강남 스마일뷰치과의원 | Gangnam Smile View Dental Clinic | SMILEVIEW歯科 | SMILEVIEW牙醫
신논현역 벌어진 앞니 교정방법
안녕하세요? 성탄절 잘 보내셨나요? 추워도 너무 춥네요. 이제 2021년 마지막 52주차 딱 한주만 남겨놓고 있는데 새해 설계 잘 하고 계시지요? 새해에는 올해보다 더 나은 한 해 되시길 바라고 코로나도 이제 제발 끝났으면 좋겠습니다. 여러분도 같은 마음이시지요? 2021년은 가도 우리는 할일은 해야지요?...
안녕하세요?
성탄절 잘 보내셨나요?
추워도 너무 춥네요.
이제 2021년 마지막 52주차 딱 한주만 남겨놓고 있는데 새해 설계 잘 하고 계시지요?
새해에는 올해보다 더 나은 한 해 되시길 바라고 코로나도 이제 제발 끝났으면 좋겠습니다.
여러분도 같은 마음이시지요?

2021년은 가도 우리는 할일은 해야지요?
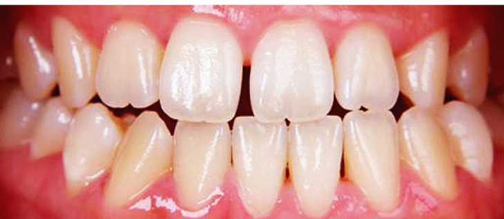
오늘은 신논현역치과 스마일뷰에서 앞니만 벌어진
경우 교정하는 방법에 대해서 알려드리려고 합니다.
앞니는 정중앙에 있는 위아래 이 2개씩 총 4개를 말하는데 치과용어로는 전치부라고 표현합니다.
앞니의 주 기능은 음식을 끊어내는 데 주로 사용되기도 하지만 발음을 할때나 그 사람의 인상에도 절대 무시할 수 없는 아주 중요한 기능을 하지요.

위아래 앞니를 번호로 표기할 때는 11번, 21번, 31번,41번 이렇게 표식을 합니다.
만약 앞니가 벌어진 경우는 음식을 자를때 불편을 느낄수가 있고 발음이 또렷하지 못하며 말을 하거나 웃을때 가장 먼저 보이기 때문에 첫인상을 많이 좌우하기도
하는데 앞니가 벌어진 경우 자신감이 떨어지고 말할때 소통에 소극적이기도 합니다.
신논현역치과에서는 앞니가 벌어져서 교정을 생각하고 계신분들에게 아주 쉽고 간단하게 교정을 할수 있는 방법에 대해서 알려드리겠습니다.

앞니가 벌어진 경우의 치아교정방법에는 앞니부분교정,레진, 올세라믹, 라미네이트, 투명교정등 다양한 방법들이 있습니다.
위 신논현치과 스마일뷰에서 진행하는 교정방법은 개인차에 따라 다르게 적용될수 있는데 치과의사와 충분한 상담을 통해 벌어진 앞니 교정하는 방법을 선택하게 됩니다.
벌어진 앞니 교정방법 중 가장 간단하고 저렴한 방법은 양쪽 치아사이를 자신의 치아색과 같은 레진으로 메꾸어 주는 레진교정 방법입니다.
레진 교정은 치과에 방문한 당일에 바로 진행하여 완료할 수 있는 가장 단시간에 끝나는 교정 방법이며
비용도 다른 방법에 비해 저렴하다고 할수 있습니다.
하지만 레진은 간단하고 저렴한 반면 오래가지 못하는 단점이 있습니다.

레진교정후 몇년이 지나면 레진과 원래치아사이에 층이 발생하기 때문에 정기적으로 치아를 다듬거나 재교정을
해야 될수도 있으며 치아 사이가 너무 많이벌어진 경우에는 레진으로 교정이 어려울 수도 있습니다.

신논현역치과에서 진행하는 라미네이트는 벌어진 앞니 교정에 아주 많이 사용되는 교정방법으로 벌어진 앞니 교정방법 뿐만아니라 누런 앞니나 비뚤비뚤한 앞니교정에도 많이 사용되는 방법입니다.
치료기간도 짧고 자신의 치아색이나 모양을 거의 비슷하게 제작되는 장점이 있어서 치료후의 만족도가 아주 좋습니다

신논현역치과 라미네이트는 손톱모양처럼 만들어서 자신의 치아위에 붙이는 방법으로 앞니에 충격이 가해지거는 오래 사용하게 되면 떨어질 염려가 있습니다.

벌어진 앞니 교정방법으로 요즘 많이 진행하는 올세라믹은 심미적으로는 가장 자연스러워 본인치아처럼 보이며 단단하다는 장점이 있지만 본인의 치아 사이사이를 삭제하고 4개를 브릿지로 만들어서 끼우는 방법으로 이 중 하나라도 깨진다면 전부 다시 제작해야 하는 단점이 있습니다.

부분교정은 앞니 6개에 장치를 붙
여서 단기간에 걸쳐 교정을 하는 방법 전체인데 교정기간 과 비용이 절반정도로 장점이 있지만 장치를 3개월에서 6개월정도를 붙이고 있어야 하는 단점이 있고 정기적으로 치과에 내원하셔야 되며 장치가 탈락되는 상황이 발생하기도 합니다.

신논현역치과 벌어진 앞니교정으로 투명교정은 색상이 투명한 얼라이어를 치아에 착용하하 치아를 이동시키는 방법입니다.
장치가 투명하기 때문에 눈에 쉽게 띄지는 않으며 탈부착이 가능하여 관리하는데 편리성이 있는 진행속도는 다소 느린편입니다.
여러분들 어떠셨나요?
벌어진 앞니를 교정하는 방법에 대해서 신논현역치과
스마일뷰에서 자세히 알려드렸습니다.
벌어진 앞니 교정은 전체교정에 비하면
소요되는 시간이나 비용이 적데 들어서 많이들 문의하시고 진행 하신답니다.
연세 많으신 어르신들도 요즘은 많이 하시고 직장인들도
설측으로 벌어진 앞니교정을 많이 진행하고 있습니다
벌어진 앞니 교정에 대해서 더 많은 부분을 알고 싶으시면
신논현역치과 스마일뷰의 홈페이지를 방문해 주시구요
스마일뷰 치과-환자분들의 아름다운 미소를 위해 연구합니다. HOME 스마일뷰(특별함)소개 의료진 소개 진료안내 오시는 길 스마일뷰(특별함)소개 스마일뷰 치과 > 병원소개 > 스마일뷰(특별함)소개 병원소개 | 이용약관 | 개인정보취급방침 | 관리자로그인 서울특별시 강남구 봉은사로 107, 15층 (논현동 201-16번지 15층) 대표자: 김은지 ㅣ 사업자번호: 699-29-00572 l TEL: 02-552-7528 l FAX: 02-552-7527 COPYRIGHTⓒ SMILE VIEW DENTAL CLINIC. ALL RIGHTS RESERVED.
smile-vdental.com
오시는 길이 궁금하시면
스마일뷰치과의원 서울특별시 강남구 봉은사로 107 15층 스마일뷰치과
신논현역치과 스마일뷰 진료시간안내입니다

Explore More
Keep Browsing This Clinic's Korean Content Trail.
Return to the source archive for more posts, or move back to the clinic profile to compare the rest of the clinic's public channels.