강남 스마일뷰치과의원 | Gangnam Smile View Dental Clinic | SMILEVIEW歯科 | SMILEVIEW牙醫
라미네이트와 지르코니아의 차이
안녕하세요 오늘 설명드릴 내용은 라미네이트와 지르코니아의 차이점에 관한 것입니다. 라미네이트는 간단하게 인조 손톱을 붙이는 과정과 비슷하다고 보시면 이해가 쉽습니다. 치아의 표면을 간단하게 처리하고 혹은 0.5mm 정도 삭제하고 표면처리를 한후 얇은 판과 같은 라미네이트를 표면에 얹어서 붙이는 것입니다. 이때 라미...
안녕하세요 오늘 설명드릴 내용은 라미네이트와 지르코니아의 차이점에 관한 것입니다.
라미네이트는 간단하게 인조 손톱을 붙이는 과정과 비슷하다고 보시면 이해가 쉽습니다.
치아의 표면을 간단하게 처리하고 혹은 0.5mm 정도 삭제하고
표면처리를 한후
얇은 판과 같은 라미네이트를 표면에 얹어서 붙이는 것입니다.
이때 라미네이트가 들어갈 공간을 어떻게 준비해 주느냐에 따라
완전 비니어, 부분비니어 크라운 등으로 나눌 수 있습니다.
이는 케이스에 따라서 다르게 적용합니다.
예를 들어 아래 앞니가 깊이 물려서 계속적으로 윗니를 치고있는 경우
라미네이트의 탈락률을 감소시키기 위해 더 넓은 부분에 접착력을 발생시키기 위해 3면 이상을 감싸게 됩니다.
한편 지르코니아의 경우 일반적으로 모든 치아에 적용되는 크라운 치료라고 보시면 되는데요
크라운의 경우에는 전체 치아를 덮기위해
치아를 원통형으로 깎게 됩니다.
지르코니아가 라미네이트보다 접착력이나 강도는 우수할수 있지만
치아 삭제량이 많기 때문에 신경치료를 해야 할 가능성이 높아지게 됩니다.
신경치료와 다양한 라미네이트등의 케이스, 지르코니아를 해야하는 케이스 등을 차차 보여드리도록 하겠습니다
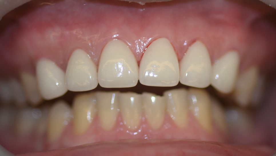
아래 사진은 본원에서 진행한 상악전치부 지르코니아 케이스 입니다.
여러가지 사정으로 위 앞니만 원하셔서 위에 앞니만 6개 진행하셨습니다.
이 케이스에 대한 이야기도 차차 올려드리도록 하겠습니다.

읽어봐주셔서 감사합니다
스마일뷰치과였습니다
스마일뷰치과의원 서울특별시 강남구 봉은사로 107 15층 스마일뷰치과
Explore More
Keep Browsing This Clinic's Korean Content Trail.
Return to the source archive for more posts, or move back to the clinic profile to compare the rest of the clinic's public channels.