강남 스마일뷰치과의원 | Gangnam Smile View Dental Clinic | SMILEVIEW歯科 | SMILEVIEW牙醫
신논현역 사랑니 발치 전문치과
안녕하세요? 날씨가 많이 춥지요? 2021년이 역사속으로 영원히 사라지고 새해가 열리는 날이네요. 여러분 !! 올해 잘 마무리 하셨는지요? 또 새해 맞이할 준비 잘 하셨는지요? 새해 복많이 받으시고 건강하시기를 신논현역 사랑니 발치 전문 치과인 스마일뷰는 기원합니다. 오늘 저희가 올려드릴 포스팅은 사랑니 발...
안녕하세요?
날씨가 많이 춥지요?
2021년이 역사속으로 영원히 사라지고
새해가 열리는 날이네요.
여러분 !!
올해 잘 마무리 하셨는지요?
또 새해 맞이할 준비 잘 하셨는지요?

새해 복많이 받으시고 건강하시기를
신논현역 사랑니 발치 전문 치과인 스마일뷰는 기원합니다.
오늘 저희가 올려드릴 포스팅은
사랑니 발치에 대한 것입니다.
사랑니가 예쁘게 잘 나오신 분이나 사랑니가 안나오신 분들은
사랑니로 인한 고통을 잘 모르실 수도 있는데요.
매복사랑니가 있든지 사랑니가 문제를 일으키는 경험을 갖고 계신분들은
많이 고통스러우실 거예요.

신논현역 사랑니 발치전문 원장님이 진료하는 스마일뷰는 오늘 사랑니발치가 필요한 경우에 대해 알려드리겠습니다.

신논현역치과에서 사랑니 전문치과에서 발치를 해야 하는 경우는
첫째. 사랑니에 통증이 있는 경우입니다.
사랑니가 아픈 경우는 두가지가 있습니다.
치아 자체에 충치가 생기고 충치가 계속되어 신경부위까지 감염된 경우는 발치를 해야 합니다.
치아내 염증으로 인하여 압력이 상승해서 계속해서 통증을 느끼게 됩니다.
또 사랑니 주위에 염증이 생긴 경우 이를 치과 주위염이라고 하는데 사랑니는 바로 나는 경우가 드물고 잇솔질이 힘들고 이로 인해 음식물이 잇사이에 끼게 되어 주위염을 야기 시키니까요.

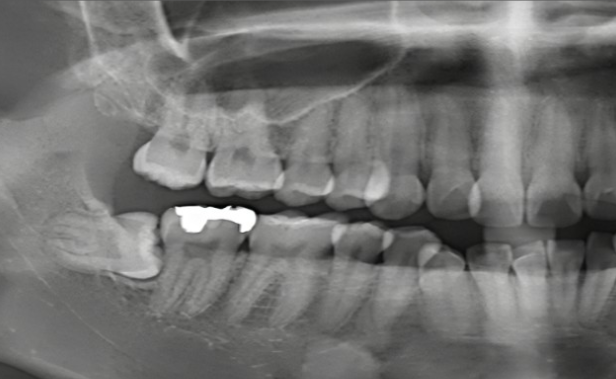
둘째, 위의 사진처럼 사랑니가 누워있는 경우
사랑니가 누워서 나있는 경우 사랑니가 구강내에 올라올 자리가 없으므로 치관만 비스듬이 솟아오른 경우로 이 경우 대부분 음식물이 잇사이에 축적되어 염증이 생기기 쉽죠.

앞치아의 충치도 같이 유발되기 쉬우므로 반드시 발치해야 하는데 일반적으로 발치는 어렵고 신논현역 사랑니 발치 구강외과 전문의와 상의하는 것이 좋습니다.
괜히 일반치과에서 발치하다 고생만 하거나 대학병원까지 가야 되는 상황이 생길수도 있으니
신논현역 사랑니 발치 외과 전문의가 있는 스마일뷰에서 상담받으시를 강력 추천합니다.
사랑니 발치 후
술 마셔도 되요??
신논현역치과 스마일뷰 사랑니 발치 전문의는
사랑니 발치후 술을 마시지 마시라 말씀드립니다.
왜냐하면 출혈이 계속될 수 있기 때문입니다.
술을 마시게 되면 혈액순환이 빨라져 출혈이 계속 되거나 피가 안나던 상태에서 다시 출혈이 일어날 수 가 있습니다. 또 발치 한 부위는 염증 상태에 있는데 알콜은 이런 염증을 더 악화시키기 때문이지요.

신논현역치과 사랑니 발치 전문의가 있는 스마일뷰에서
발치후 주의 사항에 대해서 말씀드리면
- 출혈이 멎을 때까지 거즈를 잘 물고 계셔야 됩니다.
그렇지 않으면 지혈이 잘되지 않습니다.
-
1-2일 정도 얼음팩을 하셔야 되는데 얼음팩을 하지 않을 경우 많이 부으실 수 있습니다
-
3일 정도는 빨대 사용은 하지 않으셔야 됩니다.
발치후 빨대를 사용하여 음료수를 마시는 경우 음압에 의해 출혈이 잘 멎지 않습니다.
4 거즈를 뺀후 출혈이 조금씩 있는 경우
뱉어내지 마시고 삼켜야 합니다.
피의 냄새로 역하지만 뱉어내면서 입안에 압력이 가해지면 출혈이 잘 멎지 않습니다.
5.3일 정도는 더운 목욕이나 사우나 심한 운동은 삼가셔야 됩니다.
-
1주 이상 술과 담배는 삼가시는 것이 좋으며
-
통증이 계속 된다거나 얼굴이 많이 붓고 입이 잘 벌어지지 않고 음식물 삼키기 가 어렵거나 미열이 계속 되는 경우는 담당 치과의사와 상의 하시고 처치 받으시기 바랍니다.
-
처방받은 약은 모두 드시는 것을 권해드립니다.
약국에서 약 받으실때 약사에게 다시 한번 더
확인하시기를 권합니다.

스마일뷰치과의원 서울특별시 강남구 봉은사로 107 15층 스마일뷰치과

Explore More
Keep Browsing This Clinic's Korean Content Trail.
Return to the source archive for more posts, or move back to the clinic profile to compare the rest of the clinic's public channels.