아카이브 요약
이 페이지의 역할
세라믹치과의원의 네이버 블로그 원문을 보존한 아카이브 페이지입니다. 치료증례 카테고리의 세라믹치과 돌출입교정치과 글을 통해 병원의 한국어 정보 제공 방식과 진료 관련 안내 톤을 확인할 수 있습니다.
원문 검증
필요하면 원문 블로그와 병원 프로필로 바로 이동해 문맥을 다시 확인할 수 있습니다.
출처 아카이브 열기아카이브된 블로그 글
세라믹치과의원 · Naver Blog
세라믹치과 돌출입교정치과 돌출입때문에 스트레스를 받으시는 분들이 많이 계실것 같습니다~ 치아가 앞으로 돌출이 될 경우 외관상으로 티가 많이 나기때문에 교정을 원하는 경우가 많습니다. 활짝 웃을 수 있도록 교정을 통해서 튀어나온 치아들을 가지런히 배열할 수 있습니다. 돌출입교...
게시일
2014년 1월 28일
원문 기준으로 확인된 발행일입니다.
카테고리
치료증례
원문 블로그 카테고리를 정리해 함께 표시합니다.
이미지 수
4
현재 아카이브에 연결된 이미지 수입니다.
아카이브 요약
세라믹치과의원의 네이버 블로그 원문을 보존한 아카이브 페이지입니다. 치료증례 카테고리의 세라믹치과 돌출입교정치과 글을 통해 병원의 한국어 정보 제공 방식과 진료 관련 안내 톤을 확인할 수 있습니다.
원문 검증
필요하면 원문 블로그와 병원 프로필로 바로 이동해 문맥을 다시 확인할 수 있습니다.
출처 아카이브 열기
세라믹치과 돌출입교정치과
돌출입때문에 스트레스를 받으시는 분들이 많이 계실것 같습니다~
치아가 앞으로 돌출이 될 경우
외관상으로 티가 많이 나기때문에 교정을 원하는 경우가 많습니다.
활짝 웃을 수 있도록 교정을 통해서
튀어나온 치아들을 가지런히 배열할 수 있습니다.
돌출입교정은 치아교정으로도 가능하기때문에
치과에 가서 충분한 상담을 하시는게 좋습니다.
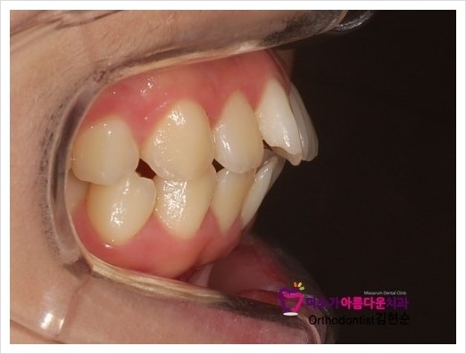
돌출입교정
전


돌출입교정
후


옆모습을 통해 교정의 전후가 확연히 다른 것을 확인할 수 있습니다.
세라믹치과
개인맞춤형 진단을 통해 최적의 치아각도와 스마일라인을 찾습니다.
개인에게 맞는 치아각도를 찾아
본인의 만족도를 높이는 것입니다.
개인에게 맞는 치료계획을 세우고 효과를 극대화 할 수 있는 치료가 진행됩니다.
돌출입때문에 스트레스를 받고 있다면 교정을 통해
활짝 웃을 수 있는 예쁜 입매를 가져보는 것도 좋겠죠 ^^
건강·의학,강남교정치과,강남돌출입교정,돌출입교정치과