강남레옹치과의원
앞니에 하얀얼룩이? 앞니 길이가 달라요! / 앞니통합치료 뉴티스 반점치료 + 치아성형✨ / 강남레옹치과
안녕하세요 강남레옹치과입니다😊 많은 치아질환 증상이 그러하듯 앞니문제 또한 단일의 치료보다는 단계적으로 2가지 이상의 치료가 병행되어야 할 때가 있습니다. 이러한 이유로 많은 분들이 앞니통합치료인 뉴티스를 하기 위해 강남레옹치과에 찾아와주시는데요. 오늘은 치아에 백색반점을 제거하는 뉴티스 반점치 치료와 치아길...
아카이브 요약
이 페이지의 역할
강남레옹치과의원 | Gangnam Leon Dental Clinic | 江南レオン歯科의 네이버 블로그 원문을 보존한 아카이브 페이지입니다. 건강정보 카테고리의 앞니에 하얀얼룩이? 앞니 길이가 달라요! / 앞니통합치료 뉴티스 반점치료 + 치아성형✨ / 강남레옹치과 글을 통해 병원의 한국어 정보 제공 방식과 진료 관련 안내 톤을 확인할 수 있습니다.
안녕하세요 강남레옹치과입니다😊
많은 치아질환 증상이 그러하듯
앞니문제 또한 단일의 치료보다는
단계적으로 2가지 이상의 치료가
병행되어야 할 때가 있습니다.
이러한 이유로 많은 분들이
앞니통합치료인 뉴티스를 하기 위해
강남레옹치과에 찾아와주시는데요.
오늘은 치아에 백색반점을 제거하는
뉴티스 반점치 치료와
치아길이를 다듬어 개선하는
뉴티스 치아성형(법랑질성형)에 대해
알아보겠습니다.

앞니 백색반점: 치아탈회의 결과
치아의 백색반점은 '치아탈회' 증상 중 하나입니다.
치아탈회는 미네랄을 잃어 생기는데
이는 유전적인 이유일 수도 있고
불소과다, 혹은 산에 의해
법랑질 표면의 미네랄이 소실되어
하얀얼룩이 생길 수 있습니다.
일상생활에서 반점치가 생기는
대표적인 경우는 다음과 같습니다.
☑️치아 형성기에 불소과다에 노출되어
법랑질 결함으로 치아변색
☑️교정기 착용 후 관리 부족
☑️입 안 산성환경 (산성음식/세균/역류성식도염)
☑️양치질 등 위생관리 소홀
☑️외부충격으로 인한 법랑질 손상

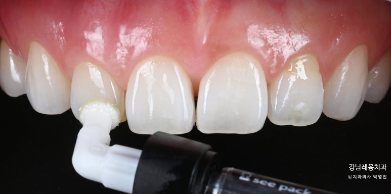
뉴티스 반점치 치료: 아이콘레진
뉴티스 반점치 치료는 아이콘레진을 사용하여
자연치를 최대한 보존하는 방법으로
백색반점을 제거합니다.
미네랄이 소실된 법랑질 표면에
아이콘레진을 여러번 도포하여
탈회된 치아를 메꿔주는 비침습 방식입니다.
3無 아이콘레진
✅ 마취無 ✅ 통증 無
✅ 삭제 無

앞니에 하얀얼룩이? 앞니 길이가 달라요! / 앞니통합치료 뉴티스 반점치료 + 치아성형
아이콘레진을 도포하기 전
치아의 백색반점 분포와 정도를 확인하여
치료계획을 세우는 것도 중요합니다.
강남레옹치과는 큐레이(Qray) 정밀분석을 통해
백색반점의 영역과 그 수치를 확인하고
아이콘레진 도포 구역과 레이어링을 결정합니다.

앞니에 하얀얼룩이? 앞니 길이가 달라요! / 앞니통합치료 뉴티스 반점치료 + 치아성형
단순 반점치만 가능
백색반점은 초기충치의 증상과도 같습니다.
이럴경우 아이콘레진이 아닌
충치치료가 우선되어야 합니다.
따라서 아이콘레진 치료 가능한
단순 반점치인지 내원하여
검진을 통해 확인하셔야 합니다.
뉴티스 치아성형: 법랑질 다듬기
뉴티스 치아성형은 미세한 치아 깨짐이나
길이가 다른 치아 절단면을 다듬어
가지런하게 만드는 데 목적이 있습니다.
미세한 형태 개선으로
손상없이
치아 가장 겉면에 위치하는
단단한 법랑질을 미세하게 다듬기 때문에
치아 손상이 없고
원하는 형태로 치아를 개선할 수 있습니다.
✅마취와 통증 無
✅ 치아손상 無
✅ 간단하게 당일 시술

통합형 앞니치료 뉴티스로
앞니 개선
뉴티스 상담을 통해 한가지 치료가 아닌
각 증상과 문제에 맞는 적절한 개선안을
제안하여 진행한 케이스를 소개합니다.
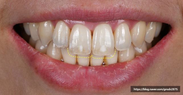
#CASE 01
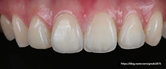
백색반점이 있는 길이가 긴 앞니
해당 환자분은 앞니의 백색반점과
길이가 긴 치아 개선을 위해 방문하셨습니다.
앞니와 송곳니가 주변치와 다르게
유독 길고 뾰족한 것이 바로 확인됩니다.
뉴티스 반점치치료와
치아성형(법랑질성형)으로
다음과 같이 개선하였습니다.


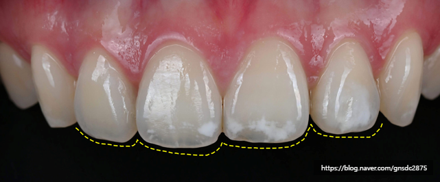
#CASE 02
백색반점이 있는 길이가 다른 앞니
다음 환자분도 양앞니의 백색반점과
미세하게 다른 치아 길이를
앞니통합치료 뉴티스로 개선하였습니다.


#CASE 03
백색반점이 있는 길이가 다른 앞니
세번째 케이스도 마찬가지로
양앞니와 옆치아까지 번진 백색반점을
뉴티스 반점치치료로 개선하고
울퉁불퉁 고르지 못한 치아 끝을
뉴티스 치아성형을 통해 고르게 개선하였습니다.


라미네이트가 아닌
앞니통합치료 뉴티스로
뉴티스는 오늘 케이스와 함께 본
반점치치료와 치아성형과 더불어
잇몸성형/미백/이식, 치아미백
앞니레진, 뉴티스라미, 필요하다면 교정까지
앞니치료 전반을 아우르는
통합형 앞니치료입니다.
라미네이트는 걱정돼요.
어떤 치료가 필요한 건가요?
어떤 치료를 해야할지 모르겠어요.
많은 분들이 라미네이트에 대한
여러가지 걱정,
라미네이트가 아닌 다른 치료는 뭐가 있는지
내 앞니 문제에 어떤 치료가 적합한지
고민이실 수 있습니다.
뉴티스는 자연치 보존이라는 철학을 바탕으로
최소한의 치료&최대한의 효과를 목적으로 두고
각 개인에 맞는 개선안을 제안해드리고 있습니다.
뉴티스에 대한 궁금한 점 있으시면
언제든 편하게 문의해주시기 바랍니다!









Previous image Next image
더 보기
이 병원의 공개 콘텐츠를 계속 살펴보세요
출처 아카이브로 돌아가 더 많은 글을 보거나, 병원 프로필로 이동해 다른 공개 채널도 함께 비교해보세요.