아카이브 요약
이 페이지의 역할
세라믹치과의원의 네이버 블로그 원문을 보존한 아카이브 페이지입니다. 세라믹치과 후기 카테고리의 논현동교정잘하는치과 미소가아름다운치과 고객님 후기입니다 글을 통해 병원의 한국어 정보 제공 방식과 진료 관련 안내 톤을 확인할 수 있습니다.
원문 검증
필요하면 원문 블로그와 병원 프로필로 바로 이동해 문맥을 다시 확인할 수 있습니다.
출처 아카이브 열기아카이브된 블로그 글
세라믹치과의원 · Naver Blog
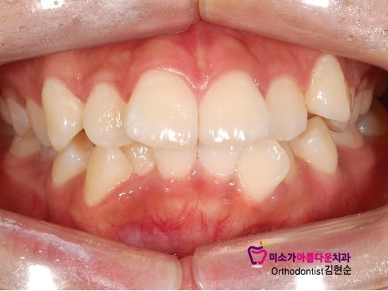
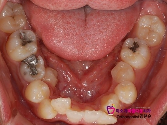
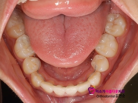
덧니가 심한 상태여서 치아배열을 다시 하길 원하는 여성고객님 후기입니다. 치아 발치후 교정했고 지금 현재 이빨 덧니와 교정이 거의 끝난 상태입니다. 교정 끝내고 안쪽에 유지장치를 붙여둔 상태입니다. 교정 중에 잇몸이나 이가 상하는 걸 걱정...
게시일
2014년 1월 28일
원문 기준으로 확인된 발행일입니다.
카테고리
세라믹치과 후기
원문 블로그 카테고리를 정리해 함께 표시합니다.
이미지 수
6
현재 아카이브에 연결된 이미지 수입니다.
아카이브 요약
세라믹치과의원의 네이버 블로그 원문을 보존한 아카이브 페이지입니다. 세라믹치과 후기 카테고리의 논현동교정잘하는치과 미소가아름다운치과 고객님 후기입니다 글을 통해 병원의 한국어 정보 제공 방식과 진료 관련 안내 톤을 확인할 수 있습니다.
원문 검증
필요하면 원문 블로그와 병원 프로필로 바로 이동해 문맥을 다시 확인할 수 있습니다.
출처 아카이브 열기
덧니가 심한 상태여서 치아배열을 다시 하길 원하는 여성고객님 후기입니다.
치아 발치후 교정했고 지금 현재 이빨 덧니와 교정이 거의 끝난 상태입니다.
교정 끝내고 안쪽에 유지장치를 붙여둔 상태입니다.
교정 중에 잇몸이나 이가 상하는 걸 걱정하시는데
주무시기 전에 치간칫솔로 잇몸 사이사이를 다 닦아주시면 잇몸도 튼튼해지고
이 사이에 이물질이 깔끔하게 제거되서 충치가 상당히 많이 예방됩니다.


입 안에 공간이 비좁아서 앞으로 좀 돌출입인 것이
이빨 교정하면서 덧니도 사라지고 돌출입도 사라져서 많이 만족하셨어요
이빨 교정은 지금은 예전보다 시간도 많이 단출됐고
가격도 합리적으로 변한데다가
한 달에 한 번 올 때마다 꼼꼼하게 관리해드리기 때문에
치석이나 충치도 미리 예방할 수 있고
논현동교정잘하는치과에서 교정하나로 정말 많이 달라지고 가는 분들이 많습니다.


논현동교정잘하는치과 미소가 아름다운 치과에서
교정을 처음엔 좀 망설이다가도 교정이 끝날 때쯤이면
다들 치열을 교정한 것만으로도 정말 예쁜 결과를 볼 수 있고
일상생활도 이빨이 덧니 때문에 자꾸 썩는 것도 방지할 수 있습니다.


논현동교정잘하는치과,논현교정치과,교정잘하는치과,강남교정치과