강남 스마일뷰치과의원 | Gangnam Smile View Dental Clinic | SMILEVIEW歯科 | SMILEVIEW牙醫
신논현역 치과 인비절라인
안녕하세요. 며칠 날씨가 풀려서 봄이 오나 보다 기대하고 있었는데 다시 한겨울 추위가 와 버렸네요. 코로나와 오미크론 환자가 일일 10만을 육박하고 있어서 걱정이에요. 다들 끝까지 잘 견뎌 내시기를 바라고요. 신논현역 치과 중 교정치료를 너무나 잘하는 스마일 뷰치과의 대표 원장님과 모든 직원들이 우리 치과를 찾아주시는 많...
안녕하세요.
며칠 날씨가 풀려서 봄이 오나 보다 기대하고 있었는데 다시 한겨울 추위가 와 버렸네요.
코로나와 오미크론 환자가 일일 10만을 육박하고 있어서 걱정이에요.
다들 끝까지 잘 견뎌 내시기를 바라고요.

신논현역 치과 중 교정치료를 너무나 잘하는 스마일 뷰치과의 대표 원장님과 모든 직원들이
우리 치과를 찾아주시는 많은 분들의 건강을 위해서 계속 기도하고 있답니다.
저도 며칠 컨디션이 좋지 않아서 블로그 활동도 전혀 못했는데요.
다시 힘을 내어 여러분들에게 조금이라도 도움이 되도록 노력해 보겠습니다.
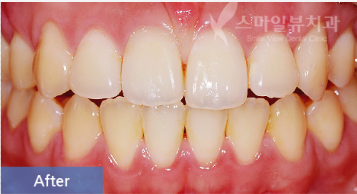
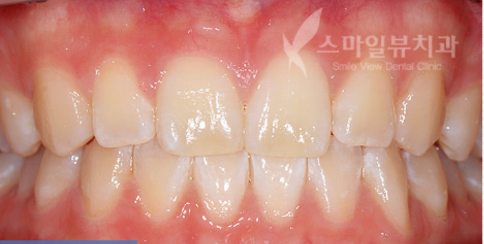
오늘 신논현역 스마일 뷰에서 올려드리는 것은 치아교정 중의 하나인 인비절라인 입니다.
요즘은 치아교정 방법들이 정말 다양하게 나와있지요.
장치는 작아지고 가벼워지고 또 신미적으로도 아주 좋게 발전하고 있는 것 같습니다
오늘 소개해 드릴 인비절라인 도 초창기에 비해 치아교정의 효과가 갈수록 좋아지고 있는 것 같습니다.
치과 원장님 들의 연구에 연구를 거듭한 결과이겠지요.

신논현역 치과 중 교정 잘하는 스마일 뷰치과에서 인비절라인 치아교정하는 순서
- 진단
인비절라인은 일반교정과는 달리 입안에 스캐너를 넣어서 10여 분 정도 이와 구강구조 등 을 스캔하여 컴퓨터로 보냅니다.
- 스캔한 것을 토대로 신논현역 치과 중 인비절라인 치아교정 특화인 스마일 뷰치과에서 1주일 정도
대표원장님과 인비절라인 미국 본사와 상호 소통을 하면서 클린체크 작업을 하여 치료 계획을 수립합니다.
- 미국에서 인비절라인 얼라이너를 만들어서 치과에 보내오면 3주에서 4주 사이에 받게 됩니다.
- 환자분이 내원하여 얼 라이너를 착용해 보고 사용방법에 대해 교육을 받습니다.
- 인비절라인 얼라이너를 환자분들이 집에서 보통 2주에 한 번 정도 교체하시면 되는데
움직임에 따라 개인 차이가 있습니다
(5일마다 교체하는 분이 있고 7일에 한번, 10일에 한번, 2주에 한번 교체하는 분이 있습니다)
인비절 라인 장점
' 언택트 시대에 최적화된 교정치료방법입니다.
ㆍ 심미적이며 이물감이 적습니다
ㆍ 치아의 탈회(충치 초기 단계)나 치주 질환 확률 감소됩니다.
ㆍ 진행과정에 따라 내원 간격 조절 가능
ㆍ 치료 과정을 미리 확인 가능
ㆍ 불안정한 교합으로 인한 교합면 마모방지
ㆍ 와이어가 찌르거나 브래킷 타락이 없어서 응급상황이 거의 없음.
인비절라인은?
초창기에인비절라인은치료가더디고 만족스럽지 못하다는 평이 있었지만
요즘은 많은 임상케이스로 인해 많이 발전된 상황입니다.
비용이 일반 교정보다 많게는 2배 정도 차이가 납니다.

인비절라인 사용 꿀 팁!!!
ㆍ 치실과 치간칫솔을 사용해 치아 사이 관리하면 충치예방에 효과적입니다
ㆍ 장치 번호를 잘 확인하여 순서대로 착용합니다.
ㆍ 식사 시 양치 시 뺍니다.
' 최소 3시간 이상 착용합니다
ㆍ 새 장치는 잠자기 전에 끼는 것이 좋습니다
ㆍ 커피나 유색음료는 뺀 상태로 마시는 것을 권합니다
ㆍ 장치 보관은 꼭 전용 케이스에 보관할 것
ㆍ 휴지에 싸면 잃어버리기 쉽고
ㆍ 강아지가 있는 집은 꼭 케이스에 보관해야 파손을 방지할 수 있습니 다
ㆍ 치약을 묻혀서 닦고 물에 헹구면 됩니다
ㆍ 치아미백을 원할 경우 치과에서 미백 약을 구입하여 잠잘 때 장치에 바르고 착용하면 효과는 볼 수 있습니다.



신논현역 인비절라인 교정 진료대상



스마일뷰치과의원 서울특별시 강남구 봉은사로 107 15층 스마일뷰치과
Explore More
Keep Browsing This Clinic's Korean Content Trail.
Return to the source archive for more posts, or move back to the clinic profile to compare the rest of the clinic's public channels.