강남 스마일뷰치과의원 | Gangnam Smile View Dental Clinic | SMILEVIEW歯科 | SMILEVIEW牙醫
전악 임플란트
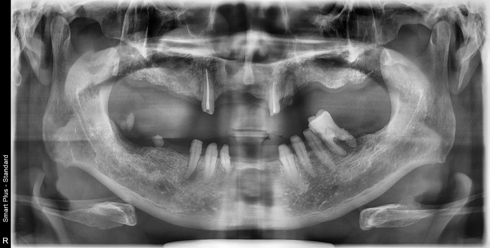
치아가 없으면 얼굴에도 변형이 올수 있습니다. 이번에 보여드릴 환자분은 어금니가 전부 없어진지 오래 되시고 앞니로만 식사를 하시던 분이었습니다. 어금니가 없어지게 되면 볼이 홀쭉해지고 위아래로도 높이가 낮아져 얼굴이 짧아져 보입니다. 전체 케이스를 다 하는데 8개월 가량 소요되었으며 지금은 만족스럽게 식사를 하고 계시...
치아가 없으면 얼굴에도 변형이 올수 있습니다.
이번에 보여드릴 환자분은 어금니가 전부 없어진지 오래 되시고
앞니로만 식사를 하시던 분이었습니다.

어금니가 없어지게 되면 볼이 홀쭉해지고 위아래로도 높이가 낮아져 얼굴이 짧아져 보입니다.
전체 케이스를 다 하는데 8개월 가량 소요되었으며
지금은 만족스럽게 식사를 하고 계시다고 합니다.
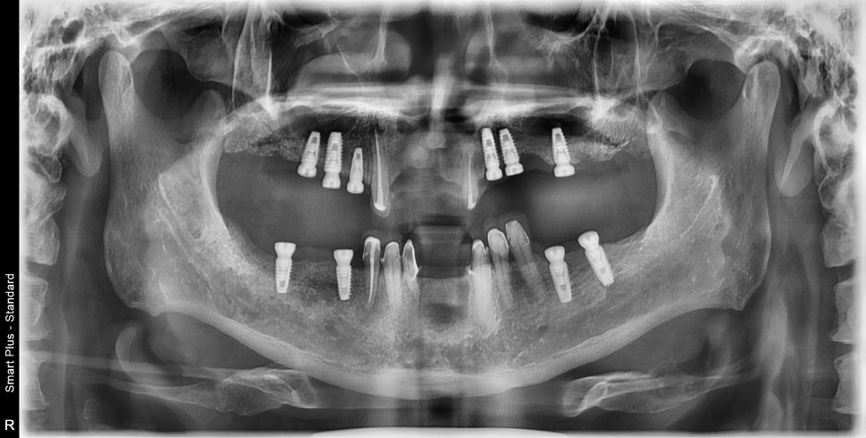
임플란트는 크게 2단계로 나뉠 수 있습니다
사진처럼 임플란트의 뿌리를 먼저 심고 기다립니다

그리고 뿌리가 충분히 굳는데는 3에서 6개월 정도 걸립니다.
경우에 따라서는 바로 다음단계인 보철물, 즉 임플란트의 머리를 올리는 과정으로 들어가는 경우도 있는데요
많은 연구 결과에서 뿌리를 심어두고 기다렸다가 머리가 올라가는것이 안정적이라는 보고가 있습니다.
저희도 필요에 따라서는 즉시하중임플란트를 시술하기도 합니다.

임플란트의 머리가 올라간뒤 모습입니다.
치아가 빠지고 너무 오랜기간 방치하게 되면 임플란트를 심어야 하는 부분의 공간이 옆 치아가 쓰러져 들어와서 사라지기도 하고
뼈가 줄어들어서 임플란트 식립시 많은 뼈이식을 하거나 임플란트가 불가능해지기도 합니다.
많은 일들이 미루면 큰일이 되는데
특히 치과쪽은 미리하지 않으면 더 큰 공사가 되는 것 같습니다.
오늘도 읽어봐주셔서 감사합니다
스마일뷰치과 였습니다. ^^
스마일뷰치과의원 서울특별시 강남구 봉은사로 107 15층 스마일뷰치과
Explore More
Keep Browsing This Clinic's Korean Content Trail.
Return to the source archive for more posts, or move back to the clinic profile to compare the rest of the clinic's public channels.