강남 스마일뷰치과의원 | Gangnam Smile View Dental Clinic | SMILEVIEW歯科 | SMILEVIEW牙醫
신논현역치과 "저도 교정이 필요할까요?"
안녕하세요? 이제 우중충했던 날씨가 조금씩 밝아지는 느낌이 드는것은 저만의 생각일까요? 창가에 서있으니 오늘 햇살이 유난히 따스하게 느껴집니다. 빨리 봄이 왔으면. . . 빨리 펜데믹 상황이 끝이 났으면. . . 빨리 우리 사회가 정상으로 돌아갔으면. . . 신논현역치과 스마일뷰 대표원장님 희망사항이 여러가지가...
안녕하세요?
이제 우중충했던 날씨가 조금씩 밝아지는 느낌이 드는것은 저만의 생각일까요?
창가에 서있으니 오늘 햇살이 유난히 따스하게 느껴집니다.
빨리 봄이 왔으면. . .
빨리 펜데믹 상황이 끝이 났으면. . .
빨리 우리 사회가 정상으로 돌아갔으면. . .

신논현역치과 스마일뷰 대표원장님
희망사항이 여러가지가 있지만 희망사항의 거의 대부분은
예전의 일상으로 돌아가고픈 마음이 가장 큰것 같습니다.
신논현역에서 제일 가까운 치과이면서 교정치료를 가장 잘 하는 스마일뷰는
항상 우리 나라와 저희 병원에 내원하셔서 치료받으시는 환자분들을 위해서 매일 기도하고 있답니다.
오늘은 많은 분들의 치아의 형태의 모습을 보면서 '나도 치아교정 해야 되나?' 하시는 분들을 위해서
신논현역 치과에서 치아교정이 필요한 케이스들을 사진을 보면서 설명해 드리려고 합니다.
내 치아도 교정이 필요할까요?
먼저 신논현역치과에서 치아교정이 필요한 경우를 간단하게 알려드릴게요.
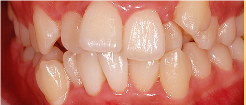
- 비뚤비뚤한 치아는 교정이 필요합니다
치아가 비뚤비뚤하게 나 있으면 양치가 어려운 경우가 많습니다.
치아와 잇몸사이 치아와 치아사이를 닦는것이 쉬운일이 아닙니다.
아무리 열심히 닦아도 음식물도 잘 안빠지고 그러다 보니 관리가 제대로 되지 않아 입냄새도 많이 나고
조금만 먹어도 치아 사이에 음식물이 끼기가 쉽습니다.

여간 신경쓰이고 불편한 것이 아니지요?
치아 구석구석 닦기가 힘들고 양치하는데 시간도 많이 걸리게 됩니다.
또 치아 관리를 조금만 소홀하게 되면 잇몸이 자주 붓게 되고 치아가 흔들려서 빠질 수도 있게 됩니다.
비뚤비뚤한 치아는 양치를 부지런히 하는 것도 중요하지만 치아사이사이를 깨끗하게 닦는것이 아주 중요한데요.
이런 분들이 치아를 교정해 주면 보기에도 좋지만 사잇충치나 치주병 예방에도 아주 효과적입니다.

신논현역치과 스마일뷰 교정진단 시스템
- 앞니가 튀어나온 경우 교정이 필요합니다
앞니가 튀어나온경우는 토끼이일 경우와 돌출입일 경우가 있지요?
토끼이는 약간 귀여워 보일수도 있어서 심미적으로는 큰 데미지는 없지만
돌출입은 강한 인상을 심어주어 인상에 손해보는 경우가 더 많습니다.
토끼이나 돌출입이 있을 경우 앞으로 넘어지게 되면 평범한 사람들에 비해 치아가 부서지거나 빠질위험이 더 많습니다.
특히 활달한 남자아이들이나 운동을 많이 하는 사람들이 토끼이나 돌출입을 가지고 있다면
치아를 다칠 확률이 더 많아 지겠지요.

신논현역치과 돌출입
- 치아때문에 얼굴이 비뚤어진 경우 교정이 필요합니다
얼굴에 비대칭이있는 경우는 아무래도 편한쪽으로 씹으려는 경향이 있기때문에
한쪽 근육만 발달하거나 많이 씹는 쪽의 관절이 나빠질 수 있습니다.
그러다 보니 얼굴부터 죄우 대칭이 무너지게 되어 어깨로 허리로 까지 그 여파가 있어서
몸 전체의 균형이 깨지기도 합니다.
치아 배열을 좋게 해 줌으로써 죄우로 저작을 하게되면 얼굴의 비대칭을 해소할 수가 있습니다
특히 얼굴 비대칭이 있는 아동은 뼈와 근육이 다 발달되기전에 어릴때 바로 잡아주는 것이 좋습니다.

신논현역치과 비대칭 예
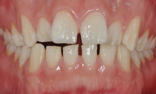
- 치아 사이가 벌어진 경우 교정이 필요합니다
어렸을때 혀를 내미는 습관이 있거나 손을 빠는 습관이 있으면 치아 사이가 벌어지기 쉽습니다.
치아가 촘촘히 나란이 붙어 있으면 음식을 씹을때의 힘이 전체치아에 분산이 되어서 충격이 덜하게 되지만
치아가 벌어져 있으면 씹을때 충격이 가해지면서 치아와 잇몸뼈에 무리가 가게 됩니다.
계속 힘의 충격이 더해지다 보면 치아는 정상보다 많이 닳게 되고 잇몸뼈는 힘에 의해서
주저앉게 되어 치아에 좋지 않게 됩니다.
치아가 붙어있으면 좌우 치아가 서로 지지대가 되어주어 충격이 전달되어 무리되지 않은데
치아와 치아사이에 공간이 있으면 한 치아만 큰 충격을 다 감당하게 됩니다.

신논현역치과 벌어진 치아 예
- 입술이 벌어지거나 위아래 이가 맞물리지 않는 경우 교정이 필요합니다
입술이 벌어지는 경우는 입이 튀어나온 경우에 많이 벌어집니다.
무의식 중(멍때리고 있을 경우나 잠잘때 입이 많이 벌어지는 경우가 많습니다.
입술이 벌어지면 잇몸이 잘 마르고 세균들이 들어오는 것을 막기 위해서
입안이 촉촉하게 젖어있어야 되는데 입안이 건조해지면 세균들이 자주 공격하게 됨
돌출입을 교정하면 얼굴도 예뻐지지만 잇몸을 건강하게 유지할 수도 있음

신논현역치과 앞니 부정교합
- 주걱턱인 경우 교정이 필요합니다



Explore More
Keep Browsing This Clinic's Korean Content Trail.
Return to the source archive for more posts, or move back to the clinic profile to compare the rest of the clinic's public channels.