강남 스마일뷰치과의원 | Gangnam Smile View Dental Clinic | SMILEVIEW歯科 | SMILEVIEW牙醫
비대칭 수술없이 교정한 케이스
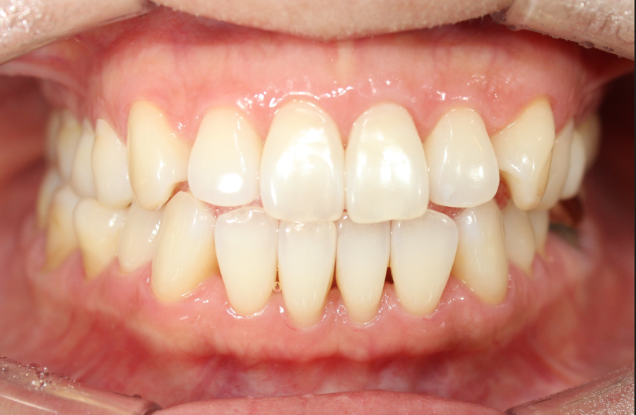
안녕하세요 김한결 원장입니다. 날씨가 제법 선선해졌습니다 모두들 각자의 일로 분주할때 계절은 성실하게 바뀌고 또 찾아옵니다. 이번 가을에 모두들 좋은 일 있으시기를 바라며 오랜만에 케이스 기록 남겨봅니다. 본 환자분은 중년의 여성분으로 배열보다도 오른쪽치아가 먼저 닿은 후 미끄러져서 얼굴이 비뚫어지고 턱...
안녕하세요 김한결 원장입니다.
날씨가 제법 선선해졌습니다
모두들 각자의 일로 분주할때 계절은 성실하게 바뀌고 또 찾아옵니다.
이번 가을에 모두들 좋은 일 있으시기를 바라며
오랜만에 케이스 기록 남겨봅니다.

본 환자분은 중년의 여성분으로
배열보다도
오른쪽치아가 먼저 닿은 후 미끄러져서
얼굴이 비뚫어지고 턱이 불편하다
는 이유로 교정을 시작하셨습니다

1년여 정도 되었을까요
비대칭이 개선되고
위아래 중심선이 맞아졌습니다
모든 중심선이 다 맞는게 항상최선은
아니겠지만
이 경우 오른쪽아래 어금니가 틀어져서
다물때 그부분이 먼저 닿으면서 턱 전체가
Deviation 즉 휘어짐이 나타났기 때문에
치아 배열만 개선해도
비대칭개선과 턱관절문제의 개선이 있을 수 있었습니다
뷰성형외과와 양악수술 협진을 많이 하다 보니
선수술교정이 많았고
따라서 다양한 일반적이지 않은 케이스의
교정을 접하다보니
역으로 일반교정에서도 알게되는 노하우가 있지 않나 생각해 봅니다
비대칭은 참 고려해야 할 요소가 많습니다
대칭을 이루려면 많은 요소가 제자리에 있어야 하고 한 요소라도 어긋나 있거나 복합요소가 합쳐서 큰 비대칭을 만들어 내기도 합니다
이때 비대칭의 요소가 뼈인지 치아인지 턱관절인지. 어떤우선순위로 나타난 것인지는
치아나 엑스레이 타진 등을 통해 증거를 수집해서 알게 되는 것 같습니다
환자가 주된증상으로 호소하는것 또한 중요한 단서가 될 때도 있습니다. 수학 치환문제를 풀듯이 환자의 언어를 치과의 객관적 지표로 바꾸어 대입을 해보는 것이죠.
자 오늘은 치아 문제로 생긴 비교적 간단하게 해소된 비대칭의 캐이스를 살펴보았습니다.
중년의 교정이라 환자분 고민하다가 결정하셨지만 비발치로 빠르게 마무리 되어가서 지금은 큰 만족을 하고 계셔서 이럴땐 저도 같이 기쁩니다.
돌출입 오픈바잇 주걱턱등 다양한 케이스가 있는데 유독 글을 쓰면 비대칭이 제일 먼저 잡히네요.
앞으로도 꾸준히 케이스 스터디 올려볼께요.
이상 신논현역치과 스마일뷰치과 김한결 원장입니다. 감사합니다. 행복한 하루 되십시오.
Explore More
Keep Browsing This Clinic's Korean Content Trail.
Return to the source archive for more posts, or move back to the clinic profile to compare the rest of the clinic's public channels.