니다.
2~3mm정도의 염증이 없는 뿌리는
문제가 되지 않으며,
만약 추후 염증이 생기게 될 경우 제거를 합니다.
물론 치관절제술이 불가능한 경우도 있습니다.
전문의는 그 기준과 원칙을 염두하고
해당술을 진행합니다.
발치 후 불편한 증상이 있다면?
앞서 말씀드린 것 처럼
뿌리가 남아있어도
대부분 별 문제가 없습니다.
그러나 불편감을 느낀다면
남은 뿌리 발치를 권유드립니다.
사랑니 뿌리만 남은 경우는
더 발치하기 까다롭습니다.
여러상의 이유로 남겨두었고,
또한 뿌리부분밖에 남지 않아
기구로 발치하기 쉽지 않기 때문입니다.
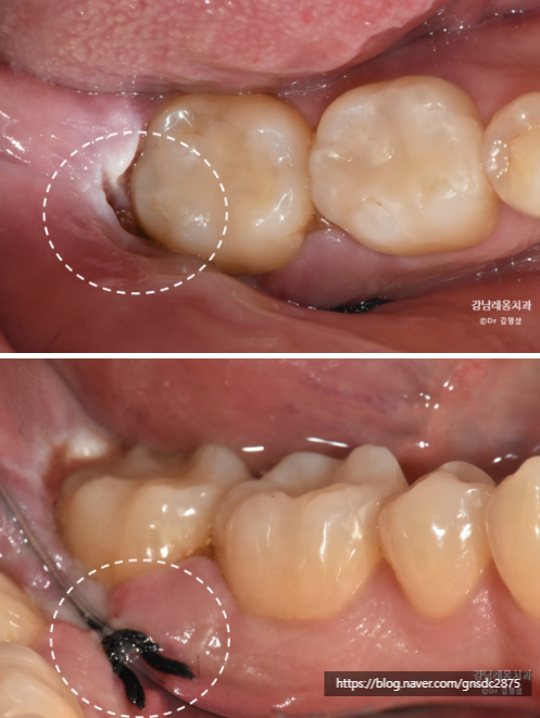
타치과에서 사랑니 발치를 하다 신경관이 가까워
뿌리를 남긴 채로 마무리하신 분입니다.
표시한 곳에 뿌리가
신경관가 가깝게 위치하여 남아있는 것이 보입니다.


뿌리를 남긴 사랑니 발치? / 강남역 사랑니발치 강남레옹치과
발치 한달 후 발치부위의 불편감이 들어
남은 뿌리의 발치를 원해
강남레옹치과에 방문해주셨습니다.

뿌리를 남긴 사랑니 발치? / 강남역 사랑니발치 강남레옹치과
CT상으로도 남은 뿌리가
신경관과 매우 근접해 보여
거리를 정확하게 파악하여
조심스럽게 발치하기로 하였습니다.

뿌리를 남긴 사랑니 발치? / 강남역 사랑니발치 강남레옹치과
다행히 뿌리를 모두 잘 발치하였고
발치 후 엑스레이 촬영을 통해
남은 조각이 또 있지 않은지 확인하였습니다.
정확한 계획대로 발치를 진행했으나
추후 신경손상 증상이 없는지
일주일 동안 체크를 할 필요가 있습니다.

뿌리를 남긴 사랑니 발치? / 강남역 사랑니발치 강남레옹치과
일주일 후 회복이 잘 되었고
신경손상없이 모두 정상이었습니다.
오늘은 뿌리를 남긴 사랑니발치에 대해 알아보았습니다.
신경손상을 피하기 위해 신경에 가깝게 닿아있는
사랑니 뿌리를 일부러 남기는 것이었습니다.
이는 전문의가 의도적으로 진행한 것으로
대부분 불편함 없이 지나가나
혹여나 불편감이 생긴다면
여러 가능성을 파악하여
남은 뿌리를 제거하게 됩니다.
이에 대해 궁금한 것이 있다면
언제든 편하게 댓글 달아주시기 바랍니다!
강남레옹치과
앞니통합치료, 뉴티스
반점치 치료부터 잇몸이식, 치아성형,
잇몸성형, 치아미백, 잇몸미백,
앞니 레진치료, 치아교정, 뉴티스라미를
다루고 있는 앞니통합치료입니다.








Previous image Next image
더 보기
이 병원의 공개 콘텐츠를 계속 살펴보세요
출처 아카이브로 돌아가 더 많은 글을 보거나, 병원 프로필로 이동해 다른 공개 채널도 함께 비교해보세요.