강남 스마일뷰치과의원 | Gangnam Smile View Dental Clinic | SMILEVIEW歯科 | SMILEVIEW牙醫
중년 아래앞니 교정
안녕하세요 오늘 스마일뷰 치과에서 보여드릴 케이스는 중년의 아래 앞니 교정 입니다. 나이가 들수록 치아들은 앞으로 밀리는 힘을 받는데요 특히 아래 앞니는 나이가 들 수록 삐뚤어 질 확률이 더욱 높습니다. 게다가 윗입술이 내려오면서 웃을때 아랫니가 더 많이 보이기 때문에 중년 이후에 아래 앞니때문에 고민을 하시는 분들이...
안녕하세요 오늘 스마일뷰 치과에서 보여드릴 케이스는
중년의 아래 앞니 교정 입니다.
나이가 들수록 치아들은 앞으로 밀리는 힘을 받는데요
특히 아래 앞니는 나이가 들 수록 삐뚤어 질 확률이 더욱 높습니다.
게다가 윗입술이 내려오면서 웃을때 아랫니가 더 많이 보이기 때문에
중년 이후에 아래 앞니때문에 고민을 하시는 분들이 많습니다.
그러나 사회적 활동이 많으셔서 보이지 않을까 걱정하시고
나이들어서 무슨 교정이냐고 주변사람들의 시선을 의식하기도 합니다.
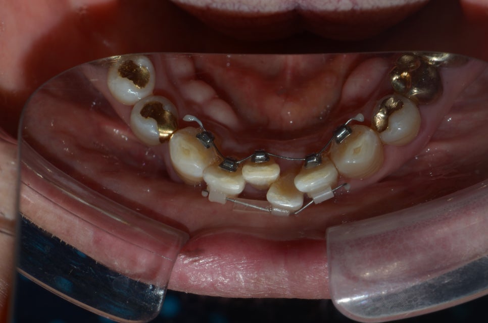
이런 경우를 위해서 아래 앞니를 안쪽으로 간단하게 교정할수 있는 티끌 장치가 있는데요
이것은 잘 보이지 않고 싸이즈도 작아서 불편감이 많이 감소 하였습니다.

아래 앞니때문에 고민하시던 중년의 남자분 입니다.
안쪽으로 장치를 연결하고, 속도를 좀더 높이기 위해 바깥쪽에도 임시로 쌀알 크기의 장치를 몇개 부착하였습니다.
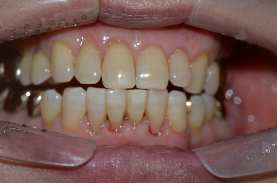
총기간은 6개월 정도 소요되었습니다.


치아가 가지런해졌다며 매우 기뻐하셨습니다.
부분교정은 시간도 적게 걸리고 비용도 상대적으로 많이 저렴하므로 부담갖지 않고 진행할수 있는 것 같습니다.
오늘도 읽어봐주셔서 감사합니다.
좋은하루 되세요
스마일뷰치과의원 서울특별시 강남구 봉은사로 107 15층 스마일뷰치과
Explore More
Keep Browsing This Clinic's Korean Content Trail.
Return to the source archive for more posts, or move back to the clinic profile to compare the rest of the clinic's public channels.