강남 스마일뷰치과의원 | Gangnam Smile View Dental Clinic | SMILEVIEW歯科 | SMILEVIEW牙醫
신논현역치과에서 라미네이트로 미소를 찾아보자
며칠만 있으면 신나는 설연휴입니당!!! 맛난 음식도 먹고 푹 쉬면서 그동안 못 보았던 영화도 보면서 즐길 참인데 여러분의 계획은 어떠신가요? 연휴때 잼있는 영화있으면 소개해 올리겠습니다. 여러분들은 사람 얼굴을 볼때 어디가 제일먼저 눈에 들어오시나요? 저는 어떤 사람을 보든 치아부터 보게 됩니다. 그냥 습관이예요. 지하철...

며칠만 있으면 신나는 설연휴입니당!!!
맛난 음식도 먹고 푹 쉬면서 그동안 못 보았던 영화도 보면서 즐길 참인데
여러분의 계획은 어떠신가요?
연휴때 잼있는 영화있으면 소개해 올리겠습니다.
여러분들은 사람 얼굴을 볼때 어디가 제일먼저 눈에 들어오시나요?
저는 어떤 사람을 보든 치아부터 보게 됩니다. 그냥 습관이예요.
지하철을 타든 TV를 보든 의도치 않지만 치아가 가장 먼저 눈에 들어옵니다.
그래서 직업은 못 속인다고 하나봐요.
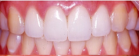
오늘은 바라만 봐도 예쁜 라미네이트에 대해서 올려드리려고 하는데요.
신논현역치과에서 근무하지만 라미네이트는 정말 예쁜 것 같아요.
| 당신의 미소를 보여 주세요 Smile view |

신논현역치과 스마일뷰 라미네이트
신논현역 치과 라미네이트는 치아성형의 한 종류로 치아 양쪽을 삭제하고
머리카락 굵기정도로 얇게 다듬어서 치아와 같은 도자기를 치아에 붙이는
심미치료 방법입니다.
- 라미네이트가 필요한 경우*
-
치아와 치아 사이의 공간을 메꾸어야 할때
-
치아 배열이 고르지 못할때
-
치아에 반점이 있을때
-
치아 색이 좋지 않아 영구적으로 치아를 밝게 할때
앞니의 치아사이가 많이 벌어져 있는경우
신논현역치과에서 무삭제로 가능

신논현역치과 라미네이트 방법
신논현역 무삭제 라미네이 장점
-
비교적 짧은 기간에 술식이 가능하며
-
장치를 붙이지 않아 이물감이 느껴지지 않으며
-
통증을 거의 느끼지 않으며
4.치아의 형태나 색상을 대부분 원하는 대로 가능
-
기능성과 심미성을 모두 갖춰 만족도가 높음
-
치아교정과 병행하면 더 좋은 효과 얻을 수 있음

무삭제 라미네이트 대상
-
마취가 두려우신 분
-
치아 삭제가 부담스러우신 분
-
최소한의 내원으로 앞니 교정을 원하시는 분
-
아름다운 미소를 갖고자 하는 분
-
치아미백 시술이 불만족인 분




Explore More
Keep Browsing This Clinic's Korean Content Trail.
Return to the source archive for more posts, or move back to the clinic profile to compare the rest of the clinic's public channels.