강남 스마일뷰치과의원 | Gangnam Smile View Dental Clinic | SMILEVIEW歯科 | SMILEVIEW牙醫
신논현역 치과 비발치 토끼이 돌출된 앞니교정
안녕하세요? 봄비가 내리고 나니 성큼성큼 봄이 오는 듯합니다. 며칠간 안타깝게 바라만 보기만 했던 강원도 산불도 완전히 진화되었으니 온 국민이 안도의 한숨을 내쉬었지요. 점심을 먹으로 밖에 나가려고 엘리베이터를 탔는데 같은 건물에서 일하시는 지인이 하는 말 "비가 며칠만 좀 일찍 오지, 불 다 꺼놓으니 이제 오네"...
안녕하세요?
봄비가 내리고 나니 성큼성큼 봄이 오는 듯합니다.
며칠간 안타깝게 바라만 보기만 했던 강원도 산불도 완전히 진화되었으니
온 국민이 안도의 한숨을 내쉬었지요.
점심을 먹으로 밖에 나가려고 엘리베이터를 탔는데
같은 건물에서 일하시는 지인이 하는 말
"비가 며칠만 좀 일찍 오지, 불 다 꺼놓으니 이제 오네"
하시더라고요.
또 다른 신사분
"지금이라도 내렸으니 다행이지 큰일 날 뻔했어요"
하셨어요.

또
우크라이나 젊은이들이 자국을 지키기 위해서
해외에 있다 몇십만이 귀국했다고 하지요?
러시아 우크라이나 전쟁도 빨리 끝나고 코로나도 빨리 끝나고
우리의 모든 일상이 정상으로 회복되었으면 좋겠습니다.
여러분!!
오늘은 신논현역 치과 스마일 뷰에서 빗발치 토끼의 교정에 대해서 알려드릴 텐데요.
주위에 토끼 이를 갖고 계신 분들을 있지요?
여러분은 '토끼의' 하면 바로 떠오르는 사람이 누군인가요?
다들 한 명쯤은 있을 거예요.
가족이나 친구, 직장동료를 떠올리는 분들도 많을 것 같아요.

토끼일 노 앞니가 돌출되어서 치아교정만 하면 정말 예쁘게 보일 텐데. .
정말 잘생겨 보일 텐데...
안타까운 마음이 드는 분들도 많이 있습니다.
신논현역 스마일 뷰치과에서 오랫동안 근무하다 보니
주위에 이런 분들을 보거나 마주하다 보면
꼭 교정하시라고 말해주고 싶어서 입이 근질근질하답니다. ㅋㅋ
신논현역 스마일 뷰치과에서 이런 분들을 위해서
빗발치로 했던 토끼의 교정을 보여드리려고 해요.

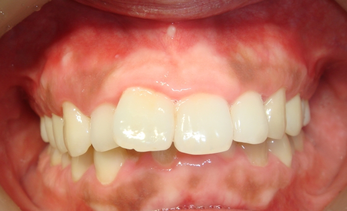
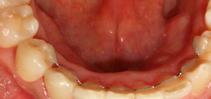
사진 보시면
그냥 보셔도 상당히 토끼일 노 앞니가 돌출된 상태가 심각하시다는 걸 아시겠지요?

스마일 뷰 치과에 내원하셔서 사진을 찍었는데
사진(위, 아래) 을 보시면
가운데 두 개 이가 유난히 앞으로 튀어나와있고
아랫니는 거의 보이지 않을 정도로 덮고 있는 것을 보실 수 있어요.

특히 치차 두 개가 유난히 안으로 들어와 있습니다
흔히들 이 정도 치아이면 발치교정을 생각하시고
교정을 망설이시는 분들이 많으십니다

토끼의 교정이나 앞니 돌출입 교정을 하시기 전에도
치과를 서너 군데 다녀 보시는 분들이 대부분입니다.
그런데 가는 치과마다 발치교정을 해야 한다고 했답니다.
하지만
빗발치 교정 잘하는 우리 신논현역 치과 스마일 뷰 교 정원 장님은
토끼 이를 빗발치로 진행하셨습니다
그만큼 치아 교정에는 자신이 있으신 거죠.
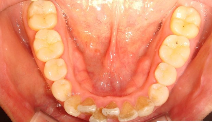
어떻게 변했는지 사진 보세요.
잘 되었지요?
발치하지 않고도 토끼이나 돌출된 앞니는 이렇게 변할 수 있습니다.
짜잔!!!

놀랍죠?
빗발치 교정으로 이렇게까지!!!
위에서 보았을 때 튀어나온 앞니가 들어간 사실을 확인할 수 있고요
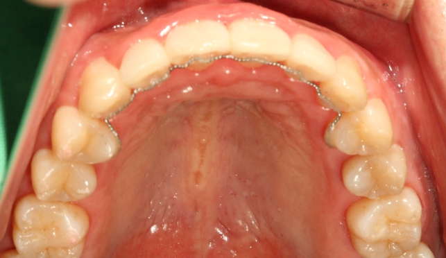
이때 안쪽으로 들어가 있는 철사는
교정이 끝나면 하는 유지 장치 중 하나입니다.
교정이 끝나고 나서도 틀어지지 않도록 유지해 주는 장치입니다..

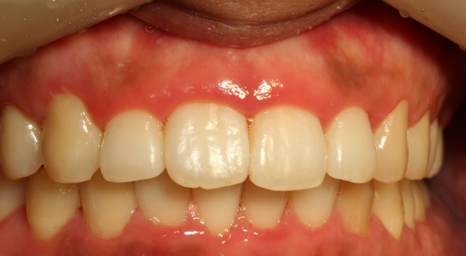
아까 위에서 봤던 틀어진 두 개의 앞니가
지금 보시면 가지런히 펴진 것이 보이시죠
빗발치로 이렇게 예쁘게 교정될 수가 있습니다.
토끼이나 돌출된 앞니를 갖고 계신 분들은
꼭 치아교정을 하셨으면 좋겠어요.
들어가는 비용이나 시간에 비하면
정말 가성비가 짱입니다.

예전엔 좀 못생겼다 생각했는데
토끼이나 돌출입을 치아교정만 잠시 해서
몰라보게 예뻐진다면
한번 시도해 볼 만한 것 같아요.
신논현역 치과 스마일 뷰에서 근무하면서
토끼이나 돌출된 앞니 교정만으로
너무 예뻐진 사람들을 보면
나도 돌출입이었다면. 토끼이었다면
획기적으로 예뻐졌을 수 있었는데. . .
얼마 전 우리 신논현역 치과 스마일 뷰에서 근무하다 퇴사한 직원이 있었습니다.
돌출입을 가진 친구였지요.
돌출입을 가진 토끼이었는데
신논현역 치과 스마일 뷰 원장님 권유로 근무하는 동안 치아교정을 했습니다.
치아 교정이 거의 다 끝나갈 무렵 퇴사했는데
며칠 전에 왔다 갔는데
정말 너무너무 예뻐졌습니다.
원래 키도 크고 날씬했지만
돌출입 때문에 항상 손으로 입을 가리고 웃었었지요?
그런데 이번에 와서는 완전 자신 있게 활짝 웃는 것을 보니
제 마음이 다 환해졌습니다.

스마일뷰치과의원 서울특별시 강남구 봉은사로 107 15층 스마일뷰치과
Explore More
Keep Browsing This Clinic's Korean Content Trail.
Return to the source archive for more posts, or move back to the clinic profile to compare the rest of the clinic's public channels.