강남 스마일뷰치과의원 | Gangnam Smile View Dental Clinic | SMILEVIEW歯科 | SMILEVIEW牙醫
신논현역 치과 사랑니 발치 고민이시죠?
안녕하세요? 한 주 한 주가 왜 이리 빨리 지나가는지 3일 정도 지낸 것 같은데 벌써 내일이 주말이네요. 엊그제 한해 맞이한 것 같은데 벌써 한 분기가 다 가고 있습니다. 그래서 오늘 다시 새해를 맞이하면서 다짐했던 것들을 하나씩 들춰보며 잘 실행하고 있는 것들과 작심삼일이 돼버렸던 것들을 체크해 보고 있습니다. 마음...
안녕하세요?
한 주 한 주가 왜 이리 빨리 지나가는지
3일 정도 지낸 것 같은데 벌써 내일이 주말이네요.
엊그제 한해 맞이한 것 같은데 벌써 한 분기가 다 가고 있습니다.
그래서 오늘 다시 새해를 맞이하면서 다짐했던 것들을 하나씩 들춰보며
잘 실행하고 있는 것들과 작심삼일이 돼버렸던 것들을 체크해 보고 있습니다.

마음을 다잡고 지금은 다시 시작할 때
블로그 활동도 다시 열심을 내야 될 것 같습니다.
어제 공원에 갔는데 개나리꽃도 활짝 피고 목력도 피고 있더군요.
그리고 땅에는 벌써 아주 작은 봄꽃들이 꽃망울을 터트리고 있었어요.
자연을 주신 하나님께 감사하는 하루였지요.
오늘은 신논현역 치과 스마일 뷰에서
사랑니 발치에 대해서 알려드릴까 합니다.

스마일뷰치과 악안면외과 유충규원장
사랑니는 우리 치아 중에서도 가장 늦게 나오는 치아이지요.
보통 사춘기 무렵부터 20대, 30대에 나오기 때문에 사랑니라 부르는 것 같아요.
사랑을 알만한 나이 말이죠. ㅋㅋ
사랑니는 사람마다 정말 다양한 것 같아요.
사랑니가 있는 사람도 있고 없는 사람도 있고
똑바로 보통 치아 나오듯이 나오는 사람이 있고
엄청난 고생을 하면서 나오는 사랑니도 있고
밖으로 나오는 사랑니도 있고
뚫고 나오지 못하고 안에서 매복되어 있는 사랑니도 있고
예쁘게 나오는 사랑니도 있고
아예 누워버린 사랑니도 있고.
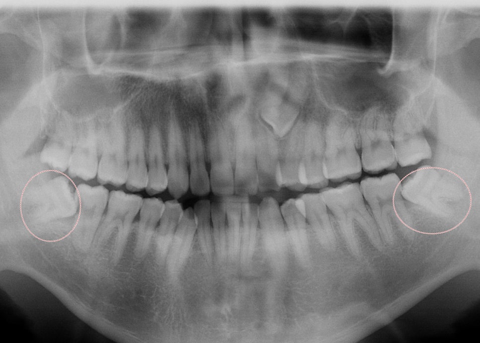
신논현역 치과 스마일 뷰에서 사랑니 발치를 위해 파노라마를 찍다 보면
정말 사랑니는 사람들의 사랑의 방법만큼이나 다양하다는 것을 알 수 있습니다.

사랑니는 앞에서도 말씀드린 것처럼 사랑을 알만한 나이에 나오기 때문에
20대나 30대가 신논현역 치과 스마일 뷰를 찾는 가장 큰 원인인 것 같아요.
젊은 층에서는 아무래도 치과를 가는 원인이 연세가 있으신 분들에 비해 많이 않지요.
젊은 층에서는 치과 치료보다는 미용목적으로 신논현역 치과 스마일 뷰를 찾는 경우가 훨씬 많지요.
사랑니 발치 문의를 하는 분들 중
본인의 케이스인 경우 사랑니를 발치해야 되는지를 많이 물으시지요.

저희 신논현역 치과 스마일 뷰에서는 당일에도 사랑니 발치가 가능합니다.
사랑니는 케이스별로 발치 가능 여부가 결정되는데
저희 치과 구강악안면 외과 원장님께서는 3D CT로 정밀 진단을 한 후 대학병원에서나 가능한 사랑니를
안전하게 아주 쉽게 발치해 주신답니다.

그럼 스마일 뷰치과에서 사랑니를 발치해야 되는 경우를 알려드릴게요.
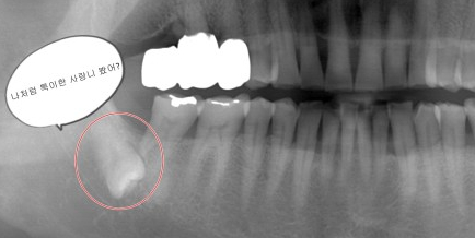
- 사랑니 주위에 염증이 있어서 붓고 피가 나는 경우
사랑니는 맨 안쪽에 나 있기 때문에 칫솔질 만으로 관리하기가 쉽지 않습니다.
그래서 음식물 잔여물이 잇몸과 치아 사이에 치아와 사랑니 사이에 남아있게 되고
염증을 일으켜서 붓게 하고 통증과 더불에 출혈을 일으키게 됩니다.
이럴 경우는 다른 어금니에 염증이 옮아가는 것을 방지하기 위해 발치하는 것을 권해 드립니다.

- 사랑니와 옆에 있는 치아에 충치가 있는 경우
관리하기가 어려운 사랑니는 잇몸뿐 아니라 치아 자체에도 충치를 유발합니다.
사랑니를 아무 탈 없이 건강하게 유지하는 것은 정말 어려운 일입니다.
- 매복된 사랑니의 경우 시간이 지남에 따라 사랑니 주위에 물주머니가 생기는 경우가 있습니다.
이럴 경우 이 물주머니가 주변 조직을 압박하여 통증을 유발하거나 감염을 일으킬 수 있어서
신논현역 치과 스마일 뷰에서 사랑니 발치를 권유해 드립니다.

사랑니는 가지런히 똑바로 나와있고 주위에 염증이나 충치가 없는 경우라면
굳이 미리 발치하실 필요는 없지만
위에서 말씀드린 케이스들 같은 경우에는 더 고생하지 말고 하루라도 빨리
검진하고 발치하시기를 권유해 드립니다.
사랑니를 살려보시려고 하다 다른 치아에까지 악영향을 미칠 수 있기 때문입니다.
이상 신논현역 치과 스마일 뷰에서 사랑니 발치에 대해서 알려드렸습니다.
오미크론으로 하루 몇십만 명의 환자들이 계속 나오고 있는
아주 어려운 상황입니다.
부디 몸 관리 잘 하시고 건강 잘 유지하시기를 기도합니다.


치과치료 시 무통마취기를 사용하여 통증을 최소화합니다

스마일뷰치과의원 서울특별시 강남구 봉은사로 107 15층 스마일뷰치과

Explore More
Keep Browsing This Clinic's Korean Content Trail.
Return to the source archive for more posts, or move back to the clinic profile to compare the rest of the clinic's public channels.