강남 스마일뷰치과의원 | Gangnam Smile View Dental Clinic | SMILEVIEW歯科 | SMILEVIEW牙醫
비대칭환자의 교정
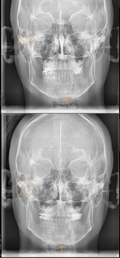
모든 환자에서 그런것은 아니지만, 어떤 비대칭의 경우에는 치성으로 이러나는 경우도 있습니다. 본 환자분의 경우 치성으로 약간의 중심선 안맞음과 비대칭이 발생하였고, 치성간섭을(치아가 먼저 부딪혀서 생기는 아래턱의 틀어짐) 없애주었더니 자연스럽게 어느정도 비대칭이 개선된 것을 확인 할 수 있었습니다. 모든 비...
모든 환자에서 그런것은 아니지만, 어떤 비대칭의 경우에는 치성으로 이러나는 경우도 있습니다.
본 환자분의 경우 치성으로 약간의 중심선 안맞음과 비대칭이 발생하였고,
치성간섭을(치아가 먼저 부딪혀서 생기는 아래턱의 틀어짐) 없애주었더니
자연스럽게 어느정도 비대칭이 개선된 것을 확인 할 수 있었습니다.
모든 비대칭의 경우에 치성인지, 골성인지, 치성+골성 인지 확인하는 작업이 필요합니다.
이것을 진단하기 위해 엑스레이 사진을 찍고, 턱관절을 확인하며, 치아중심선도 확인하며 본을 떠서 치아 교합을 확인하기도 합니다.
때로는 스캐너로 스캔을 해서 어느 부분에 과도한 압력이 가해지는지 보는 방법도 있습니다.
비대칭에서 신경써야 할 부분은 또한 턱관절의 건강입니다. 턱관절이 치아 간섭으로 인해 비뚤어져 있다면
턱관절 위치도 안정적이지 못할 가능성이 큽니다.
이때는 물리치료와 함께 약물치료등을 병행 해 주는 작업이 필수적입니다.

Explore More
Keep Browsing This Clinic's Korean Content Trail.
Return to the source archive for more posts, or move back to the clinic profile to compare the rest of the clinic's public channels.