강남레옹치과의원
치아성분 치아영양제 아파프로로 약해진 치아관리! / 강남레옹치과
안녕하세요 강남레옹치과입니다😊 구강질환을 치료하는 것보다 중요한 것은 평소 구강관리가 아닌가 싶습니다. 치아는 음식을 먹고 다양한 상황에 노출되며 시간이 갈수록 필연적으로 닳고 약해지기 마련이기 때문입니다. 그래서 오늘은 건강한 치아를 위해 부가적으로 사용할 수 있는 치아영양제 아파프로에 대해 알아보겠습니다....
아카이브 요약
이 페이지의 역할
강남레옹치과의원 | Gangnam Leon Dental Clinic | 江南レオン歯科의 네이버 블로그 원문을 보존한 아카이브 페이지입니다. 건강정보 카테고리의 치아성분 치아영양제 아파프로로 약해진 치아관리! / 강남레옹치과 글을 통해 병원의 한국어 정보 제공 방식과 진료 관련 안내 톤을 확인할 수 있습니다.
안녕하세요 강남레옹치과입니다😊
구강질환을 치료하는 것보다 중요한 것은
평소 구강관리가 아닌가 싶습니다.
치아는 음식을 먹고 다양한 상황에 노출되며
시간이 갈수록 필연적으로 닳고
약해지기 마련이기 때문입니다.
그래서 오늘은 건강한 치아를 위해
부가적으로 사용할 수 있는
치아영양제 아파프로에 대해 알아보겠습니다.

치아와 뼈를 구성하는
하이드록시아파타이트
치아영양제 아파프로는
치아와 뼈를 구성하는 주성분인 하이드록시아파타이트를
함유한 치면수복용 제품입니다.
1970년대 나사 우주인들이
장기간 무중력상태에 노출되어
치아와 뼈의 미네랄이 소실된 현상을 보고
이를 보충하기 위해
하이드록시아파타이트를 이용한 것에 영감을 받아
에나멜 수복용으로 개발한 것입니다.
아파프로에 함유된
'의료용 나노 하이드록시아파타이트 Nano<mHAP>'는
치면의 표면강도를 높이고
법랑질의 투명도와 자연치아 본연의 광택을 살리는
목적으로 사용합니다.

아파프로의 효과
아파프로를 이용하여 치아재광화 케어를 하면
다음과 같은 4가지 효과가 있습니다.
1️⃣ 치태의 흡착제거
Nano<mHAP>는
구강내 세균에 대해 우수한 흡착력이 있어
제균효과가 있습니다.

2️⃣ 치아표면 미세흠집 수복
강한 양치질, 스케일링 등의 기계적 자극,
산성도가 높은 음식물의 빈번한 섭취,
치아미백 등의 화학적 자극으로
손상된 치면의 미세한 흠집을
나노레벨부터 메워 수복하여 회복합니다.

3️⃣ 초기우식 치료
화이트스팟과 같이 법랑질의 미네랄이 녹아
초기우식의 탈회가 진행된
치아표면에 미네랄을 보급하여
재석회화를 촉진합니다.

4️⃣ 상아세관 봉쇄
노출된 치아의 상아질을 봉쇄하여
시린증상을 완화합니다.

이런 분들께 추천합니다!
✅ 치면탈회 진행
미네랄 손실로 치면에
화이트스팟이 진행되었거나
초기충치가 의심된다면
적절한 치료 후 사용을 고려할 수 있습니다.
✅ 치아의 노화
잇몸퇴축/시린이/착색 등
노화로 인한 증상이 생겼을 경우
부가적으로 사용을 고려할 수 있습니다.
✅ 어린이 충치예방
제균효과에 탁월하여
충치가 잘 생기는 성장기 어린이의
충치예방 및 관리를 위해 사용할 수 있습니다.
✅ 치면손상 (스케일링/치아미백/교정치료)
기계적/화학적 자극 이후
생길 수 있는 미세 치면손상을 수복하여
치아를 매끈하게 합니다.

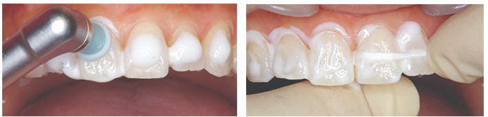
아파프로 케어 과정
🔶치과 프로케어🔶
치면세균막 제거 후 아파프로를
치면에 마사하지 듯 골고루 두포 후
잘 흡수되도록 5~10분간 유지합니다.

🔷가정 자가케어🔷
프로케어 실시 후 일정기간 지속되어야 할 경우
환자분께 아파프로와 개인트레이를 처방드립니다.
약 5분간 치면팩을 진행 후
물로 가볍게 씻어냅니다.
자가사용시 취침전 잇솔질 후 사용을 권장드립니다.
(*자가케어는 치과에서
프로케어(치면세균막 제거 후) 실시 후
진행하는 것이 더 효과적입니다.)

아파프로 QnA
아파프로는 먹어도 괜찮을 정도로
인체에 안전한 물질이며
프로케어 후 자가케어를 진행할 수 있어
관리의 지속성과 예방치료의 효과를
더욱 극대화할 수 있어 좋습니다.
[ Q. 치약과 뭐가 다른가요❓]
치약은 의약외품으로 불소, 연마재, 계면활성제 등을
함유한 치면세척제입니다.
아파프로는 위의 성분들이 들어가있지 않은
나노입자의 하이드록시아파타이트 페이스트로
'치아재광화촉진재' 의료품입니다.
[ Q.불소와는 어떻게 다른가요❓ ]
불소는 대표적인 충치예방물질로서
치아표면에 딱딱한 불소층을 형성하여
산으로부터 치아를 보호하고
타액 내의 미네랄 성분의 흡수를 돕는 원리로
충치를 예방합니다.
아파프로는 치아에 직접
나노입자의 미네랄을 공급하고
세균을 제거하여
치면을 매끄럽게 수복하는 원리로
충치를 예방합니다.
[ Q.연마재와는 어떻게 다른가요❓ ]
연마재는 사용 목적에 따라
치면을 깎는 원리로 착색물을 제거하거나
치면을 매끄럽게 하는 것입니다.
아파프로는 치면의 거친면을 매꾸고
탈회된 영역을 재광화하는 치료재입니다.
즉, 치면을 연마하는 것이 아닌
수복하는 원리입니다.
[ Q.인채에 해가 되지 않나요❓ ]
하이드록시아파타이트는
칼슘처럼 인체에 흡수되는 물질로서
치과와 의료영역에서 널리 사용되어 온
생체친화적인 물질입니다.
임산부도 아파프로를 사용해도 됩니다.
오늘은 충치부터 시린이 예방,
미네랄을 직접 보충하고 미세흠집을 수복하여
치면을 자연스러운 광택으로 재광화해주는
치아영양제 아파프로에 대해 알아보았습니다.
치과에서 받는 프로케어뿐만 아니라
처방 후 집에서도 자가케어가 가능해
지속적인 관리에 유용하였습니다.
부가적인 치아관리에 고민이셨다면
이 점들 참고하여 도움이 되었으면 합니다😊
아파프로에 대해 다른 궁금한 점 있으시면
언제든 댓글 달아주세요!
강남레옹치과
앞니통합치료, 뉴티스
반점치 치료부터 잇몸이식, 치아성형,
잇몸성형, 치아미백, 잇몸미백,
앞니 레진치료, 치아교정, 뉴티스라미를
다루고 있는 앞니통합치료입니다.









Previous image Next image
더 보기
이 병원의 공개 콘텐츠를 계속 살펴보세요
출처 아카이브로 돌아가 더 많은 글을 보거나, 병원 프로필로 이동해 다른 공개 채널도 함께 비교해보세요.