강남 스마일뷰치과의원 | Gangnam Smile View Dental Clinic | SMILEVIEW歯科 | SMILEVIEW牙醫
임플란트와 교정치료를 함께 할수 있을까요?
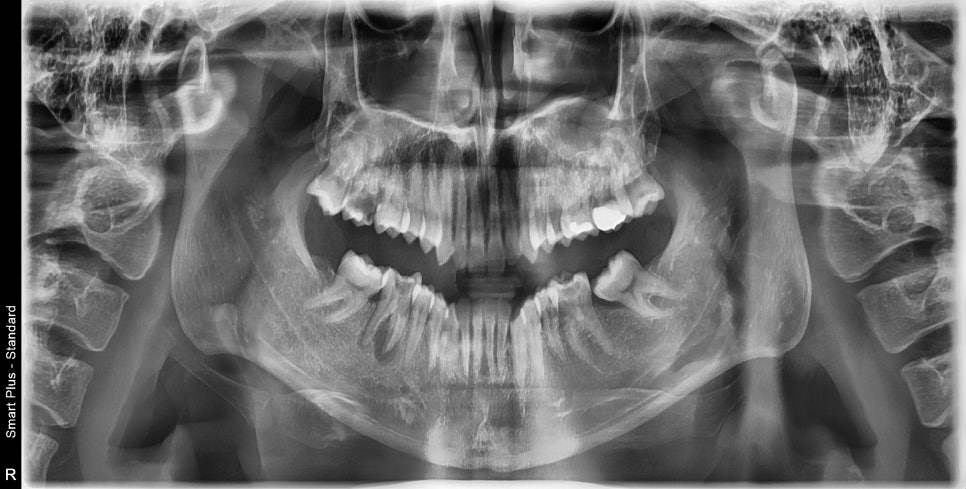
안녕하세요 오늘 스마일뷰치과에서 알려드릴 정보는 임플란트와 교정치료를 함께 할수 있을까요 에 대한 답변입니다 가끔 치아가 빠진 채로 오시는 분이 있는데요 이때 교정치료가 많이 필요하시는 분이 있다면 저희는 미리 여쭈어봅니다 추후 교정치료의 의사가 있으신지에 대해서요 만약 교정치료가 필요한 상태인데 임플란트가 되어...
안녕하세요
오늘 스마일뷰치과에서 알려드릴 정보는
임플란트와 교정치료를 함께 할수 있을까요 에 대한 답변입니다
가끔 치아가 빠진 채로 오시는 분이 있는데요
이때 교정치료가 많이 필요하시는 분이 있다면 저희는 미리 여쭈어봅니다
추후 교정치료의 의사가 있으신지에 대해서요
만약 교정치료가 필요한 상태인데 임플란트가 되어 있다면 교정치료를 세우기가 어려워 지고요
교정과 임플란트를 동시에 진행하기 원하시는 경우에는
거의 무조건!! 교정을 먼저 하고
교정이 끝나기 3에서 6개월 전에 임플란트를 식립하게 됩니다.
교정이 끝날때 임플란트도 동시에 끝나게 하는 것이 원칙입니다.

이 환자분도 충치에 의해서 치아를 잃어버리셨고
교정도 원하고 계셔서
우선은 교정을 먼저 하고 교정을 진행하다가 치아가 없는 공간에 임플란트를 해 넣기로 하였습니다.
만약 치아를 발치하신 부분이 작은어금니라면, 교정을 통해서 치아공간을 닫아서 임플란트를 하지 않을 수도 있습니다
따라서 임플란트와 교정치료 모두 생각이 있다면
어떻게 하는것이 좋을지 치과에 오셔서 상의해 보시는것을 추천해 드립니다.
이상 스마일뷰 치과였습니다
감사합니다 ^^
Explore More
Keep Browsing This Clinic's Korean Content Trail.
Return to the source archive for more posts, or move back to the clinic profile to compare the rest of the clinic's public channels.