아카이브 요약
이 페이지의 역할
강남레옹치과의원의 네이버 블로그 원문을 보존한 아카이브 페이지입니다. 건강정보 카테고리의 앞니 끝이 살짝 깨졌다면? 뉴티스 치아성형으로 자연스럽게 치아라인 정리하기 글을 통해 병원의 한국어 정보 제공 방식과 진료 관련 안내 톤을 확인할 수 있습니다.
원문 검증
필요하면 원문 블로그와 병원 프로필로 바로 이동해 문맥을 다시 확인할 수 있습니다.
출처 아카이브 열기아카이브된 블로그 글
강남레옹치과의원 · Naver Blog
안녕하세요. 강남레옹치과입니다😊 앞니나 송곳니는 웃거나 말할 때 가장 먼저 보이는 치아입니다. 그래서 치아 끝이 조금 깨져 있거나 앞니 길이가 살짝 다르거나 송곳니가 뾰족하게 튀어나와 보이는 경우 생각보다 많은 분들이 신경을 쓰게 되는데요. 오늘은 이러한 경우 간단한 방법으로 치아 모양을 정리할 수 있는 [뉴...
게시일
2026년 3월 12일
원문 기준으로 확인된 발행일입니다.
카테고리
건강정보
원문 블로그 카테고리를 정리해 함께 표시합니다.
이미지 수
16
현재 아카이브에 연결된 이미지 수입니다.
아카이브 요약
강남레옹치과의원의 네이버 블로그 원문을 보존한 아카이브 페이지입니다. 건강정보 카테고리의 앞니 끝이 살짝 깨졌다면? 뉴티스 치아성형으로 자연스럽게 치아라인 정리하기 글을 통해 병원의 한국어 정보 제공 방식과 진료 관련 안내 톤을 확인할 수 있습니다.
원문 검증
필요하면 원문 블로그와 병원 프로필로 바로 이동해 문맥을 다시 확인할 수 있습니다.
출처 아카이브 열기안녕하세요. 강남레옹치과입니다😊
앞니나 송곳니는 웃거나 말할 때
가장 먼저 보이는 치아입니다.
그래서 치아 끝이 조금 깨져 있거나
앞니 길이가 살짝 다르거나
송곳니가 뾰족하게 튀어나와 보이는 경우
생각보다 많은 분들이 신경을 쓰게 되는데요.
오늘은 이러한 경우
간단한 방법으로 치아 모양을 정리할 수 있는
[뉴티스 치아성형]에 대해 소개해 드리겠습니다.
뉴티스 치아성형으로
자연스럽게 치아라인 정리하기

치아를 깎는 치료일까요? 🦷
뉴티스 치아성형은
치아의 가장 바깥쪽 층인 법랑질을 아주 미세하게 다듬어
치아 모양과 라인을 정리하는 심미 치료입니다.
치아의 표면을 미세하게 정리하는 방식으로
✔ 자연스러운 치아 비율을 만들어주는 것이 특징입니다.
치아 건강에 영향을 주지 않는 범위 내에서 진행되기 때문에
부담이 비교적 적은 심미 치료로 알려져 있습니다.
이런 경우 고려해볼 수 있습니다
다음과 같은 치아 고민이 있는 경우
뉴티스 치아성형이 도움이 될 수 있습니다.
① 앞니 길이가 조금 다른 경우
② 치아 끝이 울퉁불퉁한 경우
③ 앞니 좌우 균형이 맞지 않는 경우
④ 송곳니가 지나치게 뾰족한 경우
⑤ 치아 끝이 살짝 깨진 경우
특히 앞니는 작은 차이도 눈에 잘 띄기 때문에
미세한 조정만으로도 인상이 훨씬 정돈되어 보일 수 있습니다.


(치아성형 + 잇몸성형)
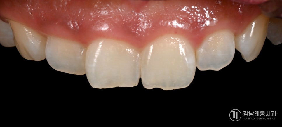
딱딱하거나 질긴 음식을 섭취하면서
앞니 끝이 조금씩 깨져
치아 라인이 울퉁불퉁해진 경우였습니다.
뉴티스 앞니통합치료를 통해
뉴티스 치아성형과 잇몸성형을 병행하여
✔ 치아 끝 매끈하게 정리
✔ 잇몸 라인 고르게 맞춤
보다 깔끔하고 균형 잡힌
치아, 잇몸라인으로 개선했습니다.


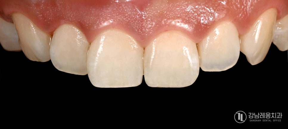
두 앞니의 길이가 상대적으로 길어
웃을 때 치아가 도드라져 보이던 사례입니다.
치아성형을 통해 앞니 길이를 조정하여
전체적인 치아 균형을 맞추었습니다.


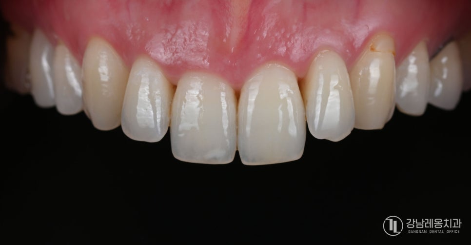
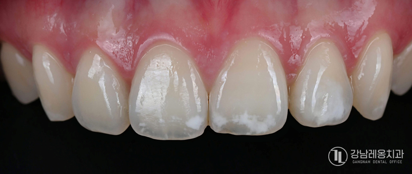
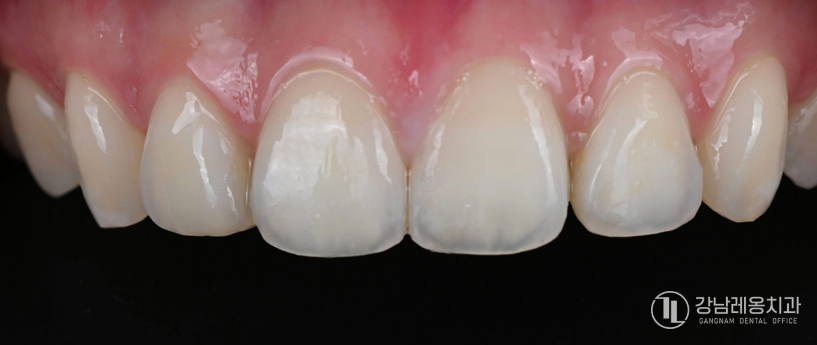
(치아성형 + 반점치 치료)
한쪽 앞니의 길이가 더 길고
눈에 띄는 백색 반점이 있어 내원하신 환자분입니다.
이 경우에는 뉴티스 앞니 통합 치료를 통해
뉴티스 치아성형과
뉴티스 반점치 치료를 함께 진행하여
✔ 앞니 반점 개선
✔ 앞니 길이 조정
까지 자연스럽게 마무리할 수 있었습니다.
치료 시간은 얼마나 걸릴까요? ⏰
뉴티스 치아성형은
케이스에 따라 마취 없이 진행되기도 하며
약 30분 내외로 비교적 빠르게 마무리되어
일상생활에 큰 불편이 없는 것도 장점입니다.
자연스럽게 치아라인을 정리하고 싶지만
라미네이트나 교정 치료는 부담스럽다면
치아성형으로 치아 끝을 다듬어
보다 가지런하고 정돈된 치아라인을 만들 수 있습니다.
다만 모든 경우에 가능한 것은 아니기 때문에
치아 상태를 정확하게 확인한 후
치료 가능 여부를 판단하는 것이 중요합니다.
앞니 모양이나 치아라인이 고민이라면
검진을 통해 본인에게 적합한 치료 방법을
확인해 보시는 것도 좋겠습니다.
강남레옹치과
앞니통합치료, 뉴티스
✅ 치아성형
✅ 반점치 치료
✅ 잇몸이식
✅ 치아미백 / 잇몸미백
✅ 앞니 레진 치료
✅ 치아교정
✅ 뉴티스 라미네이트
반점치 치료부터 잇몸이식, 치아성형,
잇몸성형, 치아미백, 잇몸미백,
앞니 레진치료, 치아교정, 뉴티스라미를
다루고 있는 앞니통합치료입니다.









Previous image Next image