강남 스마일뷰치과의원 | Gangnam Smile View Dental Clinic | SMILEVIEW歯科 | SMILEVIEW牙醫
중년 돌출입, 앞니만 살짝 교정하세요!!!
안녕하세요? 설명절 잘 보내고 계시나요? 내일이면 다시 일터로 나가야 되니 몇시간 남지 않은 연휴가 아쉬워지네요. 부모님 찾아뵙고 맛있는 음식도 먹고 한살 더 먹고!!! 한살은 더 안먹고 싶었지만 할 수 없이 먹었나요? 저는 그렇습니다. 정말 먹기 싫더라구욤. 혹시 부모님 찾아뵙고 부모님 치아에 대해 생각해 보신분 계실까...
안녕하세요?
설명절 잘 보내고 계시나요?
내일이면 다시 일터로 나가야 되니 몇시간 남지 않은 연휴가 아쉬워지네요.
부모님 찾아뵙고 맛있는 음식도 먹고 한살 더 먹고!!!
한살은 더 안먹고 싶었지만 할 수 없이 먹었나요?
저는 그렇습니다. 정말 먹기 싫더라구욤.

혹시 부모님 찾아뵙고 부모님 치아에 대해 생각해 보신분 계실까요?
저는 이번 설에 저희 어머니 치아 모습을 보며 깜짝 놀랐어요.
앞니가 예전보다 더 튀어나온 듯했어요.
평소 살짝 돌출된 입인줄은 알고 있었는데 치아가 더 많이 나와있더라구요.
흔히 돌출입이라고 말하지요?

어떤 분들은 구강형태가 원래 그렇게 생기신 분도 있고 어떤 분들은 아랫니가 윗 앞니를 쳐서
앞으로 뼏쳐나와서 돌출되기도 해요.
그래서 중년이 돌출입이 되면 인상도 더 강해 보이시고 팔자 주름도 더 깊어 보이시기도 하지요.
이런 분들은 교정해야겠다 생각은 못하시고 항상 컴플렉스를 갖고 계시기도 하죠.

요즘은 중년이신 분들도 교정 상담을 하러 오시는 경우가 종종 있는데요.
중년분들도 앞니만 살짝 부분교정해서 돌출된 입을 교정해 주면 인상도 한결 좋아보이시고
자신감도 찾으셔서 돌출입된 앞니를 교정하고 계시답니다.
신논현역치과에서 돌출입된 앞니를 교정하는 것은 전체 교정을 하는 것에 비하면 훨씬 수월하지요.
앞니6개에만 장치를 붙여서 진행하는 부분 교정이라 개인마다 차이는 있지만 보통 3개월에서 6개월 정도 장치를
장착하면 되고 많이 아프지도 않고 비용에 비해 큰 효과를 볼 수도 있습니다.

또한 중년 치아교정은 치아의 기능을 강화하여서 저작을 원활하게 도와주므로써
더욱 신체를 건강을 유지할 수 있게 됩니다.
중년 치아교정 시작할 때 주의점
중년은 아무래도 나이가 있으니 젊은 사람들 처럼 그냥 교정을 진행하면 나중에 어려움에 처할 수도 있습니다.
교정을 진행하시기 전에 꼭 교정치과에서 자신의 상태에 대해서 세밀히 상담을 하신후 진행하시기를 권해드립니다.

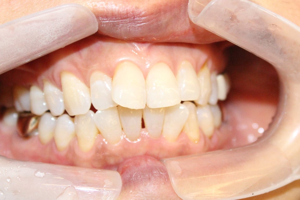
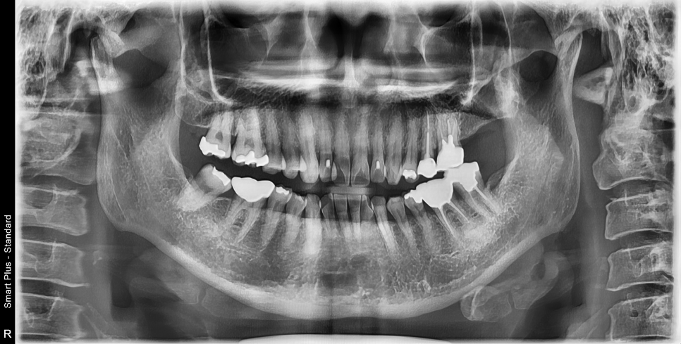
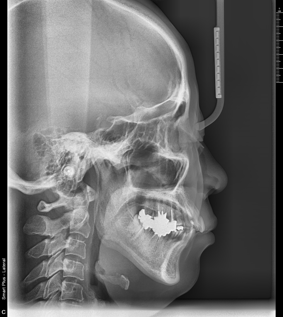
60대 중년여성 진단사진
1.복용하고 있는 약이 있는지
-
당뇨나 성인병이 있는지
-
골다공증이 있는지
-
1년 이내에 해외에 체류할 계획이 있는지
-
1년 이내에 집안에 대소사(ex. 자녀 결혼식 등)가 있을 예정인지
를 신논현역 치과에서 체크하셔야 됩니다.


신논현역치과 대표원장 김은지원장님은 치아교정 관련 특허도 갖고 계실만큼
아주 치아교정원장님들중에서는 실력자로 알려져 있습니다.
위의 중년분께서는 몇년 안에 자녀들 결혼을 시키셔야 되는데
좀더 예쁜 모습이었으면 좋겠다고 하시면서 돌출입 교정을 하시고 계십니다.
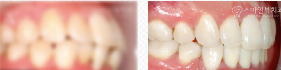
이분 케이스는 앞니만 부분적으로 교정하시는 것은 한계가 있어서 지금 전체교정을 진행중에 있으십니다.

머지 않아 바로 위의 사진처럼 중년 돌출입을 가지셨던 분께서도 아주 예뻐지실 거예요.
지금도 많이 들어가서 아주 만족하게 진행하고 계시답니다.
신논현역치과 스마일뷰에 오실때마다 인상이 조금씩 밝아지시는 것 같아
저희들도 기분이 좋아진답니다.
나중에 중년여성분 돌출입교정이 완전히 끝나면 다시한번 올려드리도록 하겠습니다.
예전엔 학생들이나 젊은 청년들만 교정하는 것으로 대부분 알고 계셨는데
돌출입이나 치아를 교정하러 치과에 내원하시는 중년분들 보면
인생은 60부터라는 말이 요즘 실감이 난답니다.
나이가 젊으나 나이가 많으나 예뻐지고 싶은 것은 남녀노소가 따로 없는 것 같습니다.


스마일뷰치과의원 서울특별시 강남구 봉은사로 107 15층 스마일뷰치과
Explore More
Keep Browsing This Clinic's Korean Content Trail.
Return to the source archive for more posts, or move back to the clinic profile to compare the rest of the clinic's public channels.