강남 스마일뷰치과의원 | Gangnam Smile View Dental Clinic | SMILEVIEW歯科 | SMILEVIEW牙醫
신논현역 치과 설측 부분교정
안녕하세요? 요즘 봄볕이 너무 따스하고 좋아서 집에만 박혀있기엔 정말 아까운 날씨입니다. 어제 퇴근 때 본 가로수 잎은 정말 환상 그 자체였어요. 연푸른 가로수 잎과 가로등 불빛이 어우러져 얼마나 예쁘던지요. 이 아름다움을 모든 사람들이 봤으면 좋겠다 생각이 들었습니다. 이번 주말엔 꼭 들꽃을 보러 새로 자라나고...

안녕하세요?
요즘 봄볕이 너무 따스하고 좋아서 집에만 박혀있기엔 정말 아까운 날씨입니다.
어제 퇴근 때 본 가로수 잎은 정말 환상 그 자체였어요.
연푸른 가로수 잎과 가로등 불빛이 어우러져 얼마나 예쁘던지요.
이 아름다움을 모든 사람들이 봤으면 좋겠다 생각이 들었습니다.
이번 주말엔 꼭 들꽃을 보러 새로 자라나고 있는 나뭇잎들을 보러
어디든 가보기로 다짐에 다짐을 했답니다.

집콕만 하다가는 이 아름다운 계절을 다 놓쳐버릴 거 같아서죠.
여러분들도 한번 상춘객이 되어서 딱 한 번만 있을 2022년 봄을 만끽해 보시기를 바랍니다.
봄 얘기를 계속하고 싶지만 각설하고
오늘을 신논현역 치과에서 설측교정에 대해서 알려드리려고 합니다.
이제 코로나19도 오미크론 도서서 이 극복되고 있는 느낌이 나는데요.
거리 두기 제한도 없어지고 머잖아 마스크도 벗게 될 것 같지요?
그래서 마스크 벗기 전 단시간에 걸쳐 앞니만 설측으로 빨리 간단하게
신논현역 치과 스마일 뷰에서 치아교정 한번 진행해 보시기를 권합니다.

벌어진 앞니나 비뚤어진 앞니, 토끼니, 덧니, 치아배열이 마음에 들지 않으셨던 분들이
아무도 모르게 감쪽같이 빠르게 진행할 수 있는 치아교정 방법이니까요.
우리가 거울 볼 때 계속 신경 쓰이는 곳 하나씩은 다 있으시지요?
약간 튀어나온 앞니, 조금 벌어진 앞니 치아 하나만 비뚤어져있거나 덧니가 있어서 있어서
마음 놓고 활짝 웃지 못하는 콤플렉스
아는 사람은 다 알지요?
마음속의 그 불편함 ㅠㅠ

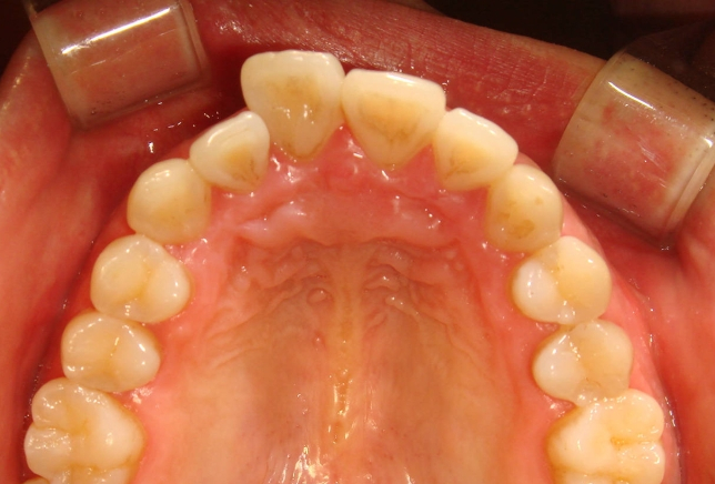
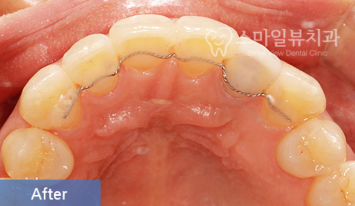
신논현역 치과 스마일 뷰에서 진행하는 설측 부분교정은 교정이 필요한 치아 안쪽에만
장치를 붙여서 치아를 이동하는 방법이에요.
치아 전체에 장치를 붙여서 치아를 이동하는 것보다는 훨씬 수월하고 시간도 짧고
치아 몇 개에만 장치가 들어가니 비용도 그만큼 적겠지요?
특히 신논현역 치과 스마일 뷰에서 많은 분들이 진행하는 설측 부분교정은
일부러 말하지 않으면 주변 사람들이 전혀 인식하지 못할 만큼 감쪽같이 진행할 수 있답니다.

설측교정진료 대상은
-
눈에 보이는 교정장치가 싫은 경우
-
영업이나 말을 많이 하는 직업을 가진 경우
-
앞니가 토끼 이처럼 튀어나온 경우
-
심하지 않은 덧니가 있는 경우
-
앞니가 부분적으로 벌어진 경우
-
단기간에 치아배열을 개선하고 싶은 경우

신논현역 치과 스마일 뷰에서 설측 치아 부분교정을 진행하신 분들의 만족도는
생각보다 굉장히 좋습니다.
특히 연세가 좀 있으신데 자녀들 양육하시느라 그동안 치아교정에
엄두를 못 내신 분들이 많습니다.
치과에 치료받으러 오셨다가 우연히 부분교정 배너를 보시고
간단히 물어보시다 설명을 들으시고
그 자리에서 신논현역 치과 스마일 뷰에서 설측 부분교정을 진행하셔서
좋은 결과를 얻으시는 분들이 많이 있으시답니다.


요즘은 우리나라의 경제 형편도 예전보다는 훨씬 좋아지고 자녀들에게 치과 검진이
의무화되어있어서 요즘 자녀들은 덧니나 앞니가 삐뚠 경우는 많지 않지만
부모님 세대들은 그렇지가 않았죠.
그래서 충치도 많고 치아교정을 해야 하는
케이스도 더 다양한 것 같아요.
신논현역 치과 스마일 뷰에서 진행하는 설측 부분교정은 시간적인 면이나 비용,
외관상으로도 전체 교정에 비해 크게 부담될 것은 없다고 생각됩니다.

스마일 설측 부분교정을 진행해 보시면 아실 거예요.
신논현역 치과 스마일 뷰에서 설측 부분교정을 진료하시는 원장님은
저희 병원 대표원장님입니다.
정말 지혜롭게 빠르게 잘 설측 치아교정을 잘 하시는 원장님은 연세대 치대를 나와서
지금도 박사 코스를 밟고 있고 치열하게 공부하고 연구하는 원장님입니다
신논현역 치과 스마일 뷰에서 믿고 진행해 보시면 만족 또 만족하실 겁니다.



Explore More
Keep Browsing This Clinic's Korean Content Trail.
Return to the source archive for more posts, or move back to the clinic profile to compare the rest of the clinic's public channels.