강남 스마일뷰치과의원 | Gangnam Smile View Dental Clinic | SMILEVIEW歯科 | SMILEVIEW牙醫
스마일뷰치과 비발치교정
안녕하세요 오늘 스마일뷰치과에서 소개해드릴 케이스는 비발치 교정입니다. 흔히들 치아공간이 부족한 양이 많거나 돌출을 많이 해소 하고 싶으면 발치교정(이빨을 뽑고 하는 교정)으로 분류가 되며 그 기준은 부족한 공간의 양을 대략 7mm 정도로 잡습니다. 그러나 공간이 많이 부족하다고 하더라도 악궁확장 장치를 끼거나 치아사...
안녕하세요
오늘 스마일뷰치과에서 소개해드릴 케이스는 비발치 교정입니다.
흔히들 치아공간이 부족한 양이 많거나 돌출을 많이 해소 하고 싶으면 발치교정(이빨을 뽑고 하는 교정)으로 분류가 되며
그 기준은 부족한 공간의 양을 대략 7mm 정도로 잡습니다.
그러나 공간이 많이 부족하다고 하더라도
악궁확장 장치를 끼거나
치아사이 삭제
미니스크류를 이용해 후방 사랑니 공간을 이용
하면 발치 케이스에도 비발치로 진행 가능하기도 합니다.
오늘 보여드릴 케이스는 바로 그런 케이스 입니다

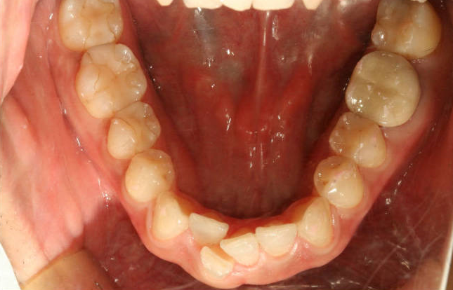
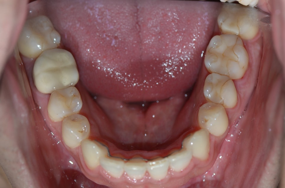
이분은 아래 앞니가 하나 완전히 겹쳐서 나있으신데요
하악전치를 한개만 뽑기도 하지만
그렇게 할경우에 교합을 맞추기가 매우 어렵습니다.(아래 앞니가 홀수개가 되면서 뒤에 어금니의 사이사이로 물리게 만들기 어렵습니다)
이 경우에는 여러가지 방법을 이용해서 비발치교정이 가능합니다


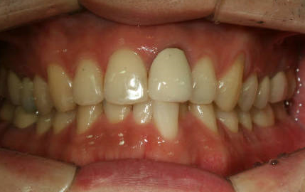
예쁘게 교정하고 마무리 유지장치까지 붙였습니다.
일반적으로 비발치교정의 경우 발치교정보다는 적은 시간인 1년에서 1년반 정도의 시간이 걸립니다.
스마일뷰치과에서는 하나의 치아라도 더 살려서 쓸수있도록 노력하고 있습니다.
교정을 결정하실때 참고하시길 바랍니다.
감사합니다.
스마일뷰치과의원 서울특별시 강남구 봉은사로 107 15층 스마일뷰치과
Explore More
Keep Browsing This Clinic's Korean Content Trail.
Return to the source archive for more posts, or move back to the clinic profile to compare the rest of the clinic's public channels.