강남 스마일뷰치과의원 | Gangnam Smile View Dental Clinic | SMILEVIEW歯科 | SMILEVIEW牙醫
신논현역 치과 부모님 임플란트 비용
안녕하세요? 설 연휴 첫날인데요. 잘 보내고 계시는지요? 우리나라 대부분의 사람들은 명절이 되면 부모님을 찾아가게 되지요. 오랫만에 한자리에 모여서 그간 어떻게 살았는지, 특별한 일들은 없었는지 등등 누군가에게는 아낌없는 칭찬을 해주고 또 위로가 필요한 지체 누군가에게는 같이 울어주고 하면서 훈훈한 명절을 보내게 되는 것...
안녕하세요?
설 연휴 첫날인데요. 잘 보내고 계시는지요?
우리나라 대부분의 사람들은 명절이 되면 부모님을 찾아가게 되지요.
오랫만에 한자리에 모여서 그간 어떻게 살았는지,
특별한 일들은 없었는지 등등
누군가에게는 아낌없는 칭찬을 해주고
또 위로가 필요한 지체 누군가에게는 같이 울어주고 하면서
훈훈한 명절을 보내게 되는 것 같아요.
이처럼 오고 가는 대화 중에서도 빠질 수 없으며 가장 귀추가 주목되는 것이
부모님 건강이 아닐까 싶은데요.
여러분도 부모님 뵈면 꼭 건강체크해 보시길 바라요.
얼마 전에 보았던 광고가 떠오르네요.
엄마, 아~ 해봐!!!

오스템 임플란트 광고 영상 사진
사실 부모님들은 몸 어딘가가 아프셔도 웬만큼 참을 수 있으면
병원을 찾지 않으시는 것 같습니다.
신논현역 치과 스마일 뷰에 오시는 부모님들도 보면 명절 연휴 지나서
아들이나 딸 손에 이끌려서 신논현역 치과에 내원하시는 경우가 참 많습니다.
치료를 미루시다 보니 많이 고생하실 것에 대해서 안타깝고
부모님 챙기시는 자녀들 보면 제 마음이 고마움을 느낀답니다.

부모님이 치과진료를 미루시게 된 것은
무엇보다도 신논현역 치과에서 치료를 받고 나면 들어가게 되는 임플란트 비용 때문이시지요.
그래서 건강보험에서는 65세 이상 어르신을 대상으로 평생 2개를 보험 임플란트로 적용해 주고 있습니다.
보험이 적용되는 어르신들의 경우 임플란트 본인 부담금은 치아 한 개당 40만 원 이내입니다.
40만 원 비용도 진단 시, 식립 시, 보철 시 등 3단계에 나누어서 내시면 됩니다.
여기에 뼈이식비는 포함되지 않으니 잇몸뼈를 보강하고 임플란트를 심어야 된다면
뼈이식비 30여만 원 정도를 더 지불하시면 됩니다.
65세 이상이 되신 분 중 3개 이상을 임플란트 하셔야 되는 경우는 2개는 보험 적용을 받고
나머지는 비보험으로 진행하셔야 되는데
비보험일 경우 신논현역 치과 스마일 뷰에서는 한 치당 60만 원에 진행하고 있습니다.
보험 적용되는 치아보다 20만 원 정도 더 든다고 생각하시면 됩니다.
65세 이상 : 한 치아 당 40만 원 이내
(뼈이식비 제외)
65세 이하 or
65세 이상 3개부터
60만 원
보험이 적용될 경우는 40만 원, 신논현역 치과 스마일에서 임플란트를 심을 경우
60만 원에 진료가 가능합니다
임플란트를 식립해서 보철 완료까지의 비용입니다.
뿐만 아니라 신논현역 치과 스마일 뷰에서는
원 데이 임플란트를 적용하여 환자분들의 고통을 덜어드리고
치과에 내원하는 횟수를 최소화하고 있습니다.
다만 잇몸뼈가 불충분하거나 염증이 있는 경우는 진행하기가 어려울 수도 있습니다.

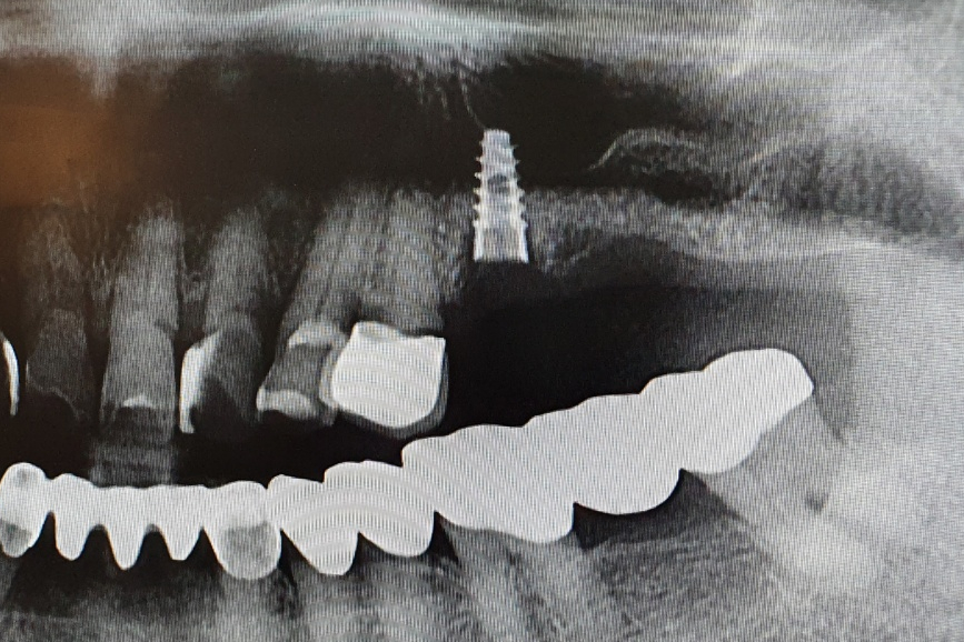
신논현역 치과 스마일 뷰는 부모님 임플란트를 더욱 정확하게 시술하기 위해서
내비게이션 임플란트 방식을 진행하고 있습니다.
내비게이션 임플란트로
안전하게!!

내비게이션 임플란트란 내비게이션 원리를 임플란트에 적용한 것으로
오차 없는 완벽한 임플란트를 설계하고 있습니다.
뼈조직이나 신경의 위치를 정확하게 파악하여 안전한 시술이 되도록 찾아주는
정밀한 시술 방법입니다.
다른 임플란트 시술 방법과 달리
내비게이션 임플란트는
시술자가 내비게이션 임플란트 프로그램으로 모의 시술을 먼저 해 보고
직접 임플란트 시술을 하기 때문에 그만큼 정확도가 높아지며
환자가 시술 시 겪는 고통을 최소화할 수 있는 방법입니다.


신논현역 치과에 찾아오시는 부모님들이 임플란트를 하시기 위해
치과에 내원하시기
꺼리시는 것 또 한 가지는
두려움 때문이 신 것 같아요.
여자 어르신들은 대부분 다 많이 어려워하시지요.
어떤 분들은 임플란트 수술받으려고 마취만 했는데도
손에 땀이 흥건하게 긴장하시는 분들도 있어요.

설 명절이 되니 부모님 생각이 많이 나네요.
내일 갈 예정이지만. . .
아무튼 부모님들께서 건강하시기만
바랄 뿐이에요.
여러분들도 다 같은 마음이시지요?
저는 부모님을 자주 뵈러 가기가 힘든 상황이라
지금부터 몇 번을 더 뵐 수 있을까 생각해 보았어요.
부모님과 같이 사는 사람들이야 그런 생각 않겠지만
지방에 부모님이 계시는 경우는 부모님에 대한 생각이 더 애틋한 것 같아요.

그래서 이번에는 내 마음 내키는 대로가 아니고
부모님을 살피고 배려하고 많이 도와드리고 와야겠다 마음먹고 있어요.
다들 행복한 명절 보내시고
올해 좋은 일들만 가득하시기를 바랄게요.
잘 보내세요.
Have a good time!!!!

Explore More
Keep Browsing This Clinic's Korean Content Trail.
Return to the source archive for more posts, or move back to the clinic profile to compare the rest of the clinic's public channels.