강남 스마일뷰치과의원 | Gangnam Smile View Dental Clinic | SMILEVIEW歯科 | SMILEVIEW牙醫
지르코니아가 필요한 경우
오늘 스마일뷰 치과에서 알려드릴 정보는 지르코니아가 라미네이트보다 좋은 경우 입니다. 확실히 라미네이트는 얇기 때문에 원래 치아의 노란색이나 회색빛이 강한 경우에는 라미네이트로 하면 색깔이 완벽하지 않을 경우가 있습니다 또한 치아 맞물림에 의한 작용으로 치아끝이 많이 깨져있을때에도 안정성을 위해 지르코니아를 택하기도...
오늘 스마일뷰 치과에서 알려드릴 정보는 지르코니아가 라미네이트보다 좋은 경우 입니다.
확실히 라미네이트는 얇기 때문에 원래 치아의 노란색이나 회색빛이 강한 경우에는
라미네이트로 하면 색깔이 완벽하지 않을 경우가 있습니다
또한 치아 맞물림에 의한 작용으로
치아끝이 많이 깨져있을때에도
안정성을 위해 지르코니아를 택하기도 합니다

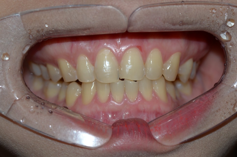
본 환자분은 노란빛이 진하게 올라오고
치아 마모가 심한편으로 안정성을 위해 지르코니아를 권유하였습니다.
본인 치아를 거울로 보았을때
치아 모서리 부분이 깨어져 나가있을 경우
힘을 많이 받고 있을 수 있습니다.
치과에서는 작은 단서하나라도 놓치지 않고 확인하여
가장 본인에게 적합한 시술을 권유받을 수 있습니다.

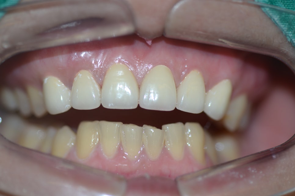
지르코니아 를 올린 모습입니다.
자연스럽게 예쁘게 색깔이 들어갔습니다.
웃을때 아랫니가 많이 보이지 않으시는 경우
보통 송곳니 에서 송곳니까지 6개의 치아를 진행하는 경우가 많습니다.
오늘도 읽어봐주셔서 감사합니다
스마일뷰치과입니다.
스마일뷰치과의원 서울특별시 강남구 봉은사로 107 15층 스마일뷰치과
Explore More
Keep Browsing This Clinic's Korean Content Trail.
Return to the source archive for more posts, or move back to the clinic profile to compare the rest of the clinic's public channels.