강남 스마일뷰치과의원 | Gangnam Smile View Dental Clinic | SMILEVIEW歯科 | SMILEVIEW牙醫
신논현역 앞니치료 레진비니어를 소개합니다
안녕하세요? 성탄절이 며칠 남지 않아서인지 가는 곳마다 즐거운 캐롤이 울리네요. 가는해는 잘 보내고 오는해는 잘 맞이하기 위해 여러분은 어떤 마음의 다짐 같은 것을 갖고계시나요? 저는 올해도 또 실패한 다이어트!! 내년에는 꼭 성공해 보려고 다시 시작해보겠습니다. 아자아자!!! 신논현역 주위에 치과가 엄청...
안녕하세요?
성탄절이 며칠 남지 않아서인지 가는 곳마다 즐거운 캐롤이 울리네요.
가는해는 잘 보내고 오는해는 잘 맞이하기 위해 여러분은 어떤 마음의 다짐 같은 것을 갖고계시나요?
저는 올해도 또 실패한 다이어트!!
내년에는 꼭 성공해 보려고 다시 시작해보겠습니다. 아자아자!!!

신논현역 주위에 치과가 엄청 많은데요.
요즘 많은 분들이 앞니 치료에 관심이 많으신데요
아이돌 처럼 가지런 하고 하얀 예쁜 앞니에 관심들이 많으신 것 같아요.
그런데 치아를 아무리 잘 닦아도, 잘 관리해도 이렇게 앞니가 예쁜 치아가 만들어 지지는 않지요.
방법은 라미네이트나 치아교정을 해야 되는데 이 두가지 방법 모두가 많은 비용 들어야 한다는 단점이 있지요.
그래서 요즘 한창 대세로 뜨고 있고 라미네이트나 교정을 대체할 만한 앞니치료 레진 비니어에 대해서
소개해 드릴까 해요.

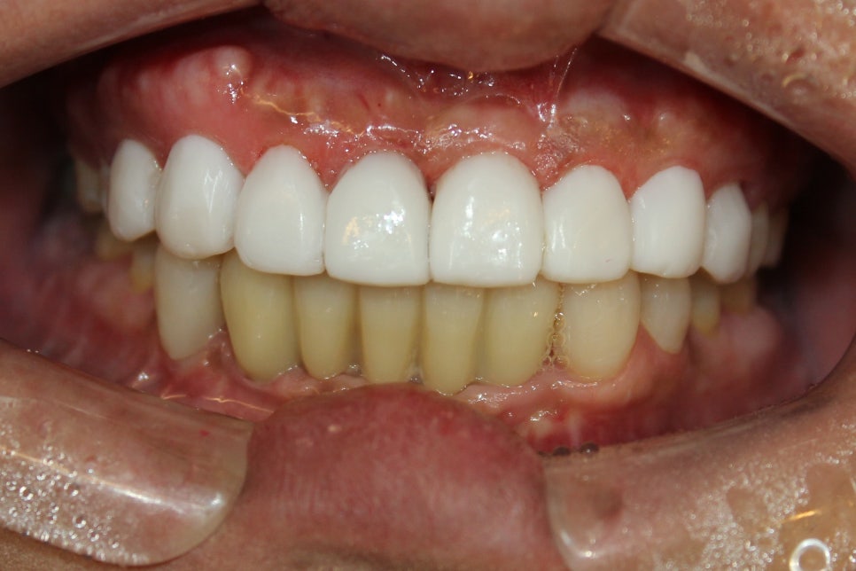
<스마일뷰 치과에서 앞니치료 레진비니어를 완성한 모습>
20대후반 여성 환자분으로 상악 앞니 8개를 레진 비니어하셨는데요.
어떠신가요?
환자분도 치료후 아주 만족하셨습니다.
레진비니어의 좋은점은 젊은 사람들뿐만 아니라 나이가 많으신 어르신들께서도
앞니 치료에 접근하기 아주 좋으신 방법입니다.
레진 비니어는
치과에 2회만 방문하시면 되요.
어르신들은 나이가 드시면서 앞니가 색도 많이 변하고 모양도 변하고
보기에 좋은 앞니 치아를 가지신 분이 많지 않으신 것 같아요.
젊었들 때보다 앞니 사이도 많이 벌어지고 변색도 심해지구요.
속상해 하시는 분들이 상당히 많으시지만
라미네이트나 치아교정은 엄두도 못내시지요.
이런 분들한테 아주 좋은 앞니 치료 대안으로 레진 비니어를 추천해 드려요.
레진 비니어 단점 커버하는 방법
레진 비니어는 아쉽게도 라미네이트 보다는 살짝 강도가 낮은것 같아요.
그래서 씹는 힘이 강하신 분들이나 치아를 악무는 습관이 있는 분들.
잘때 이를 가는 분들은 레진 비니어가 깨질까 걱정이시지요?
하지만
딱딱한 것을 앞니로 깨물지 않는 이상 그렇게 쉽게 깨지는 재료는 아니지만
레진 비니어 하신분들에게는 걱정을 덜어드리고자 저희 신논현역 치과중
스마일뷰치과는
주무실때 낄수 있도록
장치를 따로 만들어 드리고 있어요.
어르신들 도전해 보세요 !!!
앞니를 예쁘게 하는 좋은 치료 방법이예요

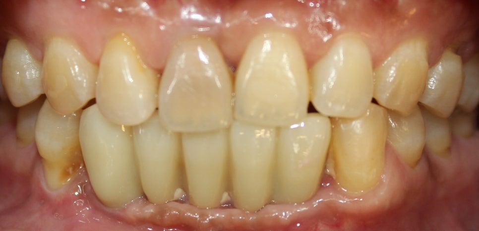
처음 방문 사진 입니다
주소
서울 강남구 봉은사로 107
15층 스마일뷰치과
스마일뷰 치과는 신논현역 3번 출구에서
언주역 방향으로 도보 1분 거리에 있습니다
진료시간 안내
월. 화. 수. 금
AM 10:00 - PM 06:30
AM 10:00 - PM 03:00
토요일
AM 10:00 - PM 04:00
(토요일 점심시간 없음)
전화상담
02-552-7528
스마일뷰 치과에서
친절히 안내해 드립니다

Explore More
Keep Browsing This Clinic's Korean Content Trail.
Return to the source archive for more posts, or move back to the clinic profile to compare the rest of the clinic's public channels.