강남 스마일뷰치과의원 | Gangnam Smile View Dental Clinic | SMILEVIEW歯科 | SMILEVIEW牙醫
신논현역 임플란트 잘하는 치과
안녕하세요? 신논현역 임플란트 잘하는치과 스마일뷰입니다. 치과사람이니오늘도치아에관한이야기를해보겠습니다. 여러분의치아는어떠신가요? 잠시읽기를멈추시고 아래 사항 중에 여러분치아는 몇번항목에속하는지한번체크해 보세요. 충치도없고잇몸도건강한편이다. 양치질 할때 가끔씩피가난다 가끔씩음식씹을때통증이있다...
안녕하세요?
신논현역 임플란트 잘하는치과 스마일뷰입니다.
치과사람이니오늘도치아에관한이야기를해보겠습니다.

여러분의치아는어떠신가요?
잠시읽기를멈추시고
아래 사항 중에 여러분치아는 몇번항목에속하는지한번체크해 보세요.
-
충치도없고잇몸도건강한편이다.
-
양치질 할때 가끔씩피가난다
-
가끔씩음식씹을때통증이있다.
-
치아가시리다.
-
충치는없는데이가조금흔들리는것같다.
-
충치가 아주 심하다.
7.치아가 하나이상 없거나 아주많이흔들린다.

잠시체크해보셨나요?
위의항목들 중 1번 항목만 제외하고
나머지는 임플란트잘하는신논현역치과에서검진과치료를 꼭 받으시길권해드립니다.
오늘은신논현역치과에서임플란트 잘하는스마일뷰치과에서 7번항목에 해당하는 글을올려보려고 합니다.
여러분도 읽으시면서 이미아셨겠지만 치아가하나라도없거나 많이흔들린다면 치과에서 임플란트를 심으셔야 합니다.
신논현역에서임플란트잘하는스마일뷰에서도와드리겠습니다.

- 임플란트를심어야하는이유
1.치아가없으면음식물씹는데불편하며
잘씹지않고음식물을삼키게되면 위에부담을 줄수가있습니다.
2.치아 하나가 없으면대수롭지않게생각할수도있는데 그렇게간단하지가않습니다.
하나가빠지거나많이흔들리면인접치아에악영향을끼칩니다.
예를들어아래어금니하나가없다면 씹는힘에의해주위에있는치아에 과도한힘이가해져서
주위치아도오래쓸수가없습니다.
3.치아가소실되었을경우미관상으로도좋지않습니다.
4.말할때 소리가새는것을 본인도 상대방도느낄수있습니다.

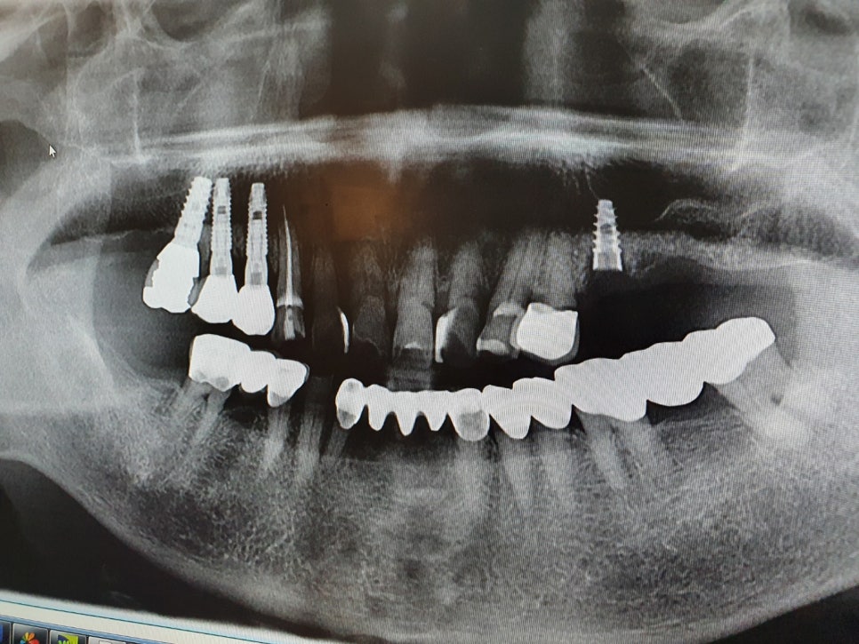
- 임플란트과정
문진-파노라마촬영-ct촬영-임플란트식립-지대치연결-보철물연결
단순한임플란트과정은이렇습니다.
만약잇몸뼈가부실하다면 신논현역치과 임플란트 잘하는 스마일뷰치과에서는
임플란트식립전에 뼈이식을 진행하게 되는데
뼈이식비는임플란트비용에포함되지않습니다.
임플란트 종류는 오템, 덴움, 디* 등 다양하며 비용은거의비슷합니다.

임플란트 잘하는 신논현치과에서 임플란트할때비용이차이가많이나는것은
보철물재료를무엇으로 하는가에따라달라지기 때문입니다.
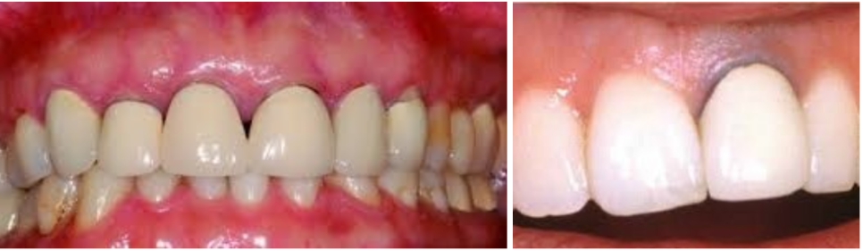
임플란트 후 보철물은 주로
pfm, 금, 지르코니아 중에 하나를 합니다.

pfm으로 보철물을 제작시 시간이 지나면 사진처럼 검게 보입니다, 앞니에는 적합하지 않는 재료입니다
Pfm은 안에금속이들어가고바깥은치아색도자기로만들어지는데 푸른빛이 비춰보여
앞니에는사용하지않고주로어금니임플란트에사용합니다.
65세이상어르신들에게적용되는보험임플란트는pfm 보철만 인정이됩니다.
Pfm은 안에금속이들어가고바깥은치아색도자기로만들어지는데 푸른빛이 비춰보여
앞니에는사용하지않고주로어금니임플란트에사용합니다.
65세이상어르신들에게적용되는보험임플란트는pfm 보철만 인정이됩니다.
금으로 만든 보철물은 미관상좋지않아 앞니에는 사용하지않고
어금니도 꺼려하지만
연세가많으신어르신들은금을선호하시기도합니다 .
우리 인체와 가장 친화력이 있어
어금니에 시술했을 경우
편하게 사용하실 수 있습니다

금으로 보철물을 제작시 색상으로 인한 이질감이 있습니다
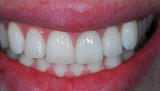
요즘은 신논현역 치과에서는 대부분 임플란트 치아의 보철물은
지르코니아를 사용합니다.
지르코니아는 본인의치아색과똑같이만들수가있어 심미적으로 타 재료들보다 월등히 뛰어납니다.
단단하여 깨지는일이 거의없어 금이나 pfm보다는대개 30-40만원더비싼 편입니다

지르코니아는 앞니에도 어금니에도 미관상 자연치아와 크게 다르지 않습니다.

임플란트의 과정은 길고 먼 길이라고 볼 수도 있습니다.
잇몸뼈가 튼튼한 경우는 신논현역 치과에서는 당일에도 임플란트 식립이 가능합니다
하지만 대부분은
발치하고
뼈이식하고
1차 식립하고
2차 지대치 올리고
보철물 제작까지 하는데는
임플란트 잘하는 신논현역치과에서는
짧게는 3개월 길게는 1-2년이 걸릴 수도 있는
긴 시간이 걸립니다
또한
임플란트를 식립한 후에는
많은 관심과 주의가 필요하므로
저희 신논현역치과 스마일뷰에서는
임플란트를 식립한 환자들에게 특별히 잘 관리하시기를
당부 또 당부 드립니다

자연치로 있을때보다
임플란트 잘하는 신논현역 치과 스마일뷰에서 임플란트를 식립하시고 나면
6개월에서 1년에 한번은 꼭 정기검진을 권해 드리며
더 많이 관리에 신경을 쓰고 관리를 해야
오래동안 사용할 수 있음을 강조해 드리고 있습니다.
아무리 신논현역치과 스마일뷰에서 식립을 성공적으로 잘 했다 하더라도
관리가 소홀해지면
임플란트 주위염이 생길 수도

다음 포스팅에서는
신논현역치과 임플란트 잘하는 스마일뷰에서
임플란트 식립후 주의사항에 대해서 올려드리겠습니다.

Explore More
Keep Browsing This Clinic's Korean Content Trail.
Return to the source archive for more posts, or move back to the clinic profile to compare the rest of the clinic's public channels.